症例・治療例紹介
Cases
インプラント治療 → 奥歯インプラント
20ページ目 / 36
[歯の破折] インプラント埋入を行うための大規模骨造成
![[歯の破折] インプラント埋入を行うための大規模骨造成の症例 治療前](https://seimitsushinbi.jp/wp/wp-content/uploads/2020/11/073ce5e06775df372887a513b05b34d0-500x350.jpg?v=1606392481)
![[歯の破折] インプラント埋入を行うための大規模骨造成の症例 治療後](https://seimitsushinbi.jp/wp/wp-content/uploads/2020/11/7e00d9287463e80cbc3d4b87784b3d86-500x350.jpg?v=1606392566)
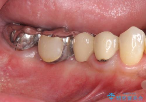
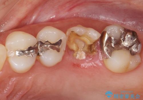
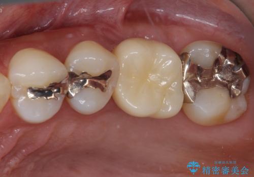
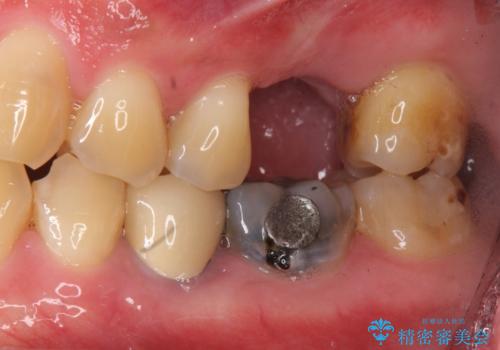
銀歯だらけの口の中を改善したい


インプラント 抜歯になった奥歯の治療


折れてしまった奥歯 インプラントによる補綴治療


抜歯になった虫歯 奥歯のインプラント治療


保存不可能な歯を抜歯してインプラント治療


上の奥歯のインプラント、全体的な虫歯治療


インプラント 抜歯になってしまった歯の補綴


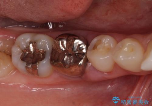
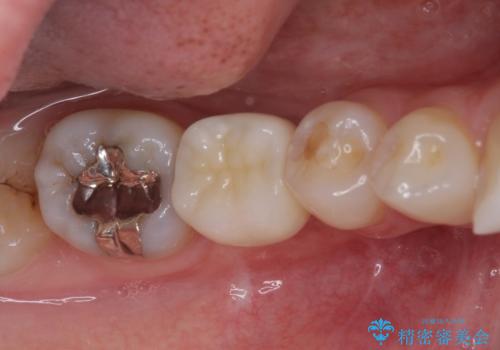
[ 上顎多数歯欠損 ] インプラント・義歯を用いた補綴
![[ 上顎多数歯欠損 ] インプラント・義歯を用いた補綴の症例 治療前](https://seimitsushinbi.jp/wp/wp-content/uploads/2020/09/df191d89bffff661c1e5377feed6ed49-500x350.jpg?v=1600566138)
![[ 上顎多数歯欠損 ] インプラント・義歯を用いた補綴の症例 治療後](https://seimitsushinbi.jp/wp/wp-content/uploads/2020/09/8be5dd778f94eb578b5490a0ba817f10-1-500x350.jpg?v=1600566164)
失った歯のインプラントでの咬合回復


奥歯のインプラント ソケットリフト 60代男性


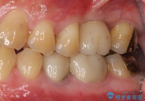
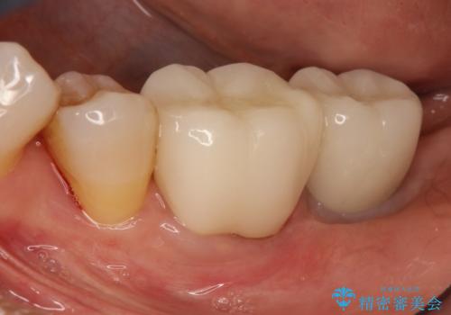
[入れ歯にしたくない] 臼歯部インプラント補綴
![[入れ歯にしたくない] 臼歯部インプラント補綴の症例 治療前](https://seimitsushinbi.jp/wp/wp-content/uploads/2020/08/c89f15414a41670fa9cbc5562a5283a4-500x350.jpg?v=1598091726)
![[入れ歯にしたくない] 臼歯部インプラント補綴の症例 治療後](https://seimitsushinbi.jp/wp/wp-content/uploads/2020/08/40203d8ec807f80162ba528bc60fcc0b-500x350.jpg?v=1598091744)
インプラントを用いた臼歯部欠損補綴


インプラント治療の注意事項(リスク・副作用など)
- 外科手術のため、術後に痛みや腫れ、違和感を伴います
- メンテナンスを怠ったり喫煙により、お口の中に大きな悪影響を及ぼすインプラント周囲炎等にかかる可能性があります
- 糖尿病、肝硬変、心臓病等の場合、インプラント治療ができない可能性があります
- 高血圧、貧血・不整脈等の場合、インプラント治療後に治癒不全を招く可能性があります
- 自費診療(保険適用外治療)となります




