症例・治療例紹介
Cases
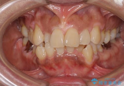
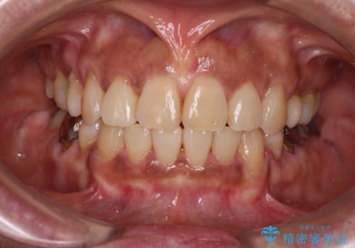
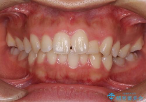
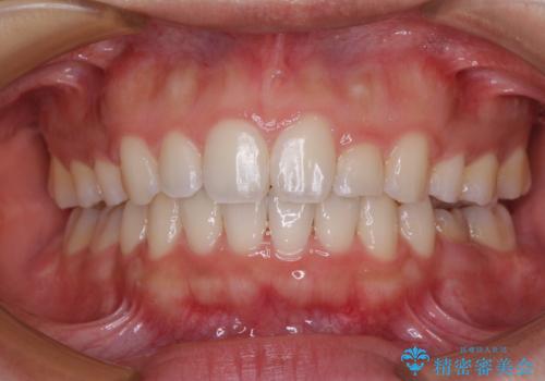
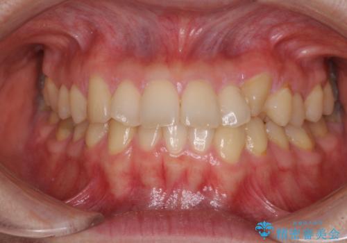
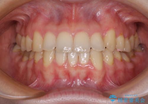
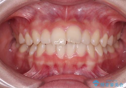
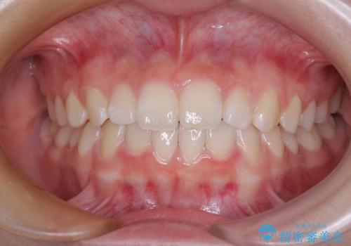
矯正歯科治療 → 叢生(でこぼこ・八重歯)
37ページ目 / 91
【モニター】前歯のデコボコと変色した前歯をインビザラインとオールセラミッククラウンで


ディープバイトと叢生 インビザラインによる矯正治療


【モニター】下顎前歯の2本欠損 上顎のみの抜歯でバランスを取ったワイヤー矯正


裏側矯正の途中で海外へ インビザライン・チェンジによる矯正治療


クロスバイトの前歯を治したい ワイヤー装置でも抜歯矯正


【モニター】閉じにくい口元 ワイヤー装置での抜歯矯正


【モニター】捻れた前歯をスッキリと インビザライン矯正治療
担当医 藤巻太一朗


【モニター】1本欠損した下顎前歯と上顎の八重歯 ワイヤー装置で楽して矯正治療
担当医 藤巻太一朗


舌突出癖による開咬 舌のトレーニングを行いながら咬み合わせを改善


【モニター】急速拡大装置 狭い歯列を拡大してワイヤー装置で短期間治療


前歯のデコボコを治したい 高校生のインビザライン治療
担当医 藤巻太一朗


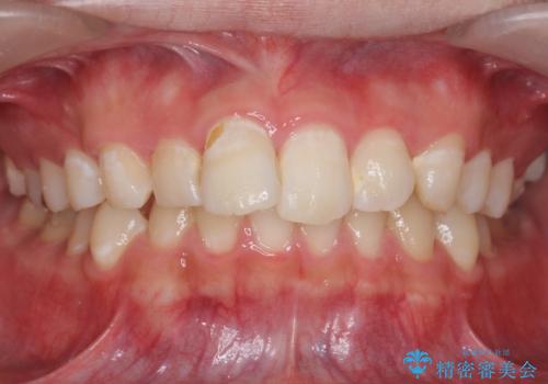
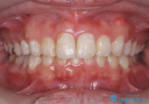
[ 再生治療・歯周外科・小矯正・セラミック補綴 ] 前歯の歯周病治療
担当医 大元洋佑
![[ 再生治療・歯周外科・小矯正・セラミック補綴 ] 前歯の歯周病治療の症例 治療前](https://seimitsushinbi.jp/wp/wp-content/uploads/2022/12/83065c2454a29ed71cf190e15a6106f4-500x350.jpg?v=1671673398)
![[ 再生治療・歯周外科・小矯正・セラミック補綴 ] 前歯の歯周病治療の症例 治療後](https://seimitsushinbi.jp/wp/wp-content/uploads/2022/12/ec16e37ee53325a6f6629b94759f5513-500x350.jpg?v=1671673454)
前歯で物を噛みきれない マウスピース矯正で改善


歯を抜かずに後方移動で達成する、前突感の改善


出っ歯が気になる 歯をぬかずに治療


ワイヤー矯正歯科治療の注意事項(リスク・副作用など)
- 治療中は違和感や痛みが起こることがあります
- 症状により、抜歯が必要な場合があります
- 治療中は歯磨きがしにくくなるため、虫歯や歯周病になりやすくなります
- 矯正治療後の保定が不十分だと後戻り(元の位置に戻ろうとする動き)をします
- 自費診療(保険適用外)となります
マウスピース矯正の注意事項(リスク・副作用など)
- 口腔内・歯並びの状態によっては対応できない場合があります
- マウスピース型矯正装置の長時間装着が必須です
- 治療計画通りに進めるためには、患者様の意志が重要になります
- 矯正治療後の保定が不十分だと後戻り(元の位置に戻ろうとする動き)をします
- 自費診療(保険適用外)となります
