症例・治療例紹介
Cases
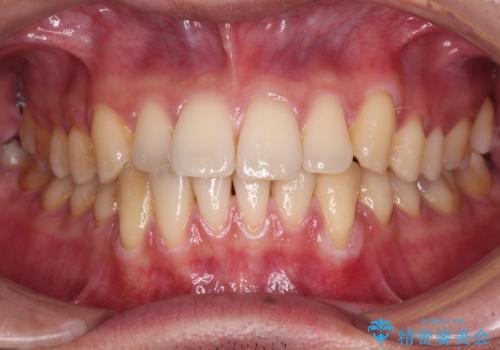
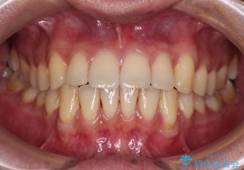
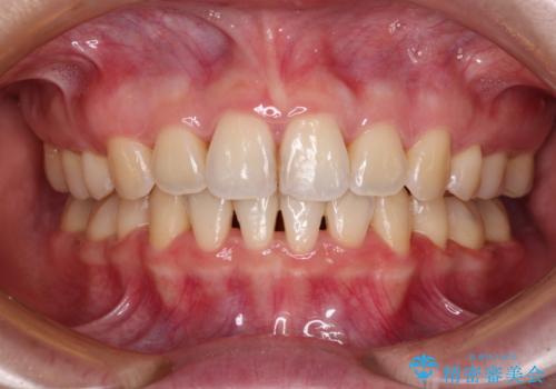
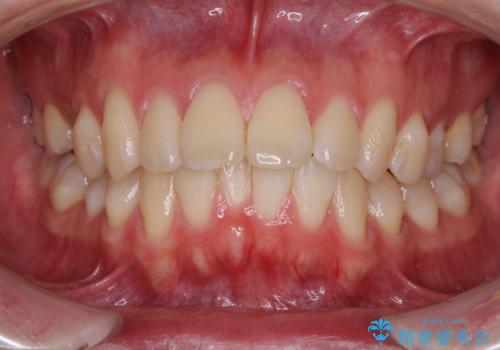
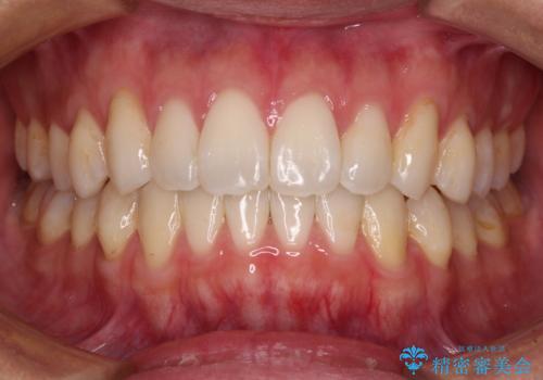
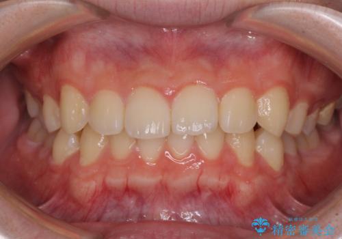
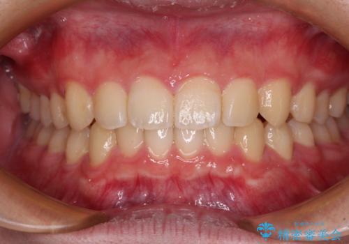
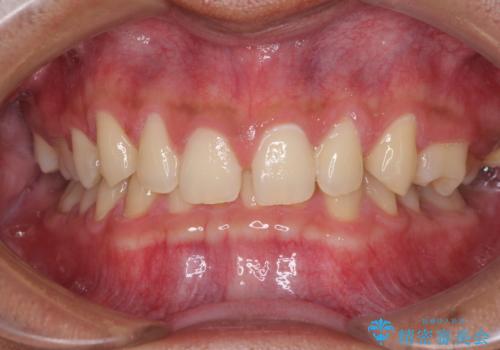
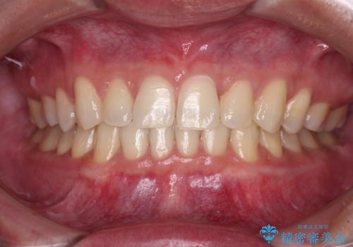
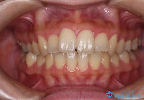
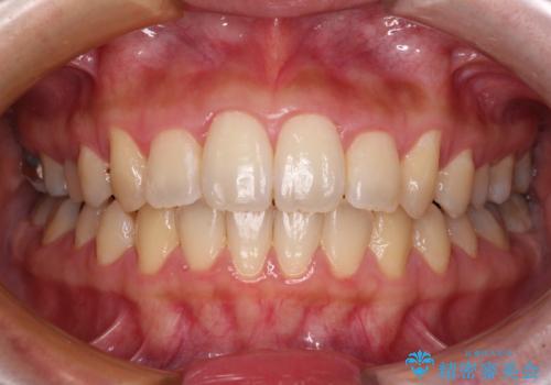
矯正歯科治療 → 叢生(でこぼこ・八重歯)
39ページ目 / 91
インビザライン単独でここまでできる!!抜歯矯正


前歯がでている 最小限の抜歯で口を閉じやすく


オープンバイトと目立つ銀歯 インビザライン矯正とセラミック修復治療


内側に倒れた前歯と口元の突出感 ワイヤー装置での抜歯矯正


軽微なデコボコを安価に インビザライン・ライトによる矯正治療
担当医 藤巻太一朗


ワイヤー装置での上下前歯の部分矯正
担当医 藤巻太一朗


【モニター】短期間で口の閉じにくさを改善 ワイヤー装置での抜歯矯正


カリエール・ディスタライザーとワイヤーを併用した、インビザライン矯正治療


少しでも口元を閉じやすく インビザラインによる前突の解消
担当医 藤巻太一朗


捻れた前歯をできるだけ短期間で 表側のワイヤー矯正


【モニター】斜めに突き出した前歯をインビザラインで改善
担当医 藤巻太一朗


【モニター】左右のクロスバイトをインビザラインできれいに改善


著しいディープバイトと隙間だらけの歯列


捻れた前歯をインビザラインでスッキリと
担当医 藤巻太一朗


前歯のがたつきを改善してしっかり噛める歯並びへ:インビザライン治療


ワイヤー矯正歯科治療の注意事項(リスク・副作用など)
- 治療中は違和感や痛みが起こることがあります
- 症状により、抜歯が必要な場合があります
- 治療中は歯磨きがしにくくなるため、虫歯や歯周病になりやすくなります
- 矯正治療後の保定が不十分だと後戻り(元の位置に戻ろうとする動き)をします
- 自費診療(保険適用外)となります
マウスピース矯正の注意事項(リスク・副作用など)
- 口腔内・歯並びの状態によっては対応できない場合があります
- マウスピース型矯正装置の長時間装着が必須です
- 治療計画通りに進めるためには、患者様の意志が重要になります
- 矯正治療後の保定が不十分だと後戻り(元の位置に戻ろうとする動き)をします
- 自費診療(保険適用外)となります
