症例・治療例紹介
Cases
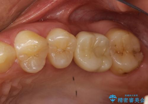
インプラント治療 → 奥歯インプラント
24ページ目 / 36
奥歯が割れてしまった! → インプラントによるかみ合わせの回復


歯がわれた 抜歯してインプラント 50代男性


どんなに歯を磨いても治らない 重度歯周病患者の治療
担当医 藤巻太一朗


困ったことが多すぎて困っている 全顎治療による咬合回復


骨が薄い部位への骨造成をともなうインプラント


重度に吸収した歯槽骨を再建 インプラント咬合機能回復


やせた下顎へのインプラントはショートインプラントで咬合回復


左下奥歯 折れて抜歯 インプラントへ


インプラント周囲の歯肉移植~最終的なセラミックを入れるまで


しっかり噛める奥歯。インプラント治療


憧れの真っ白な歯に!! 全顎虫歯治療


40代男性 総合歯科治療 矯正治療+虫歯治療


ぐらぐらの奥歯 インプラントでしっかりと咬めるように


インプラント治療の注意事項(リスク・副作用など)
- 外科手術のため、術後に痛みや腫れ、違和感を伴います
- メンテナンスを怠ったり喫煙により、お口の中に大きな悪影響を及ぼすインプラント周囲炎等にかかる可能性があります
- 糖尿病、肝硬変、心臓病等の場合、インプラント治療ができない可能性があります
- 高血圧、貧血・不整脈等の場合、インプラント治療後に治癒不全を招く可能性があります
- 自費診療(保険適用外治療)となります




