症例・治療例紹介
Cases
矯正歯科治療 → 非抜歯(歯を抜かない)
4ページ目 / 14
非抜歯で劇的に出っ歯を改善!インビザラインとカリエールの組み合わせ治療


【インビザライン、10ヵ月で矯正終了!】下の前歯が斜めになっているのを治したい!


八重歯 歯を抜かずにインビザラインで


ワイヤー矯正で確実にガタつきを治したい セラミックブラケットによる治療


出っ歯と歯のねじれ 非抜歯で 30代男性


インビザライン矯正 短期間でがたつきのないきれいな歯並びに


インビザライン矯正 過去に矯正治療したが、また前歯にがたつきがでてきて治したい


定期健診で歯並びを相談 セラミックブラケットでのワイヤー矯正例


マイクロインプラントで達成する出っ歯の後方移動


前歯の並び モニター治療で


咬んでも前歯が閉じない 矯正治療で見た目を含めて改善


前歯と奥歯の反対咬合 部分ワイヤーとインビザラインで


前歯が反対にかんでいる 部分ワイヤーとインビザラインの併用で短期治療


前歯のがたつき 若干受け口 インビザラインで


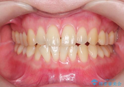
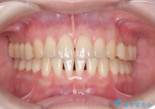
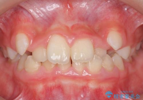
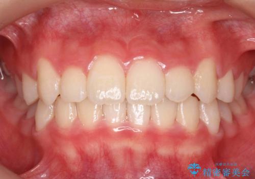
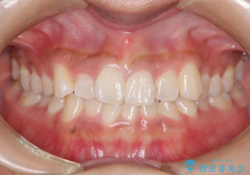
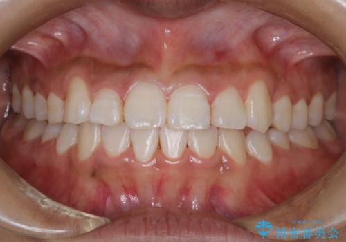
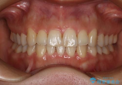
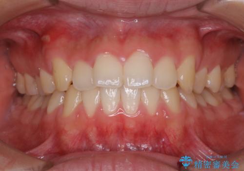
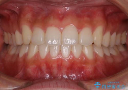
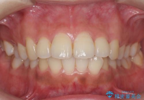
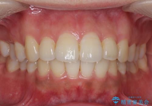
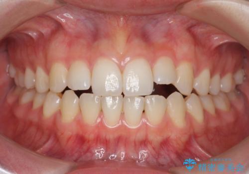
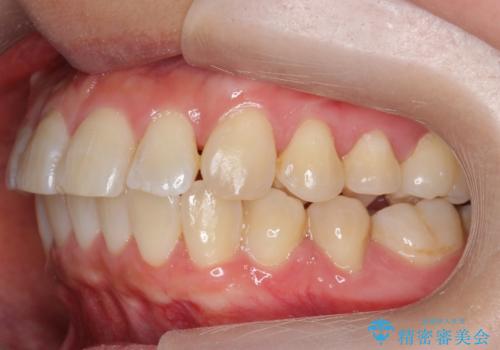
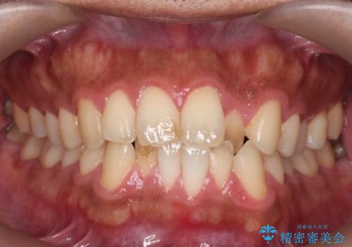
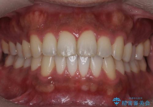
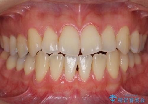
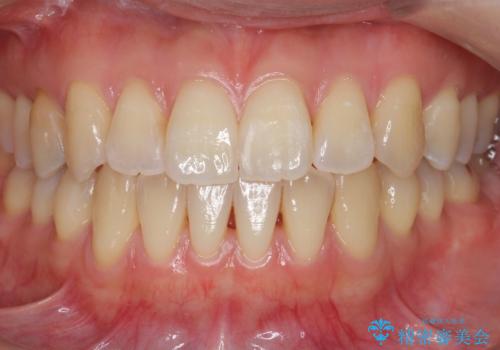
[ 前歯のねじれ・がたつき ] マウスピース矯正
![[ 前歯のねじれ・がたつき ] マウスピース矯正の症例 治療前](https://seimitsushinbi.jp/wp/wp-content/uploads/2024/02/4007c6479f6bce11863dcdd32ed5e39b-500x350.jpg?v=1708502552)
![[ 前歯のねじれ・がたつき ] マウスピース矯正の症例 治療後](https://seimitsushinbi.jp/wp/wp-content/uploads/2024/02/e7a01485e4f4dd0da04705fde4cc34cc-500x350.jpg?v=1708502585)
ワイヤー矯正歯科治療の注意事項(リスク・副作用など)
- 治療中は違和感や痛みが起こることがあります
- 症状により、抜歯が必要な場合があります
- 治療中は歯磨きがしにくくなるため、虫歯や歯周病になりやすくなります
- 矯正治療後の保定が不十分だと後戻り(元の位置に戻ろうとする動き)をします
- 自費診療(保険適用外)となります
マウスピース矯正の注意事項(リスク・副作用など)
- 口腔内・歯並びの状態によっては対応できない場合があります
- マウスピース型矯正装置の長時間装着が必須です
- 治療計画通りに進めるためには、患者様の意志が重要になります
- 矯正治療後の保定が不十分だと後戻り(元の位置に戻ろうとする動き)をします
- 自費診療(保険適用外)となります
