症例・治療例紹介
Cases
セラミック治療 → セラミックインレー
29ページ目 / 49
気になる部分を全て治療 総合歯科治療で口腔内環境改善
担当医 藤巻太一朗


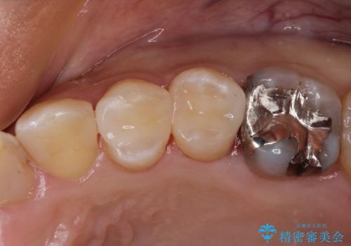
銀歯を白くしたい セラミックによる審美歯科治療


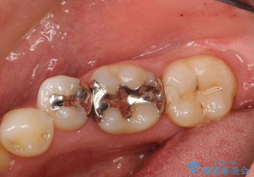
保険の被せ物を綺麗なセラミックに


金属をセラミックにしたい、根管治療も行ったケース


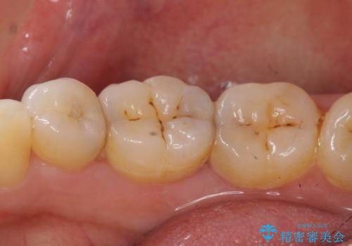
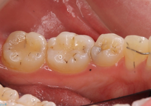
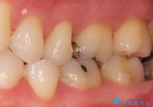
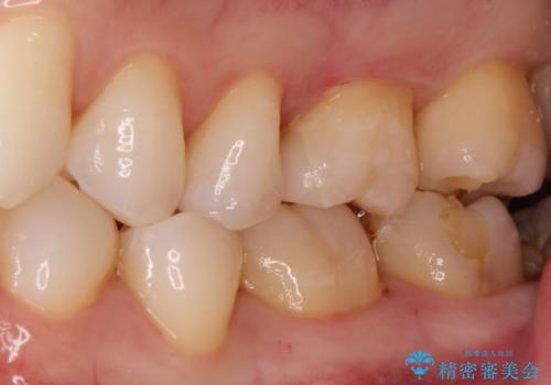
セラミックインレー 銀歯から白い歯へ


矯正の後戻りの改善と銀歯をセラミックに


オールセラミッククラウン セラミックインレー しみる奥歯の治療


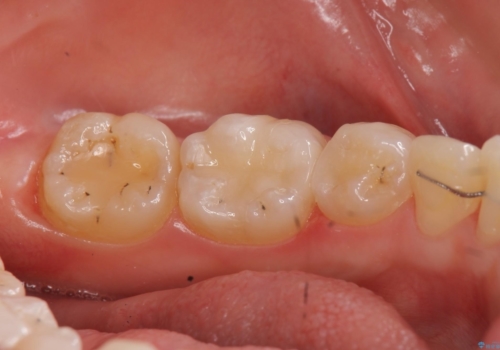
セラミックインレー しみる歯の治療


奥歯が割れてしまった インプラントでかめるように 全体的な治療も


セラミック治療の注意事項(リスク・副作用など)
- 天然歯を削ります
- 硬い素材は天然歯を傷つけてしまう場合があります
- かみ合わせや歯ぎしりが強すぎる方はセラミックが割れてしまう可能性があります
- 自費診療(保険適用外治療)となります












