症例・治療例紹介
Cases
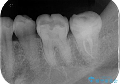
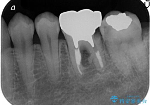
根管治療 → イニシャルトリートメント
2ページ目 / 7
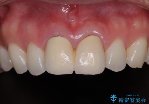
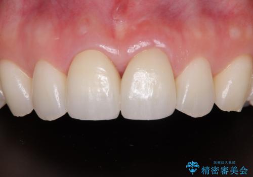
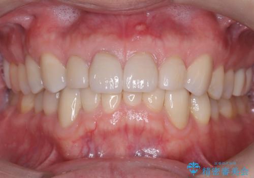
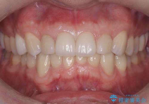
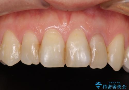
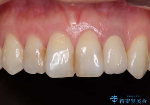
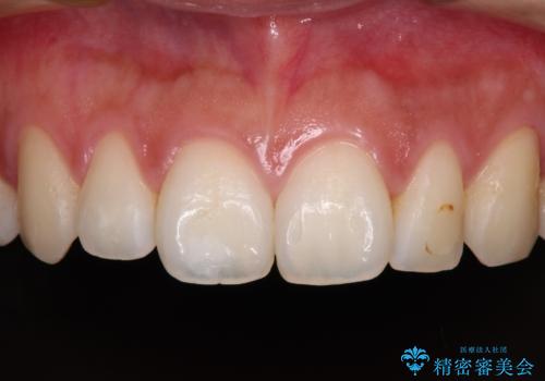
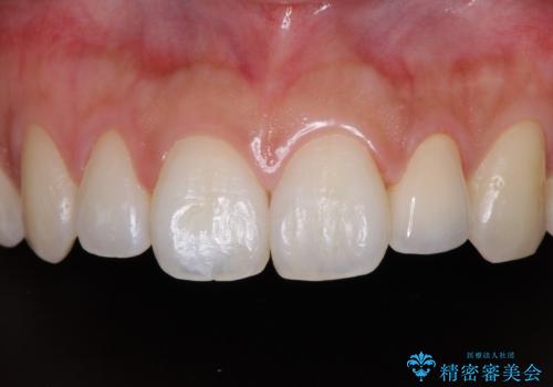
保険診療の黄ばんできた前歯をオールセラミッククラウンで自然な歯に


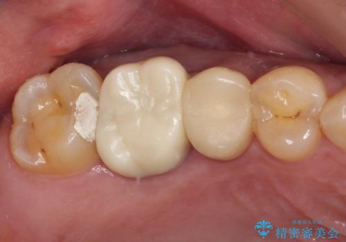
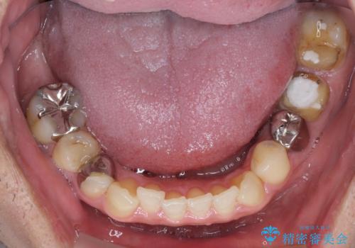
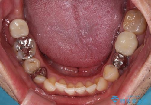
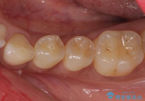
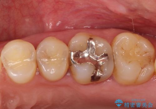
目立つ銀歯と欠けてしまった詰め物 オールセラミッククラウンでの補綴治療


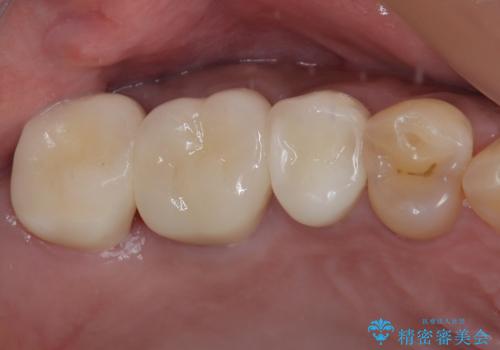
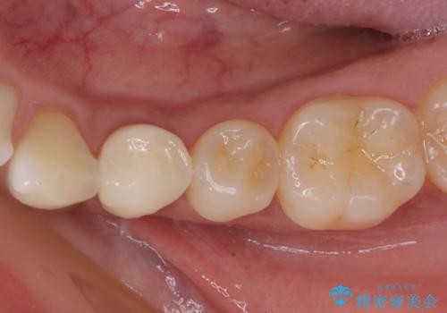
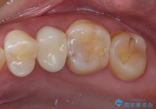
不快感の強い奥歯 オールセラミッククラウンでのむし歯治療


【セラミッククラウン】他院で治療したセラミッククラウンをやりかえたい


欠損と治療途中の奥歯 インプラント治療と補綴治療


根元がうずく前歯 根管治療とオールセラミック治療


痛みでうずく 根管治療と補綴治療


樋状根(といじょうこん)の根管治療
担当医 河口智英


【根管治療・オールセラミッククラウン】何もしなくても歯が痛い 咬むと更に痛い


上下の歯が接触するだけで痛い 根管治療とオールセラミック治療


【オールセラミック】歯がズキズキ痛い。


【精密根管治療】奥歯がズキズキ痛い。


前歯の色が気になる【オールセラミッククラウン】


【歯牙移植】親知らずを移植して、インプラントを回避。
担当医 河口智英


鼻の下を押すと痛い 前歯の根管治療とオールセラミッククラウン


根管治療の注意事項(リスク・副作用など)
- 根管治療により類似の全ての症例の問題が解決するわけではなく、症例はあくまでも一例です
- 根管治療により痛みや腫れがひかない事や、術後に痛みや腫れが生じる事、治療によるファイル破折やパーフォレーションなどの偶発症、術後の歯根破折を生じる可能性もあります
- 自費診療(保険適用外)となります
