症例・治療例紹介
Cases
矯正歯科治療 → 叢生(でこぼこ・八重歯)
33ページ目 / 91
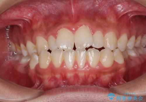
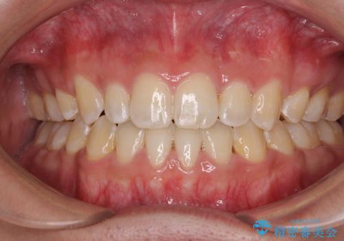
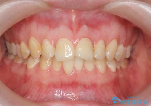
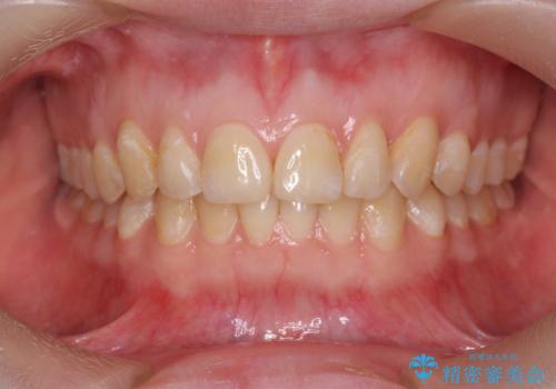
後戻りでデコボコの前歯 インビザライン矯正治療


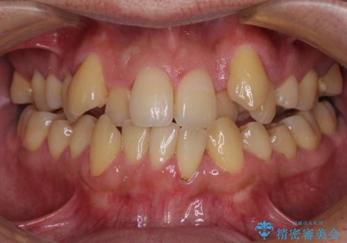
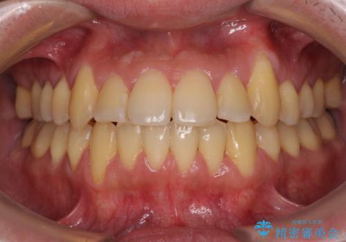
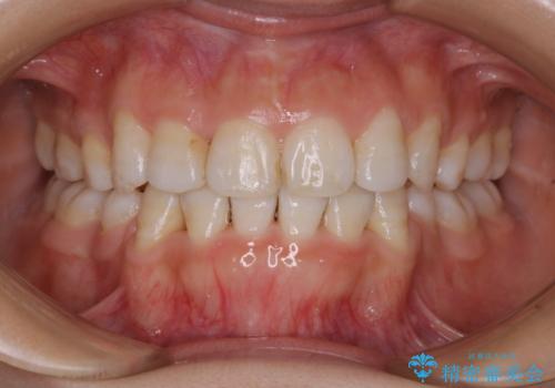
デコボコと口元の突出感 ハーフリンガルでの抜歯矯正


口元の突出感を改善 受け口傾向の咬み合わせの抜歯矯正


前歯のクロスバイト 目立たないワイヤー装置で矯正治療


全顎的なクロスバイト 補助装置を用いてワイヤー矯正


下顎前歯が隠れて突出した口元 ワイヤー装置での抜歯矯正


八重歯とクロスバイト 目立たないワイヤー装置で矯正治療
担当医 藤巻太一朗


先天欠損のある歯列 インビザライン矯正
担当医 藤巻太一朗


[ マウスピース矯正 ] 長期海外出張中に矯正治療を行いたい
![[ マウスピース矯正 ] 長期海外出張中に矯正治療を行いたいの症例 治療前](https://seimitsushinbi.jp/wp/wp-content/uploads/2023/04/IMG_9839-1-500x350.jpg?v=1682416148)
![[ マウスピース矯正 ] 長期海外出張中に矯正治療を行いたいの症例 治療後](https://seimitsushinbi.jp/wp/wp-content/uploads/2023/04/IMG_0020-500x350.jpg?v=1682416167)
マウスピース矯正で行う出っ歯の治療


インビザライン:前歯のがたつきと噛み合わせの治療


八重歯 歯並びのがたつき


インビザライン単独での抜歯矯正治療


【モニター】前歯のデコボコを治したい インビザライン矯正治療
担当医 藤巻太一朗


前歯の後戻り インビザラインでの再矯正治療


ワイヤー矯正歯科治療の注意事項(リスク・副作用など)
- 治療中は違和感や痛みが起こることがあります
- 症状により、抜歯が必要な場合があります
- 治療中は歯磨きがしにくくなるため、虫歯や歯周病になりやすくなります
- 矯正治療後の保定が不十分だと後戻り(元の位置に戻ろうとする動き)をします
- 自費診療(保険適用外)となります
マウスピース矯正の注意事項(リスク・副作用など)
- 口腔内・歯並びの状態によっては対応できない場合があります
- マウスピース型矯正装置の長時間装着が必須です
- 治療計画通りに進めるためには、患者様の意志が重要になります
- 矯正治療後の保定が不十分だと後戻り(元の位置に戻ろうとする動き)をします
- 自費診療(保険適用外)となります
