症例・治療例紹介
Cases
矯正歯科治療 → インビザライン
15ページ目 / 76
【非抜歯】インビザラインでガタつきと口元を改善!非抜歯でも印象が変わる矯正治療


【非抜歯】マウスピースでオープンバイトを治す


【インビザライン】すきっぱを治したい


歯を抜かないで出っ歯を治したい


非抜歯で劇的に出っ歯を改善!インビザラインとカリエールの組み合わせ治療


オープンバイト、噛んだ時に前歯が閉じない(開咬)をインビザラインで
担当医 福本健生


【インビザライン、10ヵ月で矯正終了!】下の前歯が斜めになっているのを治したい!


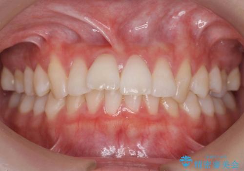
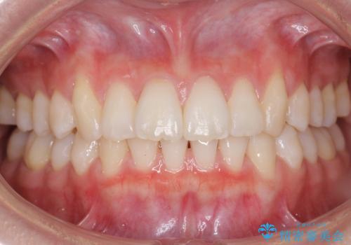
[ 受け口傾向のマウスピース矯正 ] マイクロインプラントで行う確実な後方移動
![[ 受け口傾向のマウスピース矯正 ] マイクロインプラントで行う確実な後方移動の症例 治療前](https://seimitsushinbi.jp/wp/wp-content/uploads/2024/04/5f0bc38a5dfbfee2c682d1aed8343d4d-500x350.jpg?v=1712301054)
![[ 受け口傾向のマウスピース矯正 ] マイクロインプラントで行う確実な後方移動の症例 治療後](https://seimitsushinbi.jp/wp/wp-content/uploads/2024/04/2095617952f97867f275f6769d72e82a-500x350.jpg?v=1712301056)
八重歯を非抜歯で マウスピースで治療 奥歯を後ろに下げてすき間を確保


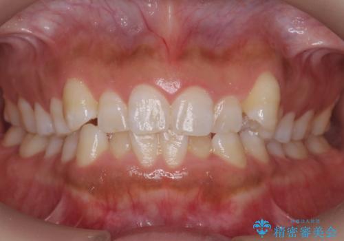
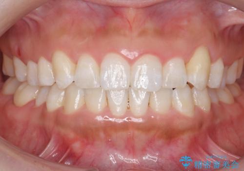
[ インビザライン ] 目立たないマウスピース矯正で、前歯のがたつきをきれいにしたい
担当医 大元洋佑
![[ インビザライン ] 目立たないマウスピース矯正で、前歯のがたつきをきれいにしたいの症例 治療前](https://seimitsushinbi.jp/wp/wp-content/uploads/2024/04/IMG_3912-500x350.jpg?v=1711960039)
![[ インビザライン ] 目立たないマウスピース矯正で、前歯のがたつきをきれいにしたいの症例 治療後](https://seimitsushinbi.jp/wp/wp-content/uploads/2024/04/cd64e6566cc0683feee2abf20f8241f9-500x350.jpg?v=1711960118)
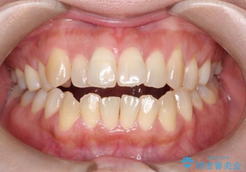
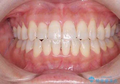
【インビザライン】オープンバイトを治したい
担当医 河口智英


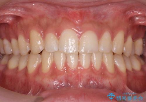
【インビザライン】前歯の凸凹をマウスピース矯正でなおしたい
担当医 河口智英


[ 引っ込んだ前歯を治したい ] 歯を抜かないマウスピース矯正
![[ 引っ込んだ前歯を治したい ] 歯を抜かないマウスピース矯正の症例 治療前](https://seimitsushinbi.jp/wp/wp-content/uploads/2024/03/IMG_1089-500x350.jpg?v=1711680738)
![[ 引っ込んだ前歯を治したい ] 歯を抜かないマウスピース矯正の症例 治療後](https://seimitsushinbi.jp/wp/wp-content/uploads/2024/03/5329ad9ea362646e5d4ee5f7b30cf319-500x350.jpg?v=1711680954)
すきっ歯 セラミックで治すか矯正で治すか相談したい


八重歯 歯を抜かずにインビザラインで


マウスピース矯正の注意事項(リスク・副作用など)
- 口腔内・歯並びの状態によっては対応できない場合があります
- マウスピース型矯正装置の長時間装着が必須です
- 治療計画通りに進めるためには、患者様の意志が重要になります
- 矯正治療後の保定が不十分だと後戻り(元の位置に戻ろうとする動き)をします
- 自費診療(保険適用外)となります
