症例詳細
Case detail
インビザラインによる矯正治療(非抜歯) 下の前歯の歯並びの改善
治療症例の内容
- 担当医
- 林佳士登(ドクタープロフィール)
- 患者様
- 20代男性
- 矯正装置
- インビザライン
- 治療期間
- 1年1ヶ月
- 治療回数
- 10-30回
- 治療計画
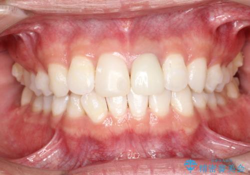
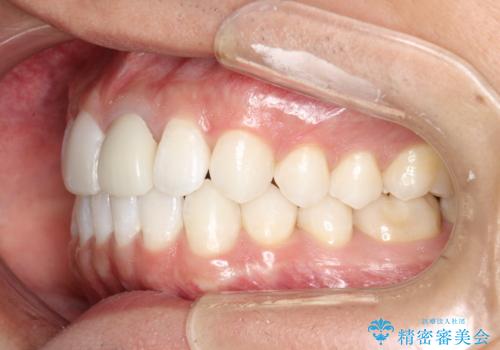
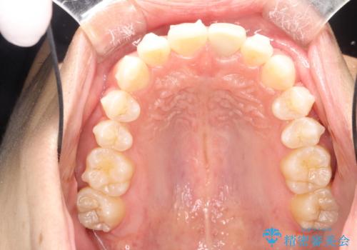
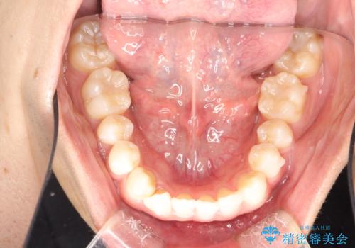
- 主に下の歯並びの改善を主訴としてご来院されました。
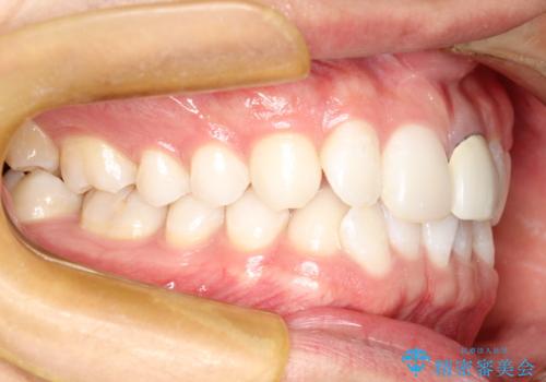
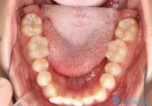
右下の犬歯と前歯が大幅に重なっているのと、歯の向きも大きく横に倒れています。この部位の正常な配列のためには、3次元的に大幅な移動が必要となりました。
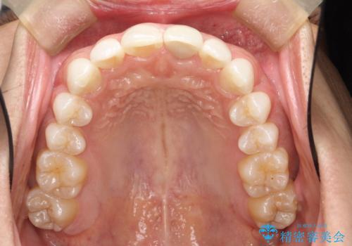
インビザラインの特色を生かした歯牙移動計画を作成し、非抜歯にて治療を行いました。
- 費用(概算)
- 88万円費用は治療当時の料金となります
治療について
マウスピース枚数 初回35枚 + 追加13枚
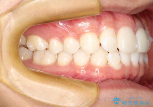
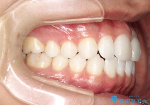
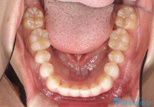
概ね1年弱で治療が完了しました。
前歯の大きな3次元的移動を可能にするために、当院独自の工夫を随所に盛り込み、狙い通りの治療結果を得られました。
マウスピース矯正の注意事項(リスク・副作用など)
- 口腔内・歯並びの状態によっては対応できない場合があります
- マウスピース型矯正装置の長時間装着(1日20時間以上)が必須です
- 治療計画通りに進めるためには、患者様の意志が重要になります
- 矯正治療後の保定が不十分だと後戻り(元の位置に戻ろうとする動き)をします
- 薬機法対象外の矯正歯科装置のため医薬品副作用被害救済制度の対象外となる場合があります
- 自費診療(保険適用外)となります
当サイトの内容、テキスト、画像等の無断転載、複製、複写、盗用を固く禁じます。















