症例・治療例紹介
Cases
矯正歯科治療 → マウスピース
3ページ目 / 22
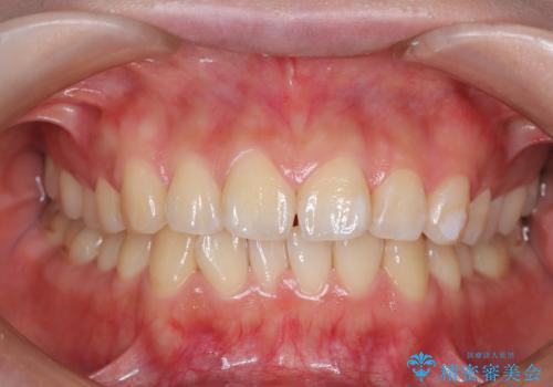
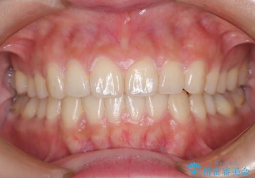
前歯のすき間 小さい歯がある 前歯の並びをきれいにしたい


アライナー矯正+インプラント治療で前歯を綺麗に並べました


【非抜歯】前歯の反対咬合をマウスピースで治す


歪んだ歯列を超短期治療!


前歯が内側に入っている:インビザライン治療


前歯のねじれと深い噛み合わせの改善:インビザライン治療


前歯のがたつきとディープバイト:インビザライン治療


ワイヤー矯正後の後戻り 出っ歯を治したい マウスピース矯正


【非抜歯】インビザラインで正しい噛み合わせを


90度捻じれてしまい、完全にはみ出している歯を抜かずにインビザラインで治す。一般治療もできる精密審美会だからこその治療


前歯の並び インビザライン 非抜歯で 深いかみ合わせの治療


マウスピース矯正の注意事項(リスク・副作用など)
- 口腔内・歯並びの状態によっては対応できない場合があります
- マウスピース型矯正装置の長時間装着が必須です
- 治療計画通りに進めるためには、患者様の意志が重要になります
- 矯正治療後の保定が不十分だと後戻り(元の位置に戻ろうとする動き)をします
- 自費診療(保険適用外)となります








