症例・治療例紹介
Cases
矯正歯科治療 → ハーフリンガル
2ページ目 / 5
目立たない裏側装置 ハーフリンガルの抜歯矯正
担当医 藤巻太一朗


出っ歯と八重歯 目立たない裏側装置でスッキリとした口元に


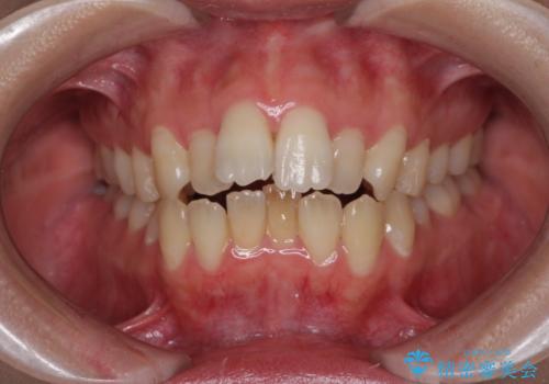
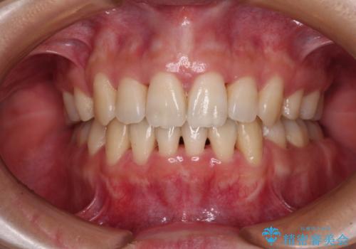
【ハーフリンガル】重度の叢生
担当医 河口智英


目立たないハーフリンガル矯正 抜歯矯正で口元の突出感を改善


気になる八重歯 目立ちにくいハーフリンガルでの抜歯矯正
担当医 藤巻太一朗


デコボコと口元の突出感 ハーフリンガルでの抜歯矯正


デコボコと膨らんだ口元 ハーフリンガルによる抜歯矯正とインプラント補綴治療


目立たない装置で出っ歯を治したい ハーフリンガル矯正


目立たない裏側矯正で突出感を改善 ハーフリンガル矯正
担当医 藤巻太一朗


前歯の隙間を閉じたい 口元も下げたい ハーフリンガルによる抜歯矯正


八重歯と開咬を治したい 目立たないハーフリンガル矯正


気になる八重歯を目立たない装置で改善 ハーフリンガル矯正


ガタガタの抜歯矯正を裏側ワイヤーを使っての目立たない矯正


ワイヤー矯正歯科治療の注意事項(リスク・副作用など)
- 治療中は違和感や痛みが起こることがあります
- 症状により、抜歯が必要な場合があります
- 治療中は歯磨きがしにくくなるため、虫歯や歯周病になりやすくなります
- 矯正治療後の保定が不十分だと後戻り(元の位置に戻ろうとする動き)をします
- 自費診療(保険適用外)となります




