症例・治療例紹介
Cases
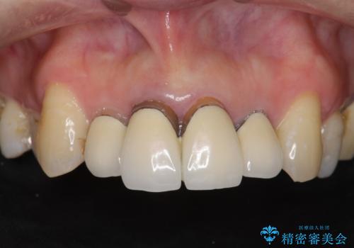
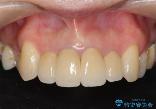
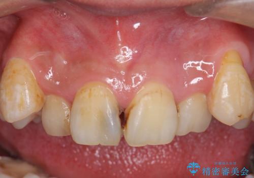
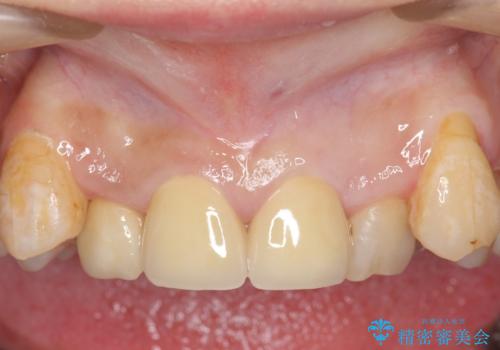
セラミック治療 → 前歯クラウン(オールセラミック)
38ページ目 / 73
前歯の隙間を閉じたい ラミネートベニアによる審美歯科治療


オールセラミッククラウン 前歯の被せ物を綺麗に


オールセラミッククラウン 被せ物の継ぎ目が気になる


オールセラミッククラウン 痛みの引かない歯の治療


20年前に被せた前歯をやりかえたい 60代女性


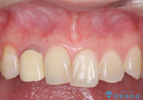
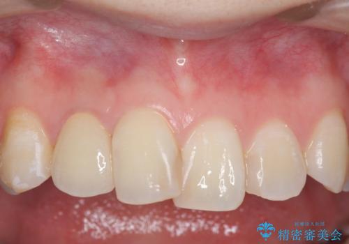
[ジルコニアクラウン治療] 笑った時に目立つ銀歯を白くしたい
![[ジルコニアクラウン治療] 笑った時に目立つ銀歯を白くしたいの症例 治療前](https://seimitsushinbi.jp/wp/wp-content/uploads/2020/07/57f6b685ec53969d2016f9c5df62fb1b-500x350.jpg?v=1595071328)
![[ジルコニアクラウン治療] 笑った時に目立つ銀歯を白くしたいの症例 治療後](https://seimitsushinbi.jp/wp/wp-content/uploads/2020/07/b5a325afedd469212bae5e25910ae923-500x350.jpg?v=1595071338)
前歯の黒ずみ セラミッククラウン改善
担当医 大元洋佑


前歯のブリッジ オールセラミッククラウン 歯根が割れてしまった歯の治療


前歯がグラグラする 他院で、もうできることがないと言われた


インビザラインにて矯正治療後の前歯のセラミッククラウン治療


前歯の審美歯科治療 オールセラミッククラウンと部分矯正


オールセラミッククラウン 長期間放置してきた前歯の虫歯治療


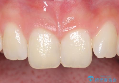
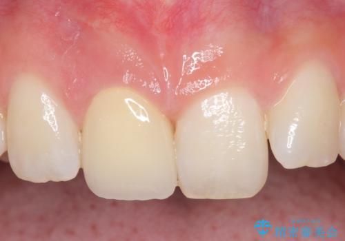
[ジルコニアクラウン] 前歯をきれいに
担当医 大元洋佑
![[ジルコニアクラウン] 前歯をきれいにの症例 治療前](https://seimitsushinbi.jp/wp/wp-content/uploads/2020/06/18e0ff5be30282bb094ab9c221c19840-500x350.jpg?v=1591843888)
![[ジルコニアクラウン] 前歯をきれいにの症例 治療後](https://seimitsushinbi.jp/wp/wp-content/uploads/2020/06/ef4d4d64f03167e361d24b9fad6e6d6e-500x350.jpg?v=1591843776)
歯並びをきれいにしたい、歯を真っ白にしたい 40代男性


奥歯がなくてかめない 入れ歯とクラウンでの全顎治療


セラミック治療の注意事項(リスク・副作用など)
- 天然歯を削ります
- 硬い素材は天然歯を傷つけてしまう場合があります
- かみ合わせや歯ぎしりが強すぎる方はセラミックが割れてしまう可能性があります
- 自費診療(保険適用外治療)となります
