症例・治療例紹介
Cases
インプラント治療 → 奥歯インプラント
14ページ目 / 36
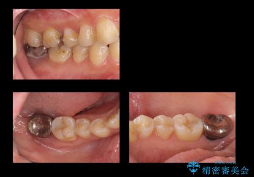
[ 歯周病による多数歯の欠損 ] 全顎的インプラント・歯周病治療
担当医 大元洋佑
![[ 歯周病による多数歯の欠損 ] 全顎的インプラント・歯周病治療の症例 治療前](https://seimitsushinbi.jp/wp/wp-content/uploads/2022/06/740883583879a0822e9bd95ed27b74e6-500x350.jpg?v=1654154479)
![[ 歯周病による多数歯の欠損 ] 全顎的インプラント・歯周病治療の症例 治療後](https://seimitsushinbi.jp/wp/wp-content/uploads/2022/06/18521d85f6e9e57a2f920c41423bc5b8-500x350.jpg?v=1654154185)
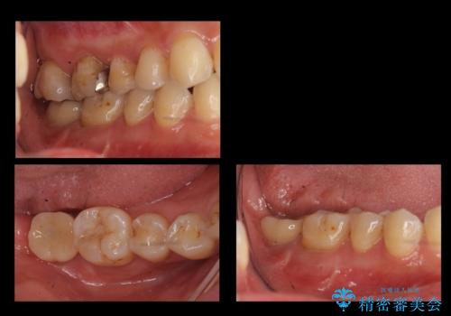
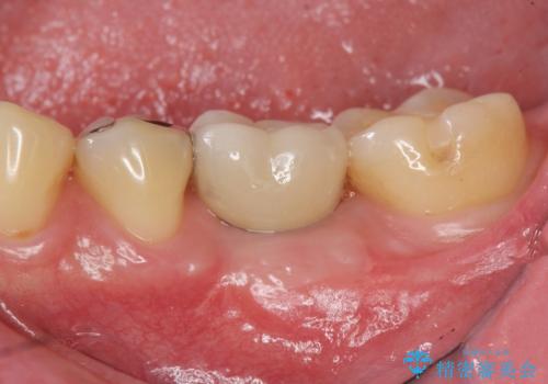
[ 臼歯部インプラント治療 ]ボロボロになった歯を治療したい
![[ 臼歯部インプラント治療 ]ボロボロになった歯を治療したいの症例 治療前](https://seimitsushinbi.jp/wp/wp-content/uploads/2022/05/9a03b3d2829719a5941e0da7ab0008ec-500x350.jpg?v=1653278074)
![[ 臼歯部インプラント治療 ]ボロボロになった歯を治療したいの症例 治療後](https://seimitsushinbi.jp/wp/wp-content/uploads/2022/05/c9b3ff0636dc9ea7f888210d13d670bc-500x350.jpg?v=1653278096)
事故で抜歯となった前歯 ブリッジやインプラントによる補綴治療


骨の造成を同時に行うインプラント治療


[ インプラントオーバーデンチャー ] インプラント+入れ歯・ブリッジで作るしっかりとした咬合状態
![[ インプラントオーバーデンチャー ] インプラント+入れ歯・ブリッジで作るしっかりとした咬合状態の症例 治療前](https://seimitsushinbi.jp/wp/wp-content/uploads/2022/04/0a652e75d5f31b51f66fbb3c46093249-500x350.jpg?v=1650443463)
![[ インプラントオーバーデンチャー ] インプラント+入れ歯・ブリッジで作るしっかりとした咬合状態の症例 治療後](https://seimitsushinbi.jp/wp/wp-content/uploads/2022/04/4c6838854beaf5801dbc7fde26492d6c-500x350.jpg?v=1650443495)
銀歯や入れ歯で汚い歯をきれいにしたい 総合歯科治療
担当医 藤巻太一朗


多発した虫歯による咬合崩壊 インプラントを用いた全顎治療
担当医 大元洋佑


インプラント治療で達成する奥歯のしっかりとした咬合


奥歯の歯ぐきからウミが出る 抜歯してインプラントへ


[ セラミック・インプラント全顎治療 ] 長年悩まされている歯の治療にケリをつけたい
![[ セラミック・インプラント全顎治療 ] 長年悩まされている歯の治療にケリをつけたいの症例 治療前](https://seimitsushinbi.jp/wp/wp-content/uploads/2022/01/699ba08b6e311b07f9d2ea9a5b757aea-500x350.jpg?v=1642042101)
![[ セラミック・インプラント全顎治療 ] 長年悩まされている歯の治療にケリをつけたいの症例 治療後](https://seimitsushinbi.jp/wp/wp-content/uploads/2022/01/f4f9ee9ff7018c558de74748d97a4667-500x350.jpg?v=1642042445)
抜歯が必要な奥歯 ストローマン・インプラント補綴治療


むし歯だらけの歯を治したい インプラントを用いた補綴治療


インプラント治療の注意事項(リスク・副作用など)
- 外科手術のため、術後に痛みや腫れ、違和感を伴います
- メンテナンスを怠ったり喫煙により、お口の中に大きな悪影響を及ぼすインプラント周囲炎等にかかる可能性があります
- 糖尿病、肝硬変、心臓病等の場合、インプラント治療ができない可能性があります
- 高血圧、貧血・不整脈等の場合、インプラント治療後に治癒不全を招く可能性があります
- 自費診療(保険適用外治療)となります

![[ 2次カリエス ]クラウンのグラつき クラウン下の虫歯再発の症例 治療前](https://seimitsushinbi.jp/wp/wp-content/uploads/2022/06/4ae3379503827b239da023fb595493f5-500x350.jpg?v=1655105440)
![[ 2次カリエス ]クラウンのグラつき クラウン下の虫歯再発の症例 治療後](https://seimitsushinbi.jp/wp/wp-content/uploads/2022/06/6554e5a0ec335a2529564005c968f18a-500x350.jpg?v=1655105463)



