症例・治療例紹介
Cases
インプラント治療 → 奥歯インプラント
23ページ目 / 36
見えない歯周病 長期予後を見据えてインプラントに


奥歯がない インプラント治療でかみあわせを回復


薄い骨にもインプラントを スプリットクレスト+ショートインプラントの応用


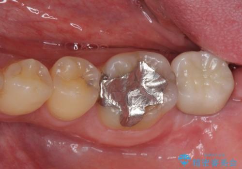
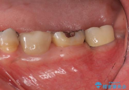
深い虫歯により抜歯となった奥歯 インプラント治療でかみ合わせを回復する


他院で中途半端に終わってしまったインプラント治療


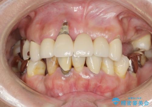
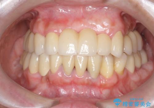
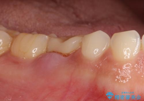
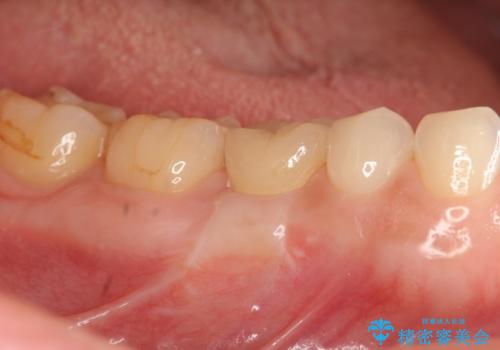
[20代男性] インプラント 失った歯の治療
![[20代男性] インプラント 失った歯の治療の症例 治療前](https://seimitsushinbi.jp/wp/wp-content/uploads/2019/11/IMG_0002-6-500x350.jpg?v=1574736384)
![[20代男性] インプラント 失った歯の治療の症例 治療後](https://seimitsushinbi.jp/wp/wp-content/uploads/2019/11/IMG_9922-1-500x350.jpg?v=1574736466)
割れてしまった奥歯 インプラントによる咬合回復


小臼歯部のインプラント


歯の破折による抜歯 インプラントによる咬合機能回復


奥歯が虫歯だらけ セラミックやインプラントによる虫歯治療


もはや別人 口元の印象がその人の印象をかえる
担当医 藤巻太一朗


歯周病 全顎治療


残せなくなってしまった乳歯 インプラントによる補綴


インプラント治療の注意事項(リスク・副作用など)
- 外科手術のため、術後に痛みや腫れ、違和感を伴います
- メンテナンスを怠ったり喫煙により、お口の中に大きな悪影響を及ぼすインプラント周囲炎等にかかる可能性があります
- 糖尿病、肝硬変、心臓病等の場合、インプラント治療ができない可能性があります
- 高血圧、貧血・不整脈等の場合、インプラント治療後に治癒不全を招く可能性があります
- 自費診療(保険適用外治療)となります




