症例詳細
Case detail
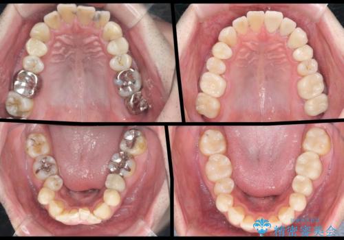
臼歯部メタルフリー再補綴
治療症例の内容
- 診療科目
- 治療カテゴリ
- 担当医
- 大元洋佑(ドクタープロフィール)
- 患者様
- 50代女性
- 治療期間
- 8ヶ月
- 治療回数
- 2-5回
- 治療計画
- 治療してからの年月が経過し、かみにくくなったブリッジ・クラウンを全てやりかえたいと希望され来院されました。
クラウン・ブリッジを作り替えるにあたり虫歯の徹底的な除去・根管治療のやり直しを行い今後やり直しをしなくて済むような環境を整えていきます。
- 費用(概算)
- 110万円(仮歯×8・ファイバーコア×6・ジルコニアクラウン×8)費用は治療当時の料金となります
治療について
装着して長期間経過したブリッジやクラウンは隙間から細菌が侵入し虫歯が再発してしまっていることがあります。
長期的に問題のないブリッジ・クラウンを作製するため、虫歯をしっかりと除去すること精密な根管治療を行うことが肝要です。
セラミック治療の注意事項(リスク・副作用など)
- 天然歯を削ります
- 硬い素材は天然歯を傷つけてしまう場合があります
- かみ合わせや歯ぎしりが強すぎる方はセラミックが割れてしまう可能性があります
- 自費診療(保険適用外治療)となります
当サイトの内容、テキスト、画像等の無断転載、複製、複写、盗用を固く禁じます。















