症例・治療例紹介
Cases
矯正歯科治療 → 叢生(でこぼこ・八重歯)
23ページ目 / 91
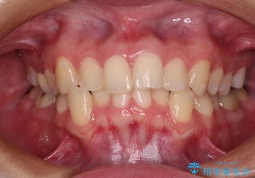
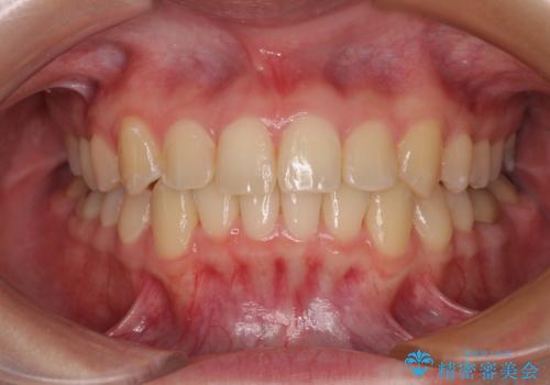
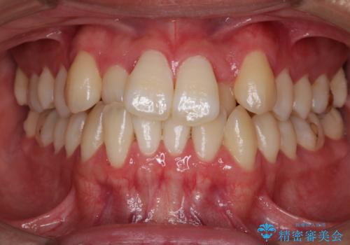
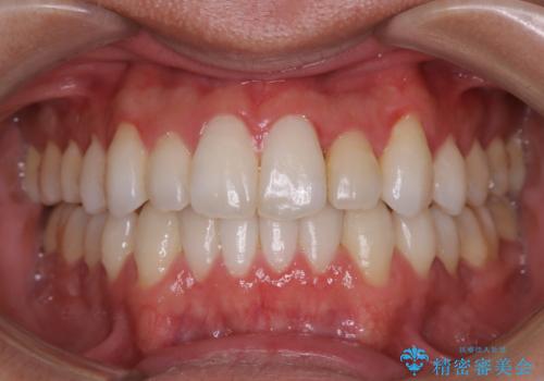
[ インビザライン矯正 ] マウスピースで治す前歯のがたつき
担当医 大元洋佑
![[ インビザライン矯正 ] マウスピースで治す前歯のがたつきの症例 治療前](https://seimitsushinbi.jp/wp/wp-content/uploads/2023/11/C7-500x350.jpg?v=1699665009)
![[ インビザライン矯正 ] マウスピースで治す前歯のがたつきの症例 治療後](https://seimitsushinbi.jp/wp/wp-content/uploads/2023/11/IMG_2993-500x350.jpg?v=1699664953)
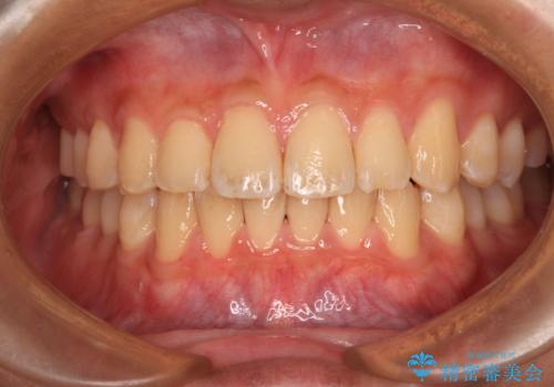
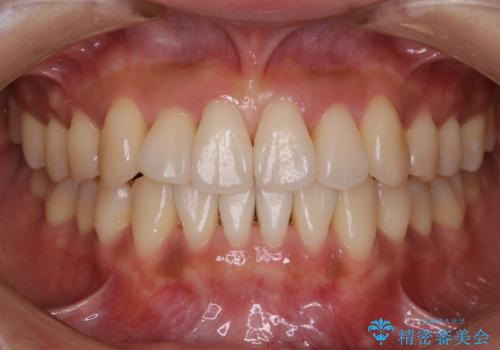
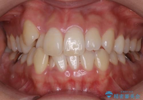
[前歯のねじれ・がたつきを治したい ]ワイヤーとマウスピースの併用矯正治療
![[前歯のねじれ・がたつきを治したい ]ワイヤーとマウスピースの併用矯正治療の症例 治療前](https://seimitsushinbi.jp/wp/wp-content/uploads/2023/11/IMG_0010-1-500x350.jpg?v=1699509973)
![[前歯のねじれ・がたつきを治したい ]ワイヤーとマウスピースの併用矯正治療の症例 治療後](https://seimitsushinbi.jp/wp/wp-content/uploads/2023/11/1c93ab7139a768f1f61b6dd35aac7324-500x350.jpg?v=1699510065)
前歯のクロスバイト ギラギラのワイヤー装置で矯正治療


遠方からの通院 インビザライン矯正治療
担当医 藤巻太一朗


前歯のデコボコとクロスバイト インビザラインによる矯正治療
担当医 藤巻太一朗


八重歯の抜歯矯正 補助装置とワイヤーを併用したインビザライン矯正治療
担当医 藤巻太一朗


前歯のデコボコと深い咬み合わせ インビザラインできれいに改善
担当医 藤巻太一朗


前に出ている前歯を引っ込めたい インビザライン矯正
担当医 藤巻太一朗


デコボコ歯列をきれいに インビザラインによる矯正治療
担当医 藤巻太一朗


抜歯が必要な奥歯と前歯のデコボコ インプラント治療とインビザライン矯正治療


[ 歯周病・矯正・セラミック治療 ] 1つの医院で行う包括的歯科治療
担当医 大元洋佑
![[ 歯周病・矯正・セラミック治療 ] 1つの医院で行う包括的歯科治療の症例 治療前](https://seimitsushinbi.jp/wp/wp-content/uploads/2023/10/IMG_6364-500x350.jpg?v=1697786419)
![[ 歯周病・矯正・セラミック治療 ] 1つの医院で行う包括的歯科治療の症例 治療後](https://seimitsushinbi.jp/wp/wp-content/uploads/2023/10/90d18252b8dbe1975afad5c7598b2fb5-500x350.jpg?v=1697785801)
【非抜歯】左右の八重歯・前歯の反対咬合の改善 インビザライン


【非抜歯】八重歯を治す マウスピース矯正


【非抜歯】狭い歯列を改善 ガタつきを治す


【非抜歯】インビザライン 隠れた前歯を並べる矯正治療


ワイヤー矯正歯科治療の注意事項(リスク・副作用など)
- 治療中は違和感や痛みが起こることがあります
- 症状により、抜歯が必要な場合があります
- 治療中は歯磨きがしにくくなるため、虫歯や歯周病になりやすくなります
- 矯正治療後の保定が不十分だと後戻り(元の位置に戻ろうとする動き)をします
- 自費診療(保険適用外)となります
マウスピース矯正の注意事項(リスク・副作用など)
- 口腔内・歯並びの状態によっては対応できない場合があります
- マウスピース型矯正装置の長時間装着が必須です
- 治療計画通りに進めるためには、患者様の意志が重要になります
- 矯正治療後の保定が不十分だと後戻り(元の位置に戻ろうとする動き)をします
- 自費診療(保険適用外)となります
