症例・治療例紹介
Cases
インプラント治療 → ソケットリフト
2ページ目 / 5
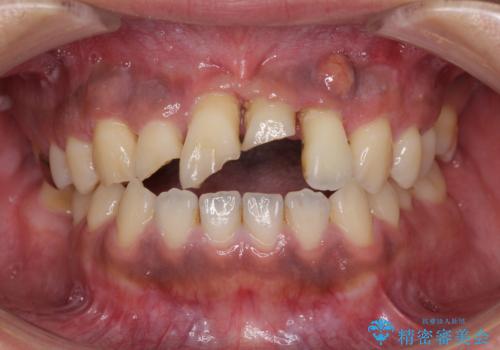
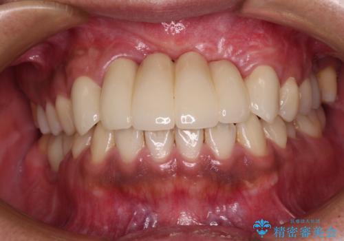
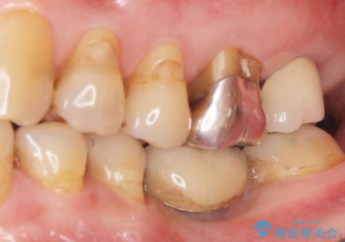
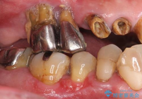
[ 臼歯部インプラント治療 ]ボロボロになった歯を治療したい
![[ 臼歯部インプラント治療 ]ボロボロになった歯を治療したいの症例 治療前](https://seimitsushinbi.jp/wp/wp-content/uploads/2022/05/9a03b3d2829719a5941e0da7ab0008ec-500x350.jpg?v=1653278074)
![[ 臼歯部インプラント治療 ]ボロボロになった歯を治療したいの症例 治療後](https://seimitsushinbi.jp/wp/wp-content/uploads/2022/05/c9b3ff0636dc9ea7f888210d13d670bc-500x350.jpg?v=1653278096)
事故で抜歯となった前歯 ブリッジやインプラントによる補綴治療


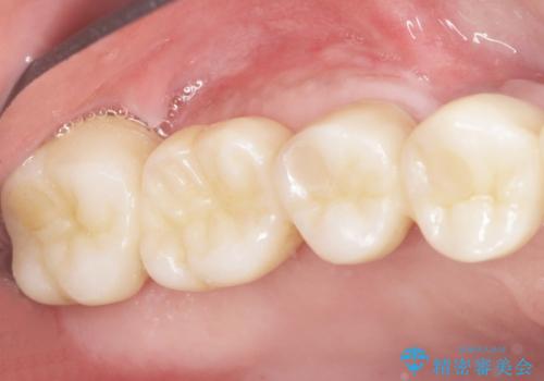
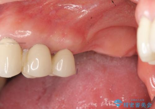
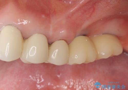
ソケットリフト 骨が薄い上の奥歯のインプラント 50代男性


[ セラミック・インプラント全顎治療 ] 長年悩まされている歯の治療にケリをつけたい
![[ セラミック・インプラント全顎治療 ] 長年悩まされている歯の治療にケリをつけたいの症例 治療前](https://seimitsushinbi.jp/wp/wp-content/uploads/2022/01/699ba08b6e311b07f9d2ea9a5b757aea-500x350.jpg?v=1642042101)
![[ セラミック・インプラント全顎治療 ] 長年悩まされている歯の治療にケリをつけたいの症例 治療後](https://seimitsushinbi.jp/wp/wp-content/uploads/2022/01/f4f9ee9ff7018c558de74748d97a4667-500x350.jpg?v=1642042445)
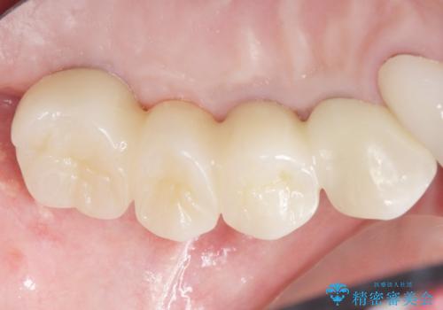
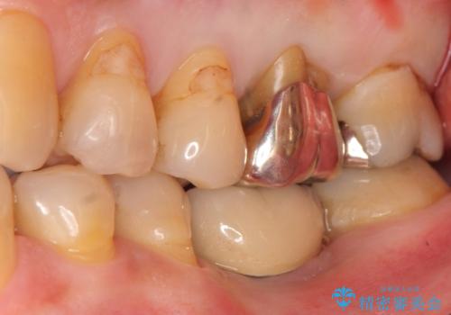
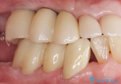
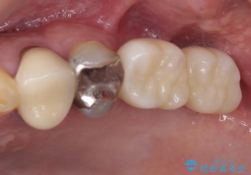
[ インプラント治療 ]失った奥歯を回復したい
![[ インプラント治療 ]失った奥歯を回復したいの症例 治療前](https://seimitsushinbi.jp/wp/wp-content/uploads/2021/11/036b501e44e72b51304eaa0dd62d1613-500x350.jpg?v=1637928855)
![[ インプラント治療 ]失った奥歯を回復したいの症例 治療後](https://seimitsushinbi.jp/wp/wp-content/uploads/2021/11/7d51b0ec04f819febabdd26c9bfb7954-500x350.jpg?v=1637928867)
インプラント治療・セラミック治療を含む 全顎的虫歯治療
担当医 大元洋佑


歯肉移植(FGG)による角化歯肉の獲得で長持ちするインプラントへ 50代男性


骨が薄く難しい上の奥歯のインプラント 50代男性


[ 重度歯周病 ] インプラント・義歯による咬合再構築
![[ 重度歯周病 ] インプラント・義歯による咬合再構築の症例 治療前](https://seimitsushinbi.jp/wp/wp-content/uploads/2021/07/0a652e75d5f31b51f66fbb3c46093249-500x350.jpg?v=1626759388)
![[ 重度歯周病 ] インプラント・義歯による咬合再構築の症例 治療後](https://seimitsushinbi.jp/wp/wp-content/uploads/2021/07/4c6838854beaf5801dbc7fde26492d6c-500x350.jpg?v=1626759531)
遊離端ブリッジ インプラント補綴への設計変更


他院でインプラントできないと言われた 上顎洞底挙上術を併用したインプラント 50代男性


奥歯がわれている ソケットリフトを併用した奥歯のインプラント 60代男性


歯がぐらぐら 上顎洞底挙上術を併用した奥歯のインプラント 50代男性


痛くて噛めない インプラントで全て治療したい
担当医 大元洋佑


折れてしまった奥歯 インプラントによる補綴治療


インプラント治療の注意事項(リスク・副作用など)
- 外科手術のため、術後に痛みや腫れ、違和感を伴います
- メンテナンスを怠ったり喫煙により、お口の中に大きな悪影響を及ぼすインプラント周囲炎等にかかる可能性があります
- 糖尿病、肝硬変、心臓病等の場合、インプラント治療ができない可能性があります
- 高血圧、貧血・不整脈等の場合、インプラント治療後に治癒不全を招く可能性があります
- 自費診療(保険適用外治療)となります
