症例・治療例紹介
Cases
インプラント治療 → 奥歯インプラント
16ページ目 / 36
インプラント治療による咬合機能回復


長いブリッジをインプラント補綴への変更


奥歯が割れている 抜歯してインプラントへ 40代女性


奥歯のインプラント治療


歯並びや奥歯の痛み 色々と治したい 総合歯科診療
担当医 藤巻太一朗


歯に穴を開けられてしまった インプラントによる奥歯の補綴治療


口元の突出感を治したい 治療中の歯も治したい


インプラント治療・セラミック治療を含む 全顎的虫歯治療
担当医 大元洋佑


抜歯が必要な左右の奥歯 ブリッジとインプラントによる奥歯の補綴治療


前歯のクロスバイトと抜歯が必要な奥歯の虫歯 インビザラインとインプラント治療


骨が薄く難しい上の奥歯のインプラント 50代男性


歯がぐらぐらで咬めない 奥歯のインプラント 50代男性


歯がないまま放置していた 奥歯のインプラント 50代男性


インプラント治療の注意事項(リスク・副作用など)
- 外科手術のため、術後に痛みや腫れ、違和感を伴います
- メンテナンスを怠ったり喫煙により、お口の中に大きな悪影響を及ぼすインプラント周囲炎等にかかる可能性があります
- 糖尿病、肝硬変、心臓病等の場合、インプラント治療ができない可能性があります
- 高血圧、貧血・不整脈等の場合、インプラント治療後に治癒不全を招く可能性があります
- 自費診療(保険適用外治療)となります

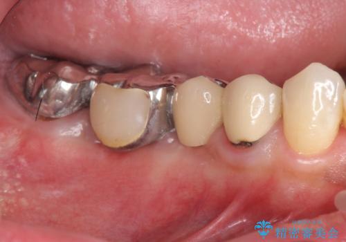
![[ 欠損補綴 ] ブリッジとインプラントの症例 治療前](https://seimitsushinbi.jp/wp/wp-content/uploads/2021/10/d680d397e015686572db595995781e12-500x350.jpg?v=1634192539)
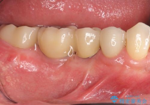
![[ 欠損補綴 ] ブリッジとインプラントの症例 治療後](https://seimitsushinbi.jp/wp/wp-content/uploads/2021/10/82c7cc111177152f4f990e0f169487f7-500x350.jpg?v=1634192579)
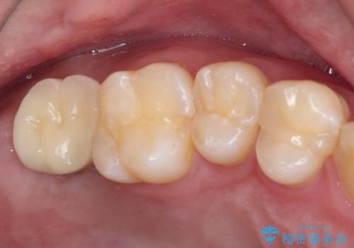
![[ インプラント治療 ] 失った歯の咬合機能回復の症例 治療前](https://seimitsushinbi.jp/wp/wp-content/uploads/2021/10/95af7ce4671c78462bbd81e0efc3a797-500x350.jpg?v=1633831170)
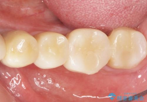
![[ インプラント治療 ] 失った歯の咬合機能回復の症例 治療後](https://seimitsushinbi.jp/wp/wp-content/uploads/2021/10/fe5fea403b732315c4e872d18c0f3029-500x350.jpg?v=1633831201)