症例・治療例紹介
Cases
矯正歯科治療 → 反対咬合(受け口)
3ページ目 / 8
左右の八重歯が気になる ワイヤー装置での咬み合わせ改善


口元の突出感を改善 受け口傾向の咬み合わせの抜歯矯正


かみ合わせが悪いところを ワイヤー矯正でしっかり治療 マウスピース矯正は難しい症例


【モニター】狭い上顎歯列とオープンバイト 急速拡大装置を用いた矯正治療


【モニター】急速拡大装置 狭い歯列を拡大してワイヤー装置で短期間治療


前歯のクロスバイトをワイヤー矯正で 結婚式までに治したい


受け口 なんと部分矯正で治るんです!! インプラントを含めた総合歯科治療
担当医 井上季実子


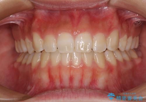
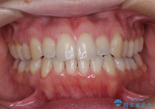
反対咬合とクロスバイトを改善して噛みやすい咬合に


前歯の反対咬合 急速拡大装置とワイヤー装置であっという間の矯正治療


急速拡大装置 狭い上顎骨を拡大してワイヤー装置で短期間治療


反対咬合や欠損を治療したい インビザライン矯正とオールセラミックブリッジ


受け口と開咬を急速拡大装置とワイヤー装置で改善


前歯が反対に咬んでいる インビザラインによる矯正治療


ワイヤー矯正歯科治療の注意事項(リスク・副作用など)
- 治療中は違和感や痛みが起こることがあります
- 症状により、抜歯が必要な場合があります
- 治療中は歯磨きがしにくくなるため、虫歯や歯周病になりやすくなります
- 矯正治療後の保定が不十分だと後戻り(元の位置に戻ろうとする動き)をします
- 自費診療(保険適用外)となります
マウスピース矯正の注意事項(リスク・副作用など)
- 口腔内・歯並びの状態によっては対応できない場合があります
- マウスピース型矯正装置の長時間装着が必須です
- 治療計画通りに進めるためには、患者様の意志が重要になります
- 矯正治療後の保定が不十分だと後戻り(元の位置に戻ろうとする動き)をします
- 自費診療(保険適用外)となります




