症例・治療例紹介
Cases
矯正歯科治療 → 叢生(でこぼこ・八重歯)
42ページ目 / 91
ワイヤーによる抜歯矯正でガタガタの改善


ワイヤー部分矯正を併用して治療期間を短縮 マウスピース矯正治療


前歯の見た目を改善したい
担当医 大元洋佑


飛び出した八重歯が気になる!非抜歯でマウスピース(インビザライン)による治療症例
担当医 奥村高広


前歯のデコボコを治したい ワイヤー装置でお手軽に矯正治療


前歯のガタつきをきれいに マウスピース矯正治療


残存乳歯とオープンバイト インビザラインによる矯正治療


口元の印象が変わります。 引っ込んでいる前歯を出す治療


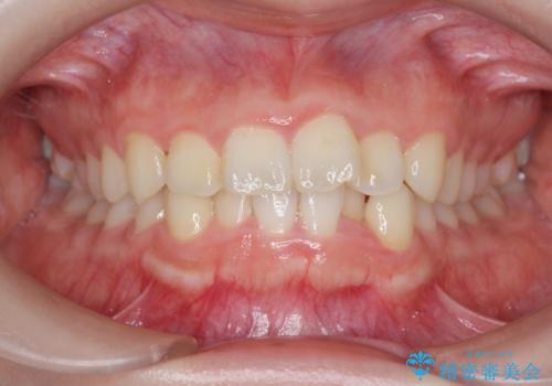
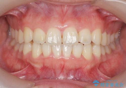
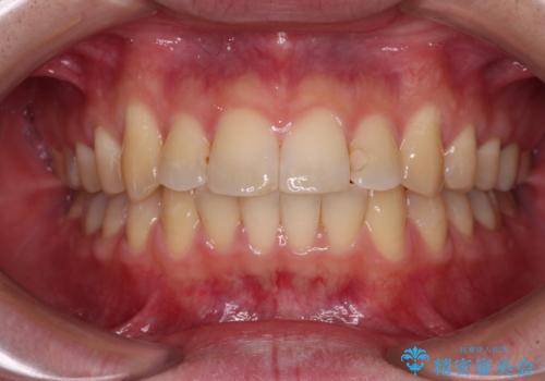
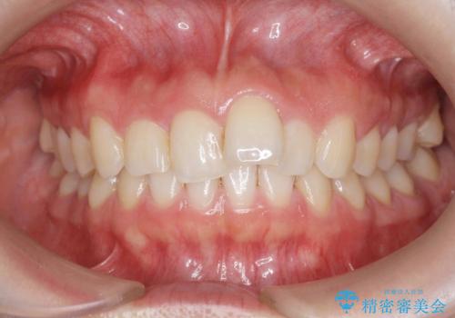
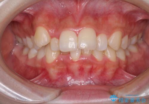
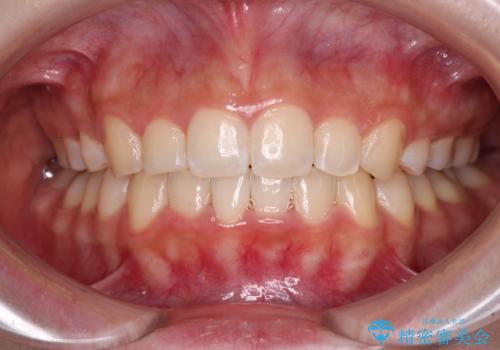
[ ワイヤー矯正 ] ガチャガチャの歯を治したい
![[ ワイヤー矯正 ] ガチャガチャの歯を治したいの症例 治療前](https://seimitsushinbi.jp/wp/wp-content/uploads/2023/09/8bc22ea76e3bfc359da4b9d22936b65d-500x350.jpg?v=1695810755)
![[ ワイヤー矯正 ] ガチャガチャの歯を治したいの症例 治療後](https://seimitsushinbi.jp/wp/wp-content/uploads/2023/09/C102-500x350.jpg?v=1695810775)
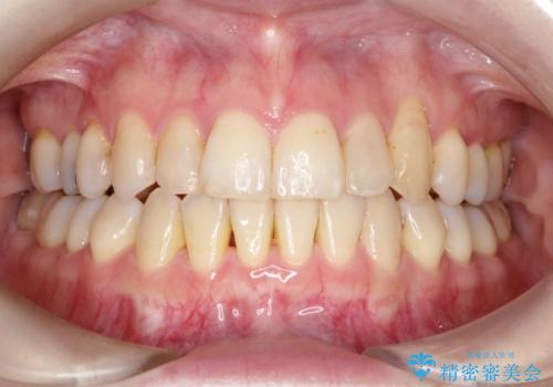
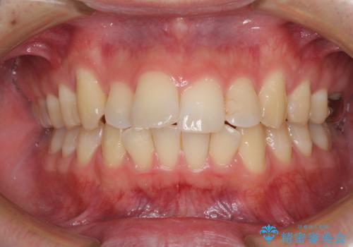
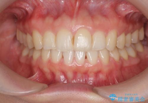
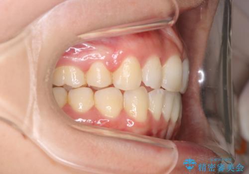
[ インビザライン ]前歯のガタつきを治したい
担当医 大元洋佑
![[ インビザライン ]前歯のガタつきを治したいの症例 治療前](https://seimitsushinbi.jp/wp/wp-content/uploads/2022/08/IMG_0012-1-500x350.jpg?v=1659601611)
![[ インビザライン ]前歯のガタつきを治したいの症例 治療後](https://seimitsushinbi.jp/wp/wp-content/uploads/2022/08/IMG_0146-500x350.jpg?v=1659601570)
やや難ケース 上の歯を抜かずに歯列を後ろに下げて治療 4本ではなく下1本のみの抜歯できれいに


インビザライン矯正 短期間でがたつきのない歯並びに!


出っ歯で口が閉じずらい ワイヤーによる抜歯矯正


[ 成人矯正 ] 目立つ八重歯を治したい
担当医 大元洋佑
![[ 成人矯正 ] 目立つ八重歯を治したいの症例 治療前](https://seimitsushinbi.jp/wp/wp-content/uploads/2022/07/b9f1c285bc01139806cadf176b9be6b5-500x350.jpg?v=1659096407)
![[ 成人矯正 ] 目立つ八重歯を治したいの症例 治療後](https://seimitsushinbi.jp/wp/wp-content/uploads/2022/07/IMG_0272-500x350.jpg?v=1659095708)
【モニター】八重歯とデコボコをスッキリきれいに ワイヤー装置での抜歯矯正


ワイヤー矯正歯科治療の注意事項(リスク・副作用など)
- 治療中は違和感や痛みが起こることがあります
- 症状により、抜歯が必要な場合があります
- 治療中は歯磨きがしにくくなるため、虫歯や歯周病になりやすくなります
- 矯正治療後の保定が不十分だと後戻り(元の位置に戻ろうとする動き)をします
- 自費診療(保険適用外)となります
マウスピース矯正の注意事項(リスク・副作用など)
- 口腔内・歯並びの状態によっては対応できない場合があります
- マウスピース型矯正装置の長時間装着が必須です
- 治療計画通りに進めるためには、患者様の意志が重要になります
- 矯正治療後の保定が不十分だと後戻り(元の位置に戻ろうとする動き)をします
- 自費診療(保険適用外)となります
