症例・治療例紹介
Cases
矯正歯科治療 → 叢生(でこぼこ・八重歯)
26ページ目 / 91
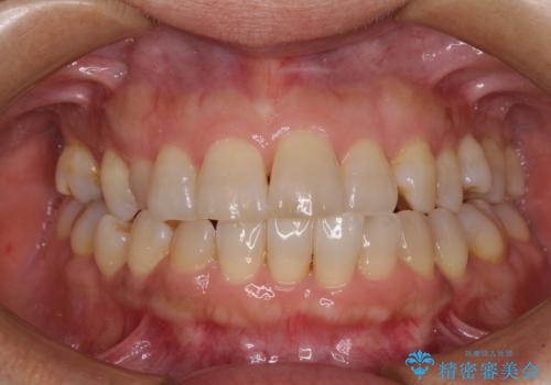
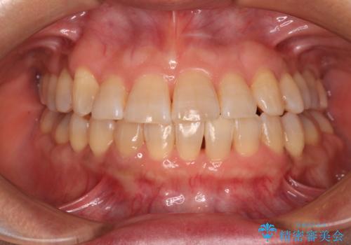
インビザラインが続けられない 装置変更して抜歯矯正


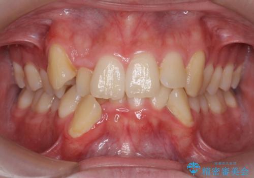
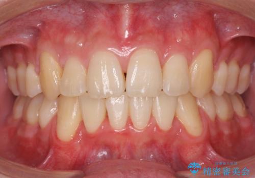
前歯のクロスバイト インビザラインによる矯正治療


欠損した前歯とディープバイト ワイヤー矯正で短期間で治療


歯のがたつき 4本抜歯を回避してマウスピース矯正へ


下の前歯のがたつき インビザラインで


前歯のデコボコを費用を抑えたメタルブラケットできれいに
担当医 藤巻太一朗


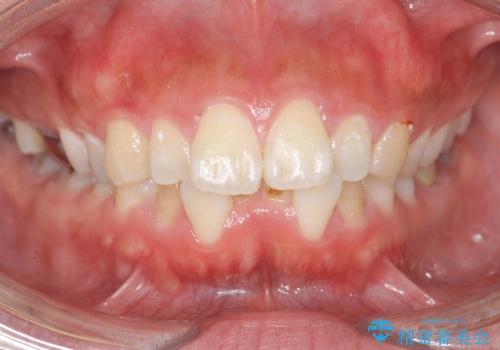
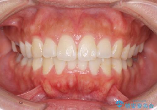
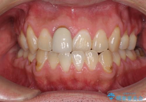
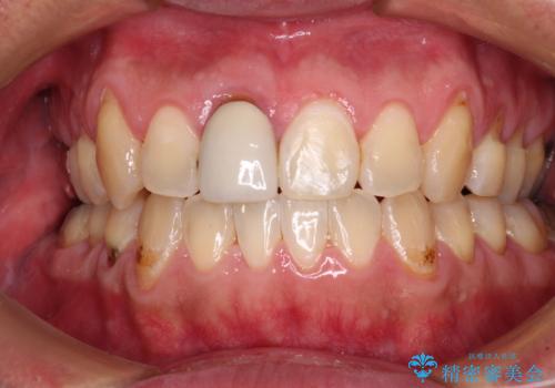
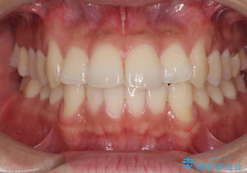
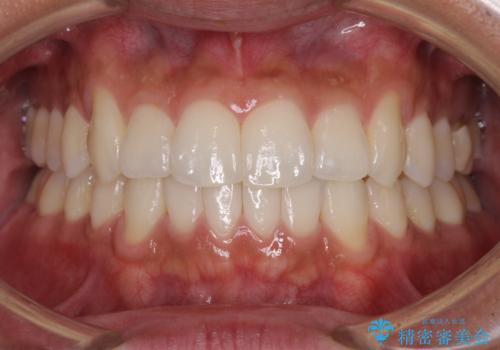
[ 出っ歯を治したい ] マイクロインプラントを用いた大きな後方移動
![[ 出っ歯を治したい ] マイクロインプラントを用いた大きな後方移動の症例 治療前](https://seimitsushinbi.jp/wp/wp-content/uploads/2023/09/C14.1-500x350.jpg?v=1695117911)
![[ 出っ歯を治したい ] マイクロインプラントを用いた大きな後方移動の症例 治療後](https://seimitsushinbi.jp/wp/wp-content/uploads/2023/09/3ec5b2f9fcf843c864da508dfde7424c-500x350.jpg?v=1695117775)
前歯の角度を改善するマウスピース矯正


前歯のデコボコとクロスバイトをインビザライン矯正で改善


前歯のデコボコを治したい インビザライン矯正治療
担当医 藤巻太一朗


口元の突出感を抜歯矯正で改善 メタル装置で費用を抑える


前に飛び出した前歯を治したい ワイヤー装置による抜歯矯正治療


前歯のクロスバイト インビザラインによる矯正治療


骨格のずれをカムフラージュ クロスバイトのワイヤー矯正
担当医 藤巻太一朗


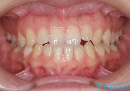
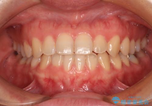
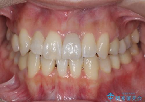
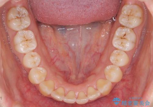
前歯のがたつき 下の八重歯


ワイヤー矯正歯科治療の注意事項(リスク・副作用など)
- 治療中は違和感や痛みが起こることがあります
- 症状により、抜歯が必要な場合があります
- 治療中は歯磨きがしにくくなるため、虫歯や歯周病になりやすくなります
- 矯正治療後の保定が不十分だと後戻り(元の位置に戻ろうとする動き)をします
- 自費診療(保険適用外)となります
マウスピース矯正の注意事項(リスク・副作用など)
- 口腔内・歯並びの状態によっては対応できない場合があります
- マウスピース型矯正装置の長時間装着が必須です
- 治療計画通りに進めるためには、患者様の意志が重要になります
- 矯正治療後の保定が不十分だと後戻り(元の位置に戻ろうとする動き)をします
- 自費診療(保険適用外)となります
