症例・治療例紹介
Cases
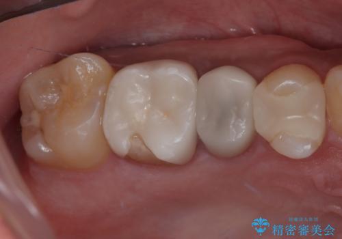
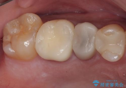
セラミック治療 → 奥歯クラウン(オールセラミック)
6ページ目 / 84
見落としやすい虫歯(コンタクトカリエス)を発見|精密診断で早期治療
担当医 河口智英


他院で治らなかった根管治療を精密治療で改善|MB2を発見し再治療


虫歯治療|歯を長持ちさせるための治療|セラミッククラウン|審美回復|精密根管治療


左上7のメタルインレーを除去|セラミッククラウンで自然な美しさと機能回復
担当医 河口智英


目立つ銀歯を白くしたい。オールセラミッククラウンによる補綴治療
担当医 齋藤佑磨


手術が怖くて抜いたままの奥歯に歯を 1DAYインプラント治療


噛むと痛い 奥歯のむし歯治療


う蝕除去中に露髄 フルジルコニアクラウン
担当医 小澤俊哉


銀歯を白くしたい セラミック治療
担当医 大元洋佑


虫歯だらけの歯を治療したい


歯ブラシのしやすい環境を整えるインプラント治療


上下前歯のデコボコ ワイヤー装置で楽ちん矯正治療


セラミックが欠けた オールセラミッククラウン
担当医 有澤哲郎


歯周ポケットの除去と再補綴治療


隠れている前歯 インビザライン矯正治療と前歯のセラミック治療


セラミック治療の注意事項(リスク・副作用など)
- 天然歯を削ります
- 硬い素材は天然歯を傷つけてしまう場合があります
- かみ合わせや歯ぎしりが強すぎる方はセラミックが割れてしまう可能性があります
- 自費診療(保険適用外治療)となります
