症例・治療例紹介
Cases
インプラント治療 → 前歯インプラント
3ページ目 / 5
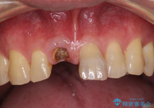
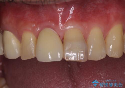
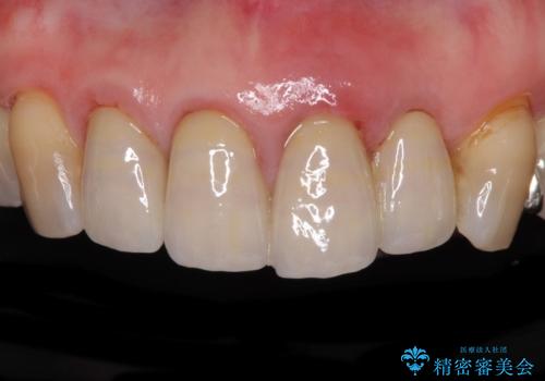
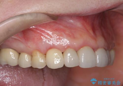
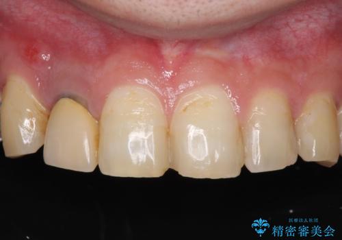
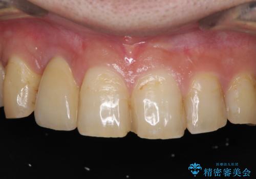
折れてしまった前歯 インプラントによる補綴治療


吸収した骨の再生 前歯部インプラント治療


インプラントを用いた歯周病全顎治療
担当医 大元洋佑


折れてしまった前歯 インプラントによる補綴治療


欠損と残存乳歯 矯正治療とインプラント治療


クラウン下に再発した深い虫歯 インプラントによる機能回復


割れてしまった前歯 インプラントによる補綴治療


矯正治療とインプラント治療を同時に 総合歯科診療


インビザライン矯正とインプラント治療と 総合歯科治療


前歯 インプラントによる欠損補綴


虫歯だらけ、歯周病 崩壊した口腔の再建 フルマウスリコンストラクション


インプラント治療の注意事項(リスク・副作用など)
- 外科手術のため、術後に痛みや腫れ、違和感を伴います
- メンテナンスを怠ったり喫煙により、お口の中に大きな悪影響を及ぼすインプラント周囲炎等にかかる可能性があります
- 糖尿病、肝硬変、心臓病等の場合、インプラント治療ができない可能性があります
- 高血圧、貧血・不整脈等の場合、インプラント治療後に治癒不全を招く可能性があります
- 自費診療(保険適用外治療)となります








