症例・治療例紹介
Cases
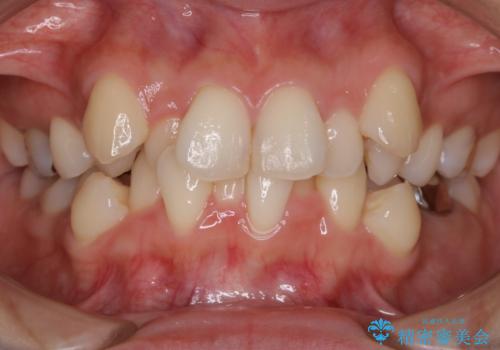
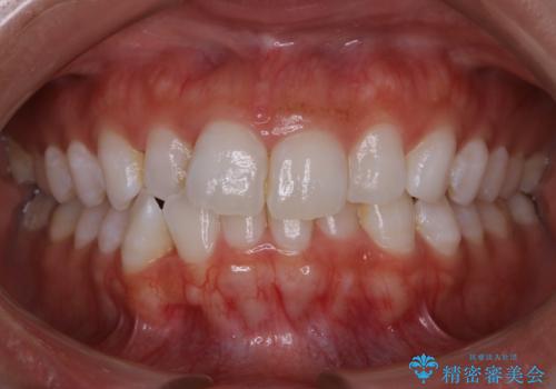
矯正歯科治療 → 交叉咬合(クロスバイト)
4ページ目 / 19
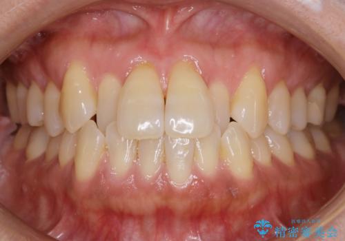
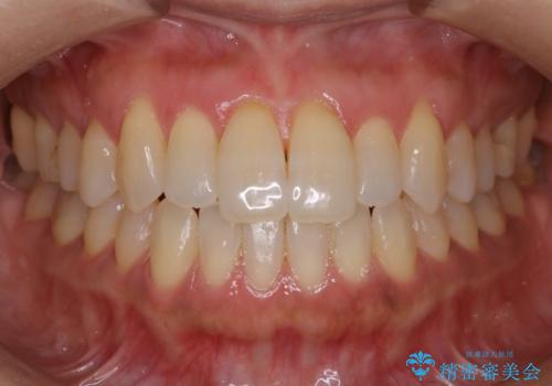
難症例 奥歯がかみ合っていない 歯並び矯正で別人に


上顎骨幅が狭い 急速拡大装置を併用した抜歯矯正


デコボコと変色した前歯 抜歯矯正と審美歯科治療


受け口、すきっ歯を インビザラインで モニター治療


奥歯のかみ合わせも妥協しない インビザライン治療


【非抜歯】左右の八重歯・前歯の反対咬合の改善 インビザライン


【非抜歯】八重歯を治す マウスピース矯正


【非抜歯】部分矯正でも治る 前歯の反対咬合


【非抜歯】20代女性 歯のガタつきと噛み合わせの治療


【抜歯】前歯のガタつきを改善 抜歯矯正で口腔内をスッキリさせる


【非抜歯】歯軸を治して正しい噛み合わせへ


【非抜歯】すきっ歯と噛み合わせの治療
担当医 今村大二郎


【非抜歯】短期間で実現する前歯の反対咬合治療


出っ歯と八重歯 目立たない裏側装置でスッキリとした口元に


八重歯と乱れた咬み合わせを改善 ワイヤー装置での抜歯矯正


ワイヤー矯正歯科治療の注意事項(リスク・副作用など)
- 治療中は違和感や痛みが起こることがあります
- 症状により、抜歯が必要な場合があります
- 治療中は歯磨きがしにくくなるため、虫歯や歯周病になりやすくなります
- 矯正治療後の保定が不十分だと後戻り(元の位置に戻ろうとする動き)をします
- 自費診療(保険適用外)となります
マウスピース矯正の注意事項(リスク・副作用など)
- 口腔内・歯並びの状態によっては対応できない場合があります
- マウスピース型矯正装置の長時間装着が必須です
- 治療計画通りに進めるためには、患者様の意志が重要になります
- 矯正治療後の保定が不十分だと後戻り(元の位置に戻ろうとする動き)をします
- 自費診療(保険適用外)となります
