症例・治療例紹介
Cases
矯正歯科治療 → インビザライン
40ページ目 / 76
前歯のデコボコと奥歯のクロスバイト インビザラインで改善


『目立たない装置で前歯のガタガタを治したい』インビザライン症例


『前歯のすき間を短期間で治したい』インビザライン(枚数制限あり)症例


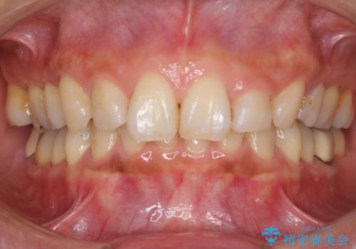
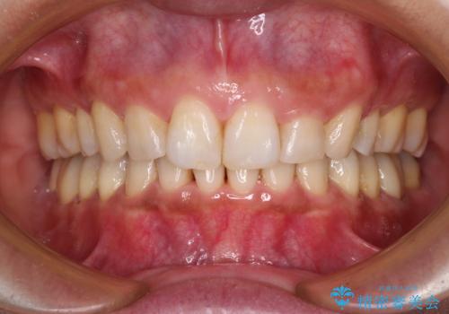
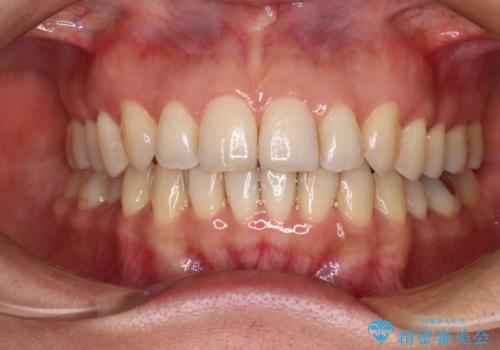
[ インビザライン矯正 ] 出っ歯をマウスピースで治したい
![[ インビザライン矯正 ] 出っ歯をマウスピースで治したいの症例 治療前](https://seimitsushinbi.jp/wp/wp-content/uploads/2022/06/73097492d112b3c9236c964872a9105b-500x350.jpg?v=1655691589)
![[ インビザライン矯正 ] 出っ歯をマウスピースで治したいの症例 治療後](https://seimitsushinbi.jp/wp/wp-content/uploads/2022/06/c9af0e63a541fecf26d71c3c15d073b0-500x350.jpg?v=1655691546)
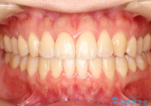
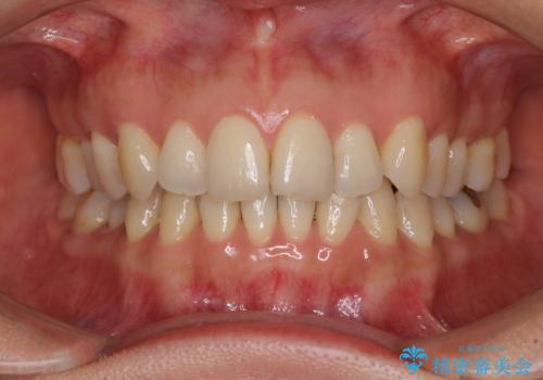
インビザラインを用いた上顎の部分矯正
担当医 藤巻太一朗


咬み合わせを治したい インビザラインによる矯正治療
担当医 藤巻太一朗


著しい八重歯が気になる インビザラインでの矯正治療


抜歯矯正の後戻りでできたスペース インビザライン矯正とセラミック治療


欠損歯列の矯正治療とインプラント治療


【モニター】すきっ歯をインビザラインで解消
担当医 藤巻太一朗


上下の前歯がかめない インビザライン矯正で正しいかみ合わせへ


前歯のデコボコ インビザラインによる目立たない矯正


マウスピース矯正の注意事項(リスク・副作用など)
- 口腔内・歯並びの状態によっては対応できない場合があります
- マウスピース型矯正装置の長時間装着が必須です
- 治療計画通りに進めるためには、患者様の意志が重要になります
- 矯正治療後の保定が不十分だと後戻り(元の位置に戻ろうとする動き)をします
- 自費診療(保険適用外)となります






