症例・治療例紹介
Cases
矯正歯科治療 → 審美装置
13ページ目 / 39
歯のがたつき 4本抜歯を回避してマウスピース矯正へ


前に飛び出した前歯を治したい ワイヤー装置による抜歯矯正治療


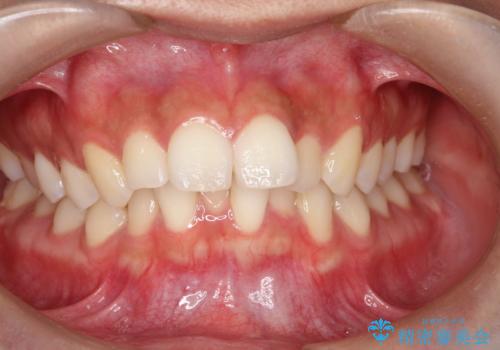
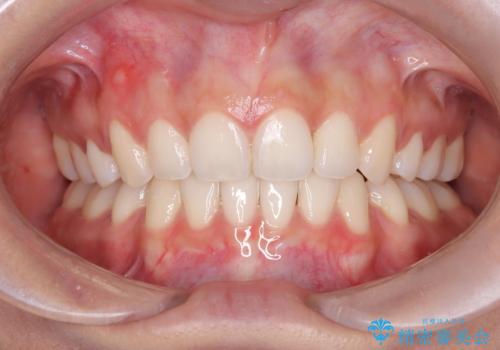
【モニター】前歯のデコボコとクロスバイト ワイヤー矯正で短期間に仕上げる
担当医 藤巻太一朗


【モニター】再矯正でデコボコの前歯を改善 抜歯矯正の後戻り
担当医 藤巻太一朗


ガタガタの歯並び、八重歯をなおしたい、骨格性下顎前突 カモフラージュ矯正


八重歯と出っ歯を治したい ワイヤー装置での抜歯矯正


隙間の空いた歯列とボロボロの乳歯 インプラント治療と矯正治療


割れてしまった歯が痛む 矯正とインプラントを併用した総合歯科治療
担当医 藤巻太一朗


前歯のデコボコをワイヤー矯正できれいに整える


むし歯と咬み合わせで奥歯に負担がかかる 総合歯科治療で悩みを改善
担当医 藤巻太一朗


横顔の印象が大きく変わる ワイヤー装置での抜歯矯正


舌突出癖による開咬 舌のトレーニングを行いながら前歯の隙間を改善


急速拡大とワイヤー抜歯矯正で唇を閉じやすく


ワイヤー矯正歯科治療の注意事項(リスク・副作用など)
- 治療中は違和感や痛みが起こることがあります
- 症状により、抜歯が必要な場合があります
- 治療中は歯磨きがしにくくなるため、虫歯や歯周病になりやすくなります
- 矯正治療後の保定が不十分だと後戻り(元の位置に戻ろうとする動き)をします
- 自費診療(保険適用外)となります




