症例・治療例紹介
Cases
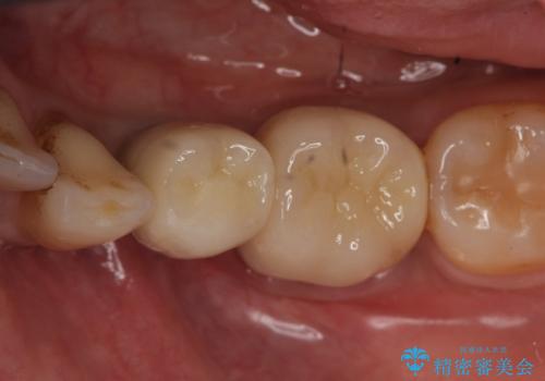
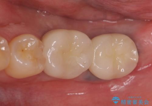
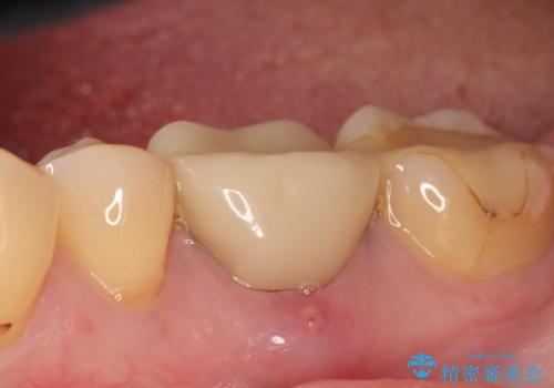
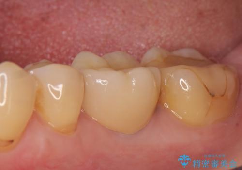
インプラント治療 → 奥歯インプラント
19ページ目 / 36
初めてのインプラント 手術は怖いので、寝ている間に終わりたい


インプラント 左下奥歯の咬み合わせの改善


歯周病で抜歯に 奥歯のインプラント治療


インプラント 失った奥歯の欠損補綴


インプラント 失ってしまった奥歯の再建


奥歯が割れてしまった インプラントでかめるように 全体的な治療も


インプラント 咬めない奥歯の治療


隙間が気になる。審美性の高いインプラント治療


インプラント 割れてしまった歯の治療


痛くて噛めない インプラントで全て治療したい
担当医 大元洋佑


インプラント治療の注意事項(リスク・副作用など)
- 外科手術のため、術後に痛みや腫れ、違和感を伴います
- メンテナンスを怠ったり喫煙により、お口の中に大きな悪影響を及ぼすインプラント周囲炎等にかかる可能性があります
- 糖尿病、肝硬変、心臓病等の場合、インプラント治療ができない可能性があります
- 高血圧、貧血・不整脈等の場合、インプラント治療後に治癒不全を招く可能性があります
- 自費診療(保険適用外治療)となります










