症例詳細
Case detail
口元の突出感を改善 受け口傾向の咬み合わせの抜歯矯正
治療症例の内容
- 診療科目
- 担当医
- 藤巻太一朗(ドクタープロフィール)
- 患者様
- 20代男性
- 矯正装置
- メタルブラケット
- 治療期間
- 3年6ヶ月
- 治療回数
- 10-30回
- 治療計画
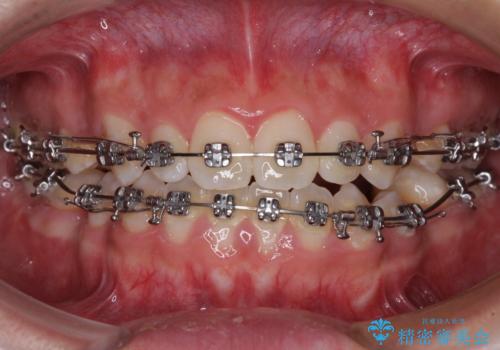
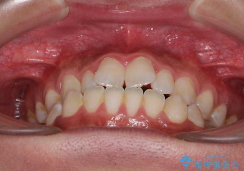
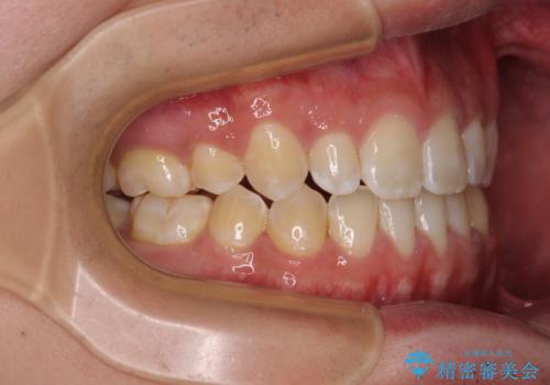
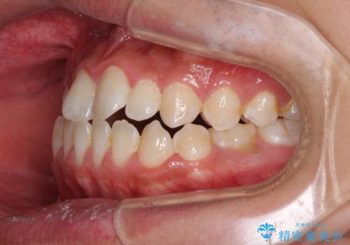
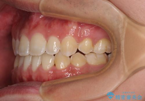
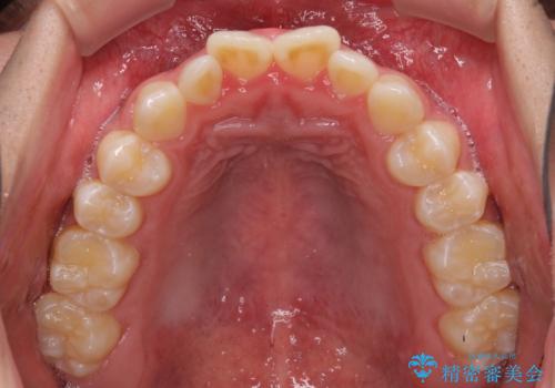
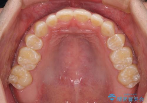
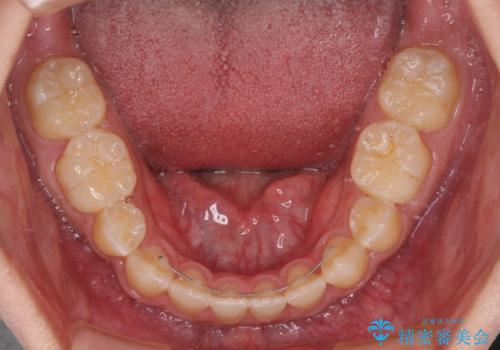
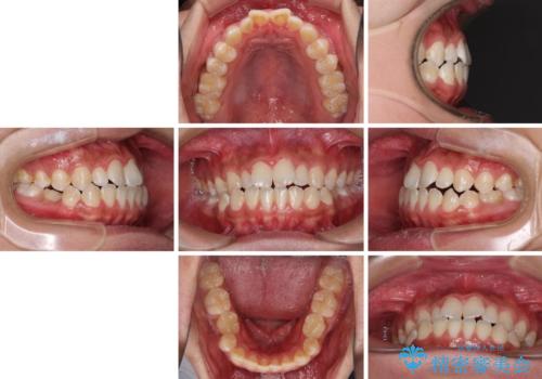
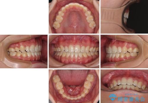
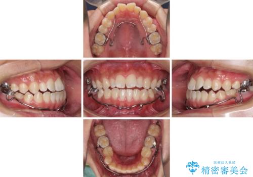
- 受け口傾向の咬み合わせと口元の突出感を気にして来院された患者様です。
受け口傾向特有の狭い上顎歯列であったため、歯列の拡大を補助装置で行い、下顎歯列全体を後方に移動させることとしました。
奥歯の咬み合わせを改善させた後、上下左右の小臼歯(下顎は残存乳歯)を計4本抜歯し、ワイヤー装置にて口元の突出感を改善しながら咬み合わせを整えることとしました。
- 費用(概算)
- 治療費の目安: 100万円(税込)費用は治療当時の料金となります
治療について
下顎の残存乳歯は小臼歯よりも大きいため、スペースを閉じるために長い期間を必要としますが、予想通りに長期間を要することとなりました。
受け口傾向の方の抜歯矯正は、下顎前歯が舌側に倒れることで歯肉退縮を起こしやすいことが知られていますが、ワイヤーに工夫をすることでリスクを軽減させています。
ワイヤー矯正の注意事項(リスク・副作用など)
- 治療中は違和感や痛みが起こることがあります
- 症状により、抜歯が必要な場合があります
- 治療中は歯磨きがしにくくなるため、虫歯や歯周病になりやすくなります
- 矯正治療後の保定が不十分だと後戻り(元の位置に戻ろうとする動き)をします
- 自費診療(保険適用外)となります
当サイトの内容、テキスト、画像等の無断転載、複製、複写、盗用を固く禁じます。



























