症例・治療例紹介
Cases
セラミック治療 → 奥歯ブリッジ
7ページ目 / 21
気になる所を一気に治療 総合歯科治療


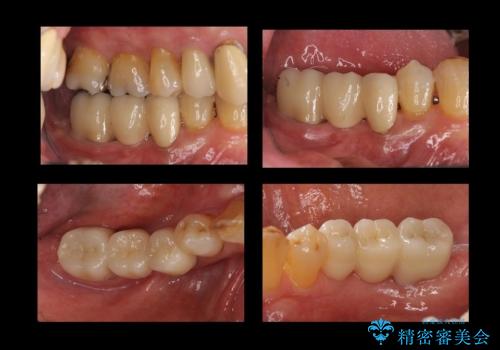
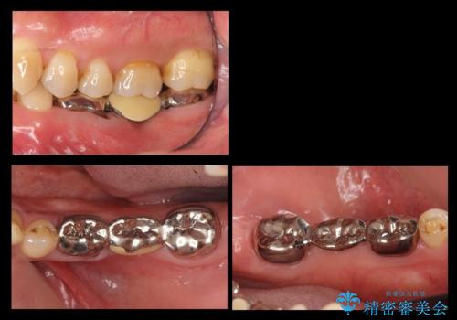
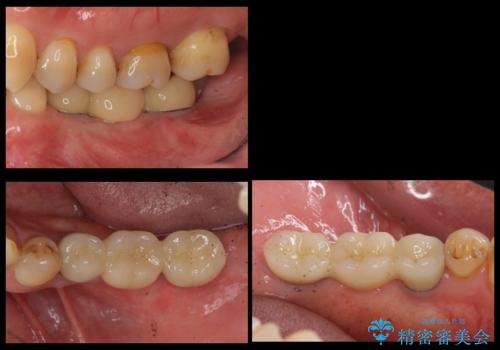
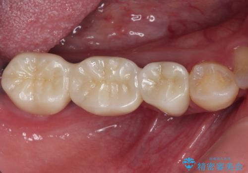
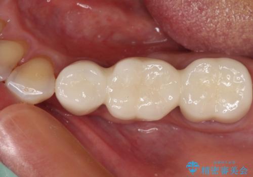
むし歯だらけの奥歯 セラミッククラウンによるむし歯治療


多発した虫歯による咬合崩壊 インプラントを用いた全顎治療
担当医 大元洋佑


60代男性 奥歯のブリッジ 倒れこんでいる奥歯を部分矯正


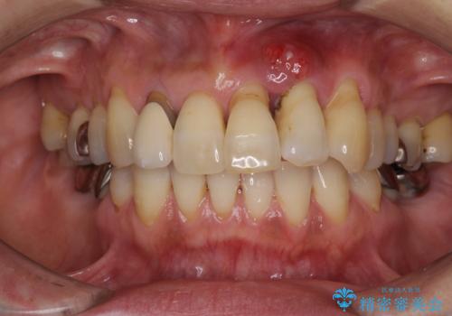
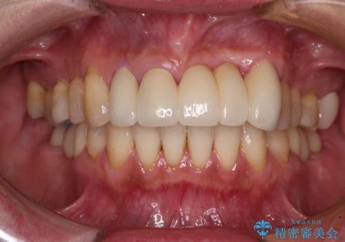
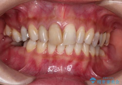
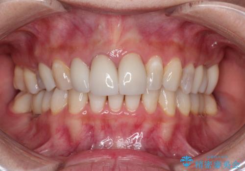
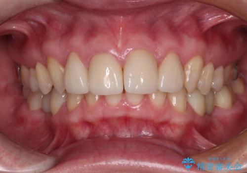
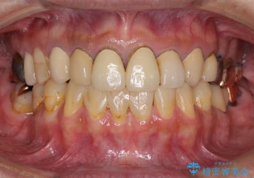
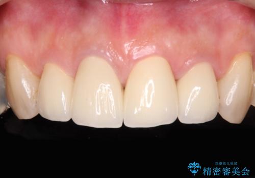
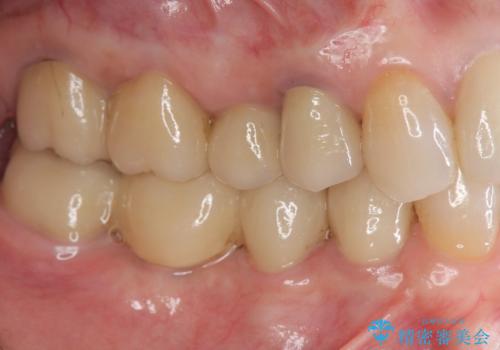
[ セラミック・インプラント全顎治療 ] 長年悩まされている歯の治療にケリをつけたい
![[ セラミック・インプラント全顎治療 ] 長年悩まされている歯の治療にケリをつけたいの症例 治療前](https://seimitsushinbi.jp/wp/wp-content/uploads/2022/01/699ba08b6e311b07f9d2ea9a5b757aea-500x350.jpg?v=1642042101)
![[ セラミック・インプラント全顎治療 ] 長年悩まされている歯の治療にケリをつけたいの症例 治療後](https://seimitsushinbi.jp/wp/wp-content/uploads/2022/01/f4f9ee9ff7018c558de74748d97a4667-500x350.jpg?v=1642042445)
歯並びの改善とインプラントでのかみ合わせの回復 インプラント・セラミック・矯正全顎治療


割れてしまった奥歯をインプラントで 気になる銀歯もセラミッククラウンで審美的に


下顎の部分矯正を行ってから奥歯の補綴治療とインプラント治療
担当医 藤巻太一朗


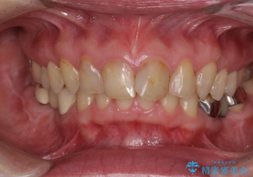
痛む奥歯と見栄えの悪い前歯 オールセラミックによる補綴治療


臼歯部インプラント・再補綴


臼歯部メタルフリー再補綴


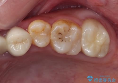
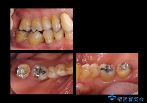
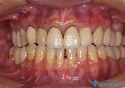
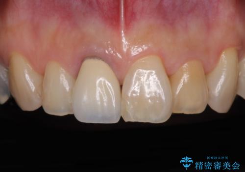
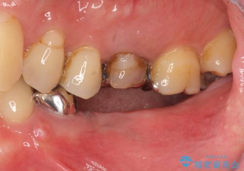
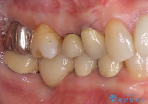
[ インプラント治療 ]失った奥歯を回復したい
![[ インプラント治療 ]失った奥歯を回復したいの症例 治療前](https://seimitsushinbi.jp/wp/wp-content/uploads/2021/11/036b501e44e72b51304eaa0dd62d1613-500x350.jpg?v=1637928855)
![[ インプラント治療 ]失った奥歯を回復したいの症例 治療後](https://seimitsushinbi.jp/wp/wp-content/uploads/2021/11/7d51b0ec04f819febabdd26c9bfb7954-500x350.jpg?v=1637928867)
セラミック治療の注意事項(リスク・副作用など)
- 天然歯を削ります
- 硬い素材は天然歯を傷つけてしまう場合があります
- かみ合わせや歯ぎしりが強すぎる方はセラミックが割れてしまう可能性があります
- 自費診療(保険適用外治療)となります






