症例・治療例紹介
Cases
矯正歯科治療 → 開咬(オープンバイト)
2ページ目 / 8
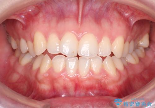
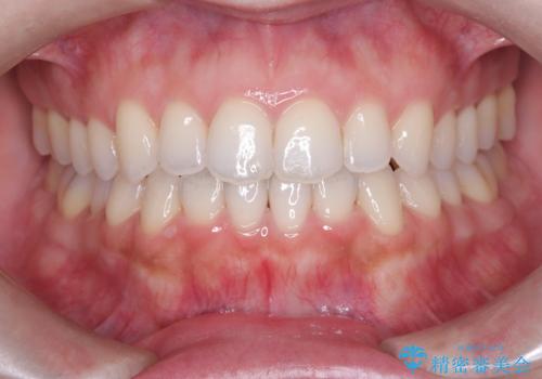
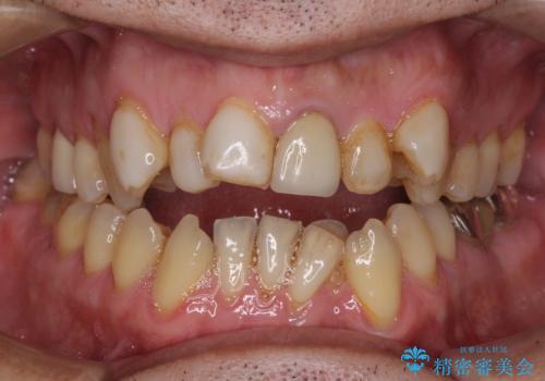
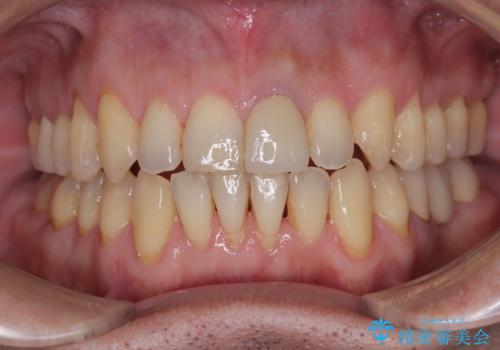
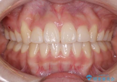
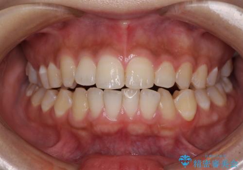
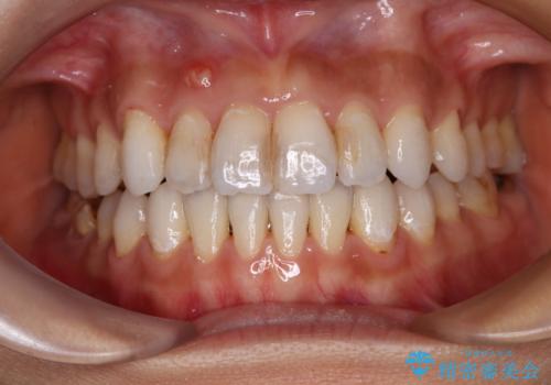
開咬と変色した前歯 インビザライン矯正とオールセラミッククラウン治療


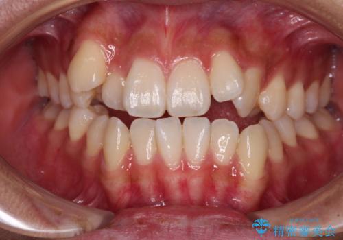
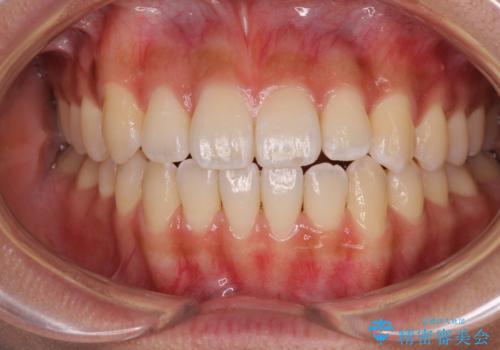
【インビザライン】オープンバイトを治したい
担当医 河口智英


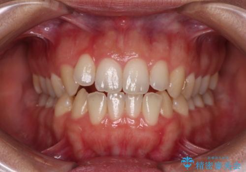
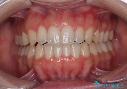
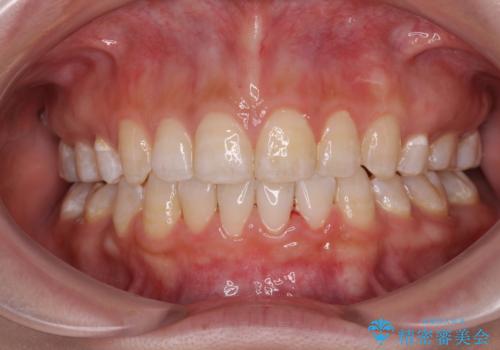
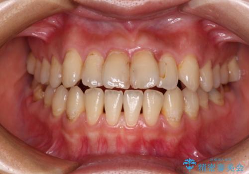
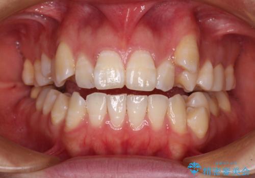
【モニター】オープンバイトをインビザライン矯正で治す
担当医 藤巻太一朗


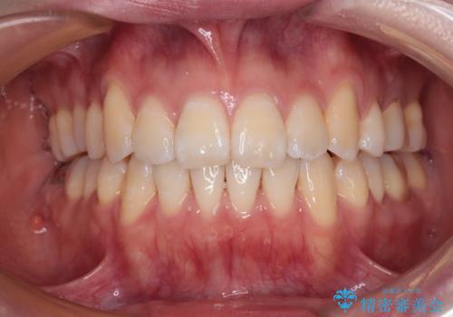
外科手術を検討? 過大な開咬をワイヤー装置とインビザラインで劇的に改善する


八重歯とオープンバイト 急速拡大装置を用いた矯正治療


【インビザライン】がたつきをマウスピースできれいにしたい


【非抜歯】マウスピースでオープンバイトを治す


【ワイヤー矯正】オープンバイトを治したい


オープンバイト、噛んだ時に前歯が閉じない(開咬)をインビザラインで
担当医 福本健生


【インビザライン】オープンバイトを治したい
担当医 河口智英


本来は外科ケース:インビザラインで前歯の重度がたつきとオープンバイトの改善


前に出ている上顎 抜歯矯正で唇を閉じやすく


【モニター】開咬を治したい インビザラインによる矯正治療


咬んでも前歯が閉じない 矯正治療で見た目を含めて改善


八重歯と開咬の抜歯矯正 ワイヤー装置を併用したインビザライン矯正治療


ワイヤー矯正歯科治療の注意事項(リスク・副作用など)
- 治療中は違和感や痛みが起こることがあります
- 症状により、抜歯が必要な場合があります
- 治療中は歯磨きがしにくくなるため、虫歯や歯周病になりやすくなります
- 矯正治療後の保定が不十分だと後戻り(元の位置に戻ろうとする動き)をします
- 自費診療(保険適用外)となります
マウスピース矯正の注意事項(リスク・副作用など)
- 口腔内・歯並びの状態によっては対応できない場合があります
- マウスピース型矯正装置の長時間装着が必須です
- 治療計画通りに進めるためには、患者様の意志が重要になります
- 矯正治療後の保定が不十分だと後戻り(元の位置に戻ろうとする動き)をします
- 自費診療(保険適用外)となります
