症例・治療例紹介
Cases
矯正歯科治療 → 審美装置
17ページ目 / 39
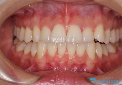
反対咬合とクロスバイトを改善して噛みやすい咬合に


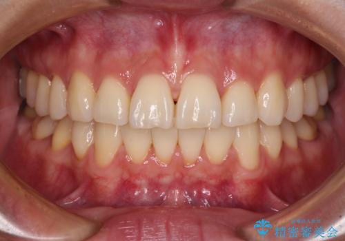
内側に倒れた前歯と口元の突出感 ワイヤー装置での抜歯矯正


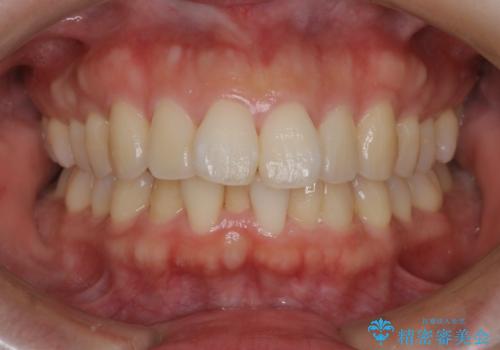
カリエール・ディスタライザーとワイヤーを併用した、インビザライン矯正治療


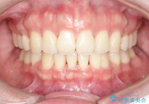
急速拡大装置 前歯の反対咬合をインビザラインで改善


著しいディープバイトと隙間だらけの歯列


閉じにくい口元と八重歯 ワイヤー装置での抜歯矯正


見えないほど重なっている前歯 抜歯矯正でスッキリとした歯並びに
担当医 藤巻太一朗


口元を下げてすっきりさせたい ワイヤー抜歯矯正で口元の改善


ワイヤー装置をインビザラインへ 装置変更での矯正治療
担当医 藤巻太一朗


【モニター】口が閉じにくい 目立たないワイヤー装置で口元を引っ込める


八重歯とクロスバイト 目立たないワイヤー装置での抜歯矯正


ワイヤー矯正歯科治療の注意事項(リスク・副作用など)
- 治療中は違和感や痛みが起こることがあります
- 症状により、抜歯が必要な場合があります
- 治療中は歯磨きがしにくくなるため、虫歯や歯周病になりやすくなります
- 矯正治療後の保定が不十分だと後戻り(元の位置に戻ろうとする動き)をします
- 自費診療(保険適用外)となります








