症例・治療例紹介
Cases
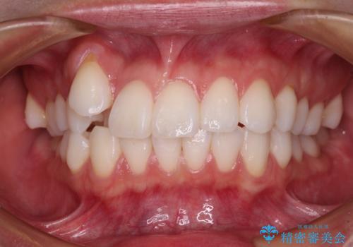
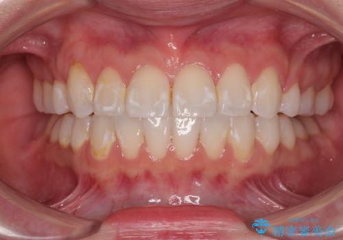
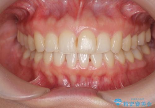
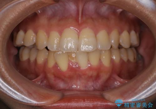
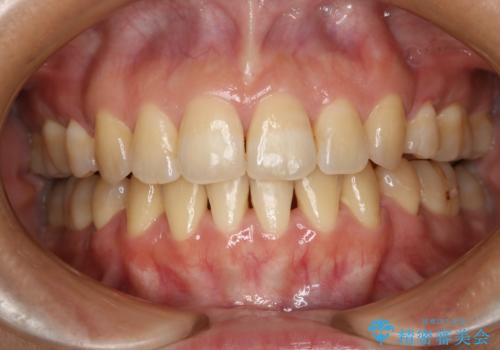
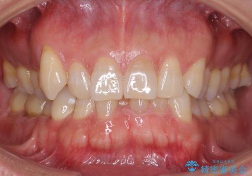
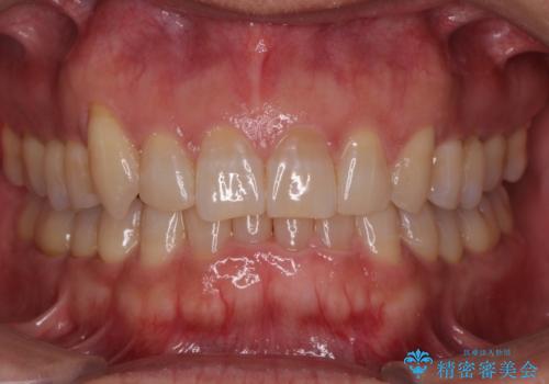
矯正歯科治療 → 叢生(でこぼこ・八重歯)
2ページ目 / 91
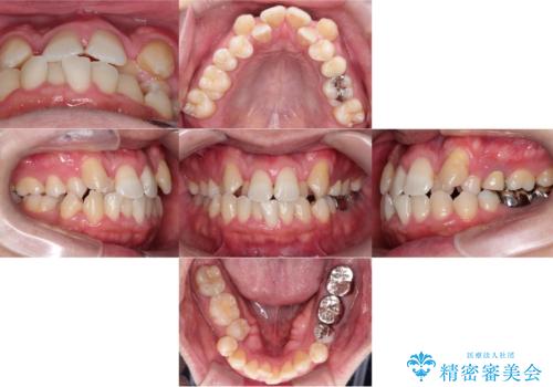
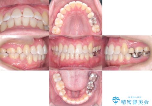
転位歯や埋伏歯などの難易度の高い抜歯矯正治療


上顎前歯のデコボコを改善してスッキリした口元に ワイヤー装置での非抜歯矯正


歯のデコボコを治したい|インビザラインで綺麗な歯並びに!|矯正期間は6ヵ月!
担当医 河野豊嘉


【モニター】八重歯と正中を改善 ワイヤー装置の抜歯矯正
担当医 藤巻太一朗


【抜歯】ハーフリンガル矯正で韓国美人な横顔へ!


【部分矯正】必要最低限の移動でガタつきを改善する


前歯のズレ・がたつき・すれ違いの矯正治療


インビザライン矯正 閉じずらい口元を歯を抜かずに改善


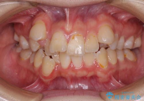
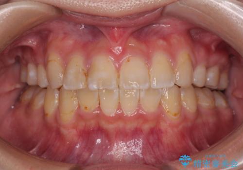
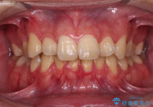
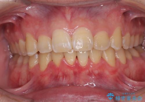
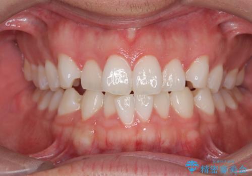
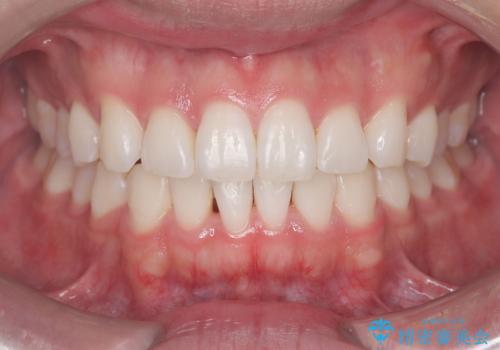
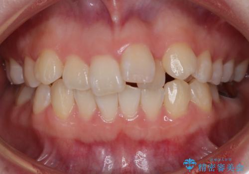
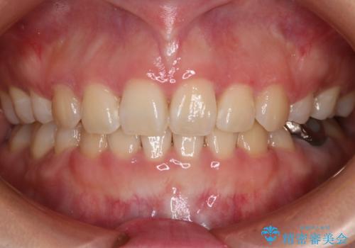
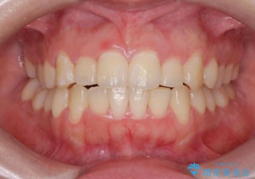
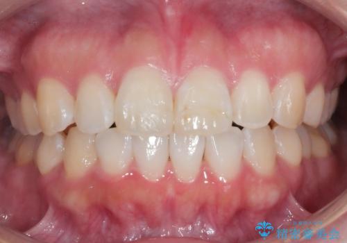
[マウスピース矯正] がたがたの歯並びをきれいにしたい
![[マウスピース矯正] がたがたの歯並びをきれいにしたいの症例 治療前](https://seimitsushinbi.jp/wp/wp-content/uploads/2025/06/0d238550c8a0fddc4de7b2c337c6c786-500x350.jpg?v=1750323380)
![[マウスピース矯正] がたがたの歯並びをきれいにしたいの症例 治療後](https://seimitsushinbi.jp/wp/wp-content/uploads/2025/06/IMG_0002-2-500x350.jpg?v=1750323305)
八重歯を矯正治療で治したい!


出っ歯に見える前歯の改善 部分ワイヤーとマウスピース矯正
担当医 大元洋佑


インビザライン矯正 短期間で出っ歯を改善


前歯を後ろに下げたい ワイヤー矯正(クリア装置)


八重歯と下の歯のがたつき マウスピースで
担当医 井上季実子


【ワイヤー矯正】口が閉じずらい
担当医 町田睦月


ワイヤー矯正歯科治療の注意事項(リスク・副作用など)
- 治療中は違和感や痛みが起こることがあります
- 症状により、抜歯が必要な場合があります
- 治療中は歯磨きがしにくくなるため、虫歯や歯周病になりやすくなります
- 矯正治療後の保定が不十分だと後戻り(元の位置に戻ろうとする動き)をします
- 自費診療(保険適用外)となります
マウスピース矯正の注意事項(リスク・副作用など)
- 口腔内・歯並びの状態によっては対応できない場合があります
- マウスピース型矯正装置の長時間装着が必須です
- 治療計画通りに進めるためには、患者様の意志が重要になります
- 矯正治療後の保定が不十分だと後戻り(元の位置に戻ろうとする動き)をします
- 自費診療(保険適用外)となります
