症例・治療例紹介
Cases
矯正歯科治療 → インビザライン
17ページ目 / 76
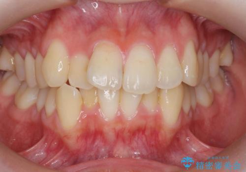
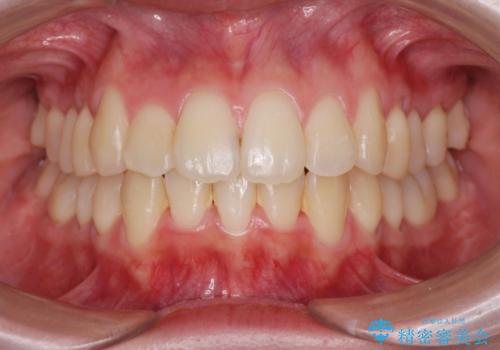
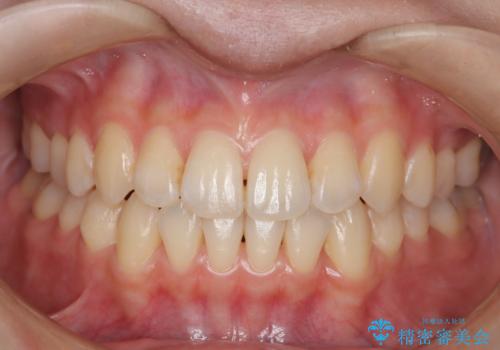
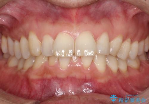
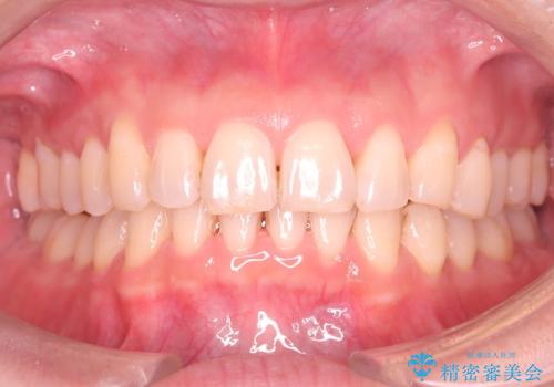
インビザライン矯正 過去に矯正治療したが、また前歯にがたつきがでてきて治したい


前歯のがたつきをマウスピース矯正できれいに!
担当医 大元洋佑


マイクロインプラントで達成する出っ歯の後方移動


八重歯 インビザラインで抜歯矯正 ただし1本のみの抜歯で済みます


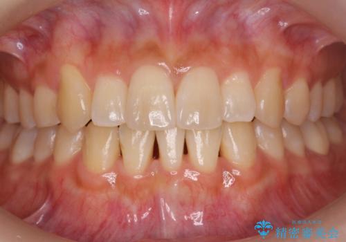
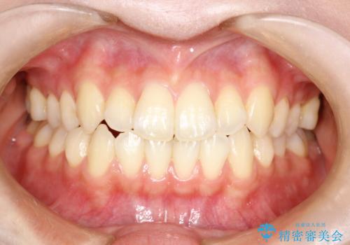
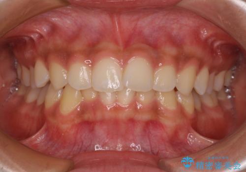
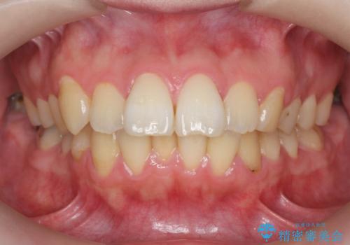
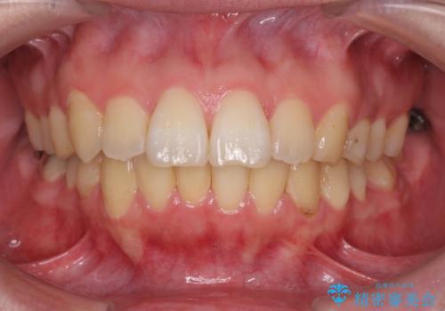
前歯のガタつき、下顎の前突感を治したい インビザライン矯正例
担当医 高悠莉


前歯の並び モニター治療で


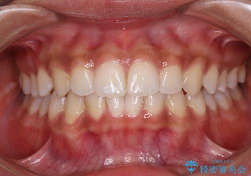
前歯のデコボコを治したい インビザライン・モデレートによる矯正治療
担当医 藤巻太一朗


【モニター】開咬を治したい インビザラインによる矯正治療


咬んでも前歯が閉じない 矯正治療で見た目を含めて改善


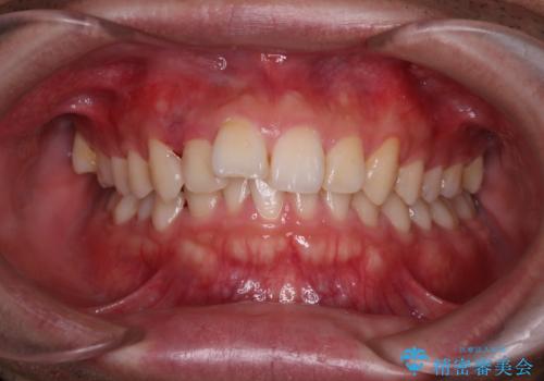
前歯と奥歯の反対咬合 部分ワイヤーとインビザラインで


前歯が反対にかんでいる 部分ワイヤーとインビザラインの併用で短期治療


マウスピース矯正の注意事項(リスク・副作用など)
- 口腔内・歯並びの状態によっては対応できない場合があります
- マウスピース型矯正装置の長時間装着が必須です
- 治療計画通りに進めるためには、患者様の意志が重要になります
- 矯正治療後の保定が不十分だと後戻り(元の位置に戻ろうとする動き)をします
- 自費診療(保険適用外)となります








