症例・治療例紹介
Cases
矯正歯科治療 → 叢生(でこぼこ・八重歯)
36ページ目 / 91
前歯のすれ違い マウスピース矯正


内側に入っていた前歯とガタつきをインビザラインで綺麗に並べる


コロナ禍で矯正治療が中断:インビザラインで最終仕上げ


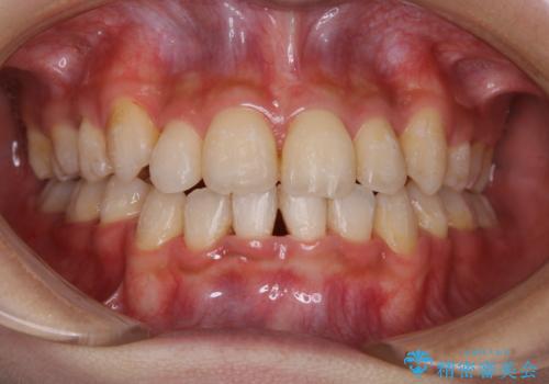
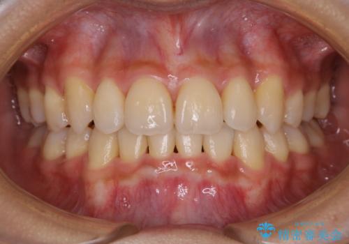
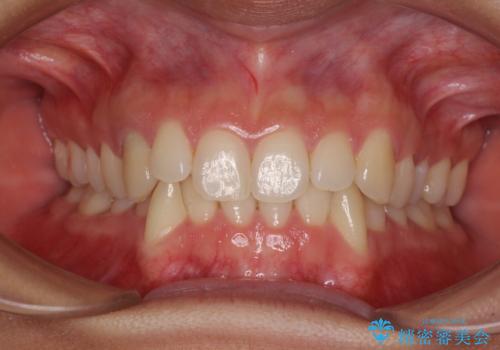
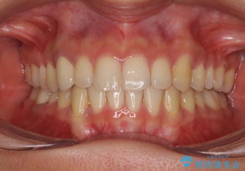
[ インビザラインライト ] 軽度なガタつきの改善
担当医 大元洋佑
![[ インビザラインライト ] 軽度なガタつきの改善の症例 治療前](https://seimitsushinbi.jp/wp/wp-content/uploads/2023/01/IMG_1822-500x350.jpg?v=1672821041)
![[ インビザラインライト ] 軽度なガタつきの改善の症例 治療後](https://seimitsushinbi.jp/wp/wp-content/uploads/2023/01/bb5a31c22189e5ee0e3cd884fb2b4b0b-500x350.jpg?v=1672821069)
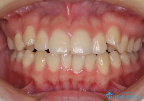
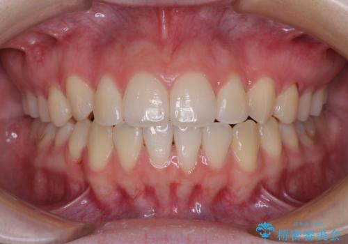
[ マウスピース矯正 ] とび出ている前歯を治したい
担当医 大元洋佑
![[ マウスピース矯正 ] とび出ている前歯を治したいの症例 治療前](https://seimitsushinbi.jp/wp/wp-content/uploads/2023/01/IMG_9990-500x350.jpg?v=1672822555)
![[ マウスピース矯正 ] とび出ている前歯を治したいの症例 治療後](https://seimitsushinbi.jp/wp/wp-content/uploads/2023/01/IMG_2991-500x350.jpg?v=1672822656)
上下非接触で突出した前歯 ワイヤー装置による抜歯矯正


飛び出した前歯と目立つ銀歯 矯正とセラミックの総合歯科診療


歯が全く咬みあわない 矯正と補綴の全顎治療


歯をきれいにしたい ワイヤー矯正治療と虫歯治療


カリエール・ディスタライザーとインビザラインを用いた八重歯の改善


【モニター】隙間だらけの前歯を治したい インビザラインによる矯正治療


前歯の隙間とデコボコを改善 高校生のインビザライン治療
担当医 藤巻太一朗


【モニター】前歯のデコボコを改善 ワイヤー矯正を併用したインビザライン矯正


【モニター】治療途中で引っ越し ワイヤー装置を用いた抜歯矯正


【モニター】下顎の気になる八重歯を改善 インビザラインによる矯正治療
担当医 藤巻太一朗


ワイヤー矯正歯科治療の注意事項(リスク・副作用など)
- 治療中は違和感や痛みが起こることがあります
- 症状により、抜歯が必要な場合があります
- 治療中は歯磨きがしにくくなるため、虫歯や歯周病になりやすくなります
- 矯正治療後の保定が不十分だと後戻り(元の位置に戻ろうとする動き)をします
- 自費診療(保険適用外)となります
マウスピース矯正の注意事項(リスク・副作用など)
- 口腔内・歯並びの状態によっては対応できない場合があります
- マウスピース型矯正装置の長時間装着が必須です
- 治療計画通りに進めるためには、患者様の意志が重要になります
- 矯正治療後の保定が不十分だと後戻り(元の位置に戻ろうとする動き)をします
- 自費診療(保険適用外)となります
