症例・治療例紹介
Cases
矯正歯科治療 → インビザライン
28ページ目 / 76
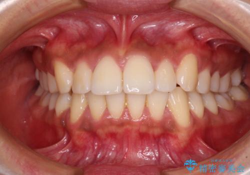
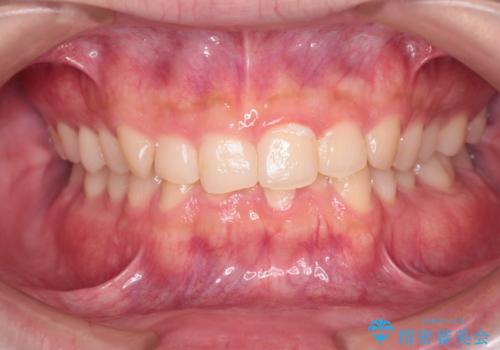
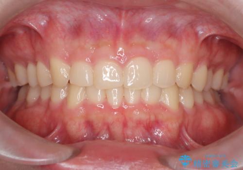
前歯のデコボコと隠れてしまう下顎前歯 インビザラインですっきりと改善
担当医 藤巻太一朗


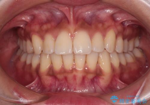
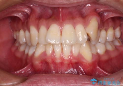
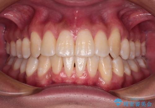
【モニター】上下前歯の叢生を解消 インビザライン矯正治療
担当医 藤巻太一朗


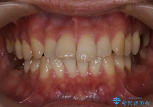
カリエール・ディスタライザーを併用したインビザライン矯正治療


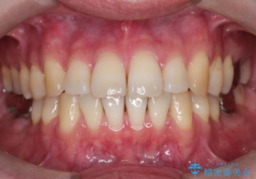
気になる歯列不正とむし歯を治療 インビザライン治療と虫歯治療


マウスピース矯正で前歯の見た目を治したい
担当医 大元洋佑


前歯のガタつきをマウスピース矯正で改善! 驚きの効果を体験しよう


悩ましい前歯のガタつき、マウスピース矯正で解決! 自信を取り戻して笑顔に


受け口傾向のマウスピース矯正 (ワイヤー治療を併用して)


短期間で口元の印象をガラリと変えませんか? 30代男性 インビザライン矯正で自然な口元美を実現


半年で行えるマウスピース矯正
担当医 大元洋佑


マウスピース矯正の注意事項(リスク・副作用など)
- 口腔内・歯並びの状態によっては対応できない場合があります
- マウスピース型矯正装置の長時間装着が必須です
- 治療計画通りに進めるためには、患者様の意志が重要になります
- 矯正治療後の保定が不十分だと後戻り(元の位置に戻ろうとする動き)をします
- 自費診療(保険適用外)となります










