症例・治療例紹介
Cases
矯正歯科治療 → インビザライン
18ページ目 / 76
前歯のがたつき 若干受け口 インビザラインで


前歯のすき間、犬歯の異所萌出 乳歯を抜かずに矯正


中等度歯列不正 インビザライン・モデレートによる矯正治療
担当医 藤巻太一朗


前歯のデコボコとクロスバイト インビザライン矯正治療


抜歯矯正で八重歯を改善 インビザライン矯正治療
担当医 藤巻太一朗


捻れた前歯をインビザラインで整える
担当医 藤巻太一朗


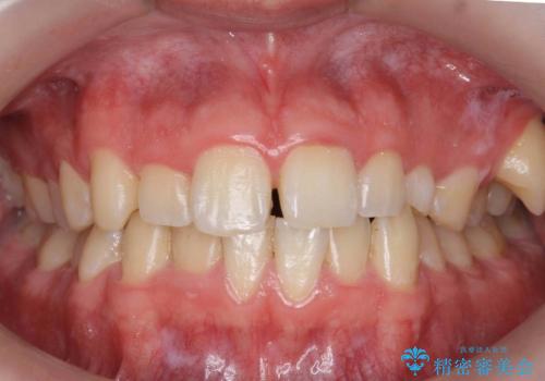
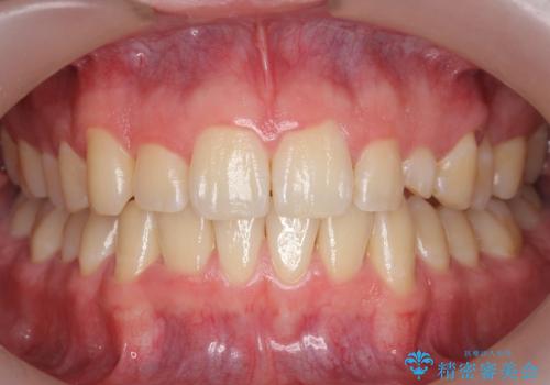
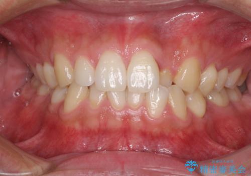
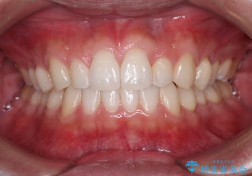
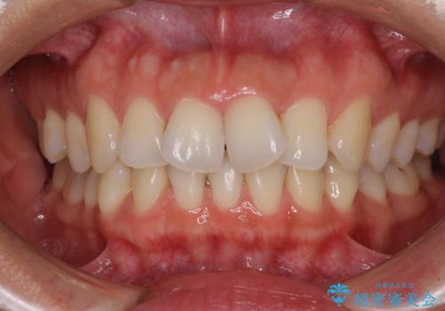
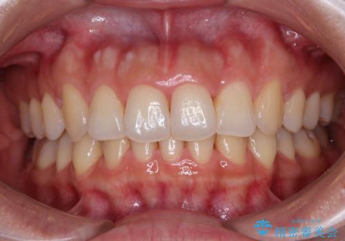
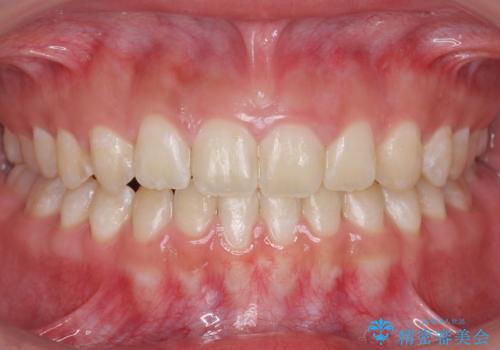
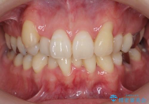
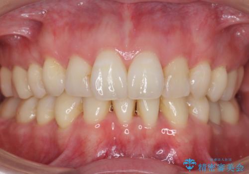
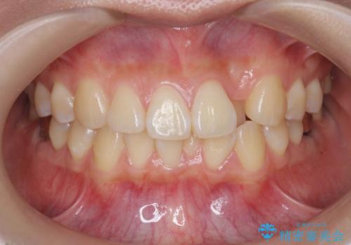
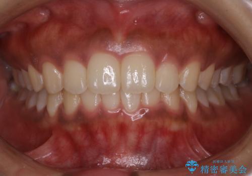
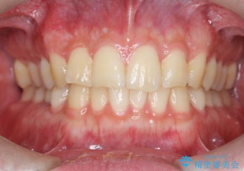
[ 前歯のねじれ・がたつき ] マウスピース矯正
![[ 前歯のねじれ・がたつき ] マウスピース矯正の症例 治療前](https://seimitsushinbi.jp/wp/wp-content/uploads/2024/02/4007c6479f6bce11863dcdd32ed5e39b-500x350.jpg?v=1708502552)
![[ 前歯のねじれ・がたつき ] マウスピース矯正の症例 治療後](https://seimitsushinbi.jp/wp/wp-content/uploads/2024/02/e7a01485e4f4dd0da04705fde4cc34cc-500x350.jpg?v=1708502585)
インビザライン モニター治療 前歯のねじれをまっすぐに


人の印象は歯並びから! 実は…美容医療より効果抜群!! コスパ重視ならすきっ歯の矯正治療


前歯のがたつき、中に入ってしまっている 部分矯正で低予算で


他院で3年以上かかると言われた八重歯を半年できれいに


正中のズレ、引っ込んだ前歯の矯正


インビザライン矯正 歯を抜かずに出っ歯を改善!


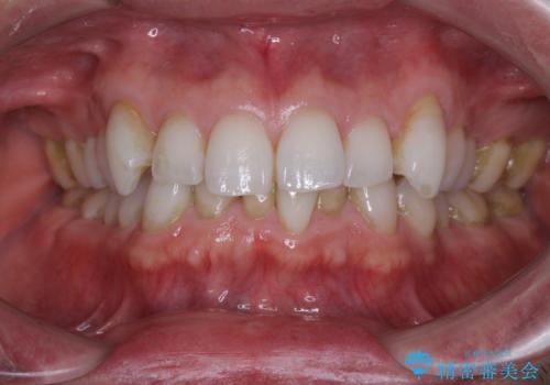
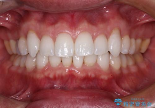
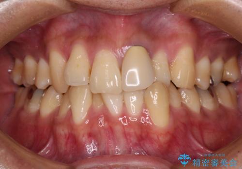
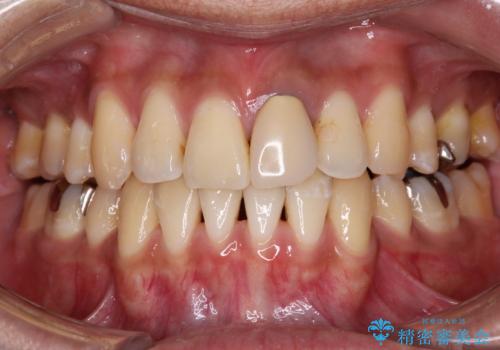
前歯のがたつきをなおしたい マウスピース矯正
担当医 大元洋佑


マウスピース矯正の注意事項(リスク・副作用など)
- 口腔内・歯並びの状態によっては対応できない場合があります
- マウスピース型矯正装置の長時間装着が必須です
- 治療計画通りに進めるためには、患者様の意志が重要になります
- 矯正治療後の保定が不十分だと後戻り(元の位置に戻ろうとする動き)をします
- 自費診療(保険適用外)となります

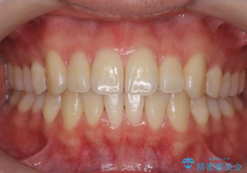
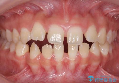
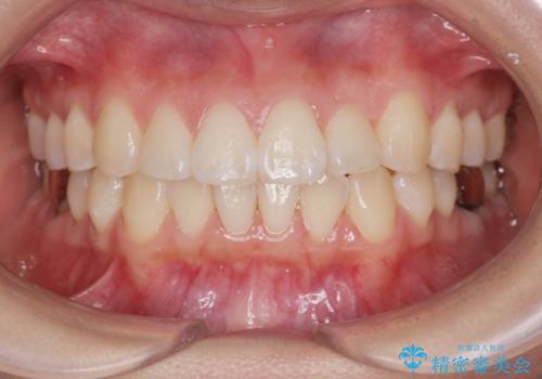
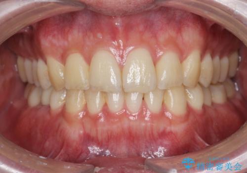
![[ マウスピース矯正 ] 前歯の角度・がたつきを治したい。の症例 治療前](https://seimitsushinbi.jp/wp/wp-content/uploads/2024/02/IMG_7820-500x350.jpg?v=1707810350)
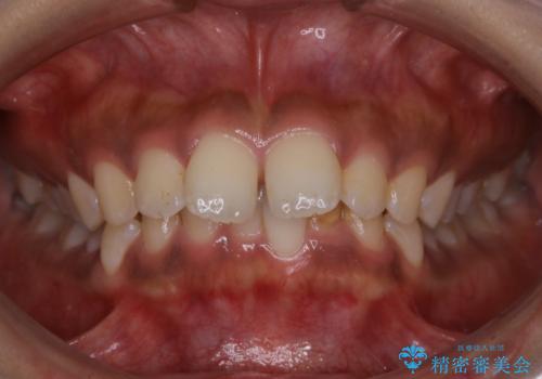
![[ マウスピース矯正 ] 前歯の角度・がたつきを治したい。の症例 治療後](https://seimitsushinbi.jp/wp/wp-content/uploads/2024/02/8334681fa61954fc45ff8cef14f33166-500x350.jpg?v=1707810480)