症例・治療例紹介
Cases
インプラント治療 → 奥歯インプラント
18ページ目 / 36
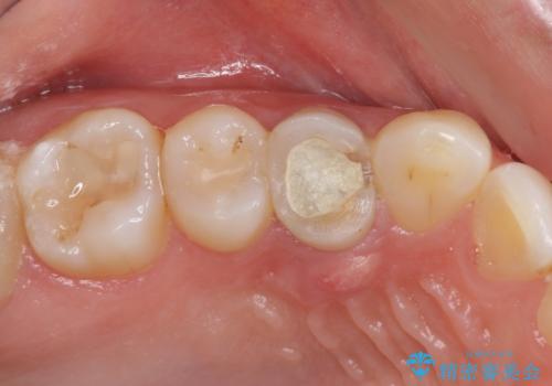
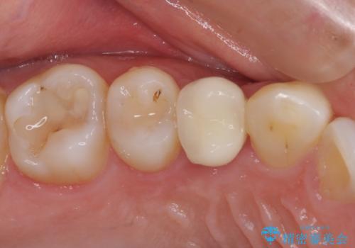
深い虫歯の歯を抜歯 目立つ小臼歯のインプラント治療


インプラントによる補綴治療とインビザライン矯正


インプラント治療で達成するしっかりと食事できる噛み合わせ


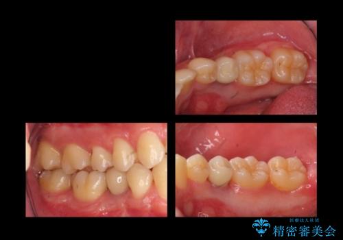
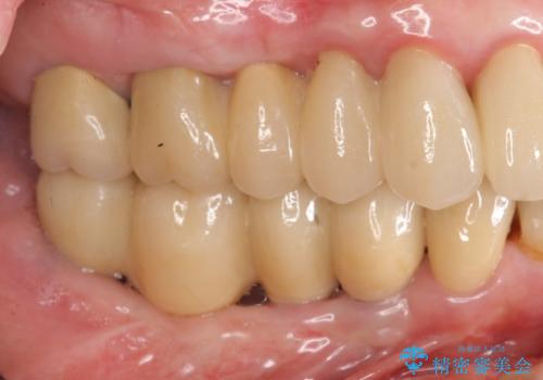
右下の奥歯を抜歯 インプラント治療による咬合回復


20代男性 奥歯のインプラント 自分の骨を移植


すきっ歯・出っ歯が気になる インビザライン矯正 乳歯をインプラントに


重度の虫歯 インプラント治療


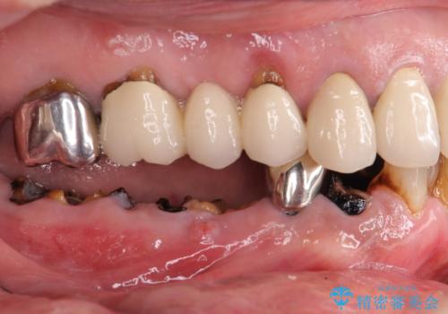
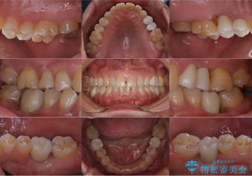
気になる部分を全て治療 総合歯科治療で口腔内環境改善
担当医 藤巻太一朗


歯列不正と歯周病 総合歯科治療による全顎治療
担当医 藤巻太一朗


短期間で集中的に全顎治療


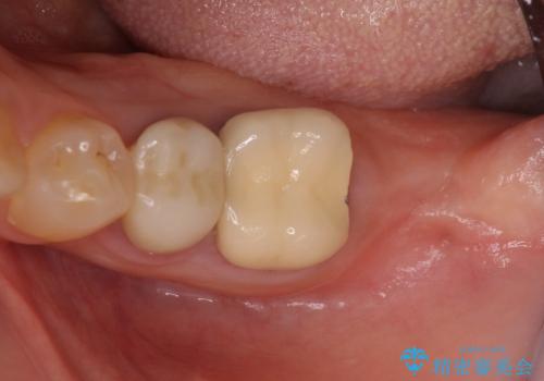
割れてしまった小臼歯 インプラントによる補綴治療


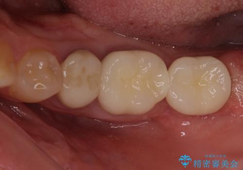
痛みを感じる奥歯 根管治療とインプラント治療


歯周病改善のための総合歯科治療
担当医 藤巻太一朗


インプラント治療の注意事項(リスク・副作用など)
- 外科手術のため、術後に痛みや腫れ、違和感を伴います
- メンテナンスを怠ったり喫煙により、お口の中に大きな悪影響を及ぼすインプラント周囲炎等にかかる可能性があります
- 糖尿病、肝硬変、心臓病等の場合、インプラント治療ができない可能性があります
- 高血圧、貧血・不整脈等の場合、インプラント治療後に治癒不全を招く可能性があります
- 自費診療(保険適用外治療)となります




