症例・治療例紹介
Cases
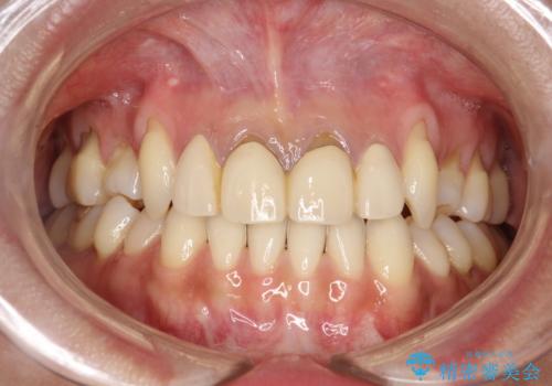
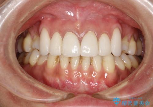
セラミック治療 → 前歯クラウン(オールセラミック)
29ページ目 / 73
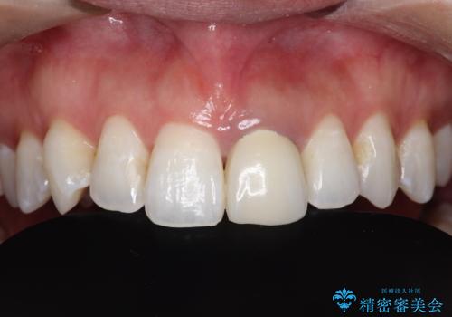
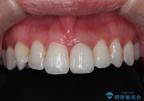
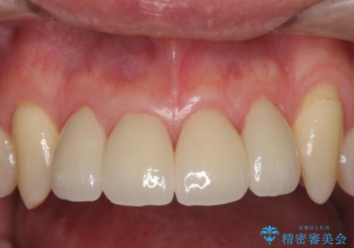
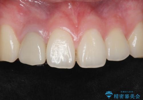
【矮小歯】オールセラミッククラウン
担当医 河口智英


喫煙を再開してインプラント周囲炎に リカバリー治療 50代男性


折れた前歯を使えるように、抜かないで残す方法


保険の被せ物をきれいにしたい オールセラミック
担当医 河野裕二


転んで前歯が欠けた 折れた前歯をきっかけに矯正治療で歯列をきれいに整える


保険治療で装着したかぶせ物のやりかえ セラミックによる自然な見た目へ


前歯のすき間 セラミックで綺麗に 最短で治療


小さい前歯を整える セラミック矯正


前歯が気になる 大人のマウスピース矯正 矮小歯を整える


老朽化した前歯のクラウンやりかえ
担当医 大元洋佑


他院で入れたセラミッククラウンの色が気に入らない 20代男性


憧れの芸能人のような白い歯に 30代男性


矮小歯 セラミッククラウンで綺麗に 30代女性


前歯のかぶせ物をオールセラミックへ 形を含めて理想の前歯へ


とにかく作り物のような真っ白な歯にしたい フルジルコニアクラウンによる補綴治療


セラミック治療の注意事項(リスク・副作用など)
- 天然歯を削ります
- 硬い素材は天然歯を傷つけてしまう場合があります
- かみ合わせや歯ぎしりが強すぎる方はセラミックが割れてしまう可能性があります
- 自費診療(保険適用外治療)となります
