症例・治療例紹介
Cases
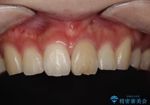
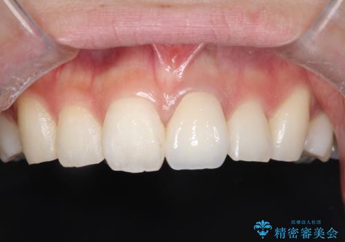
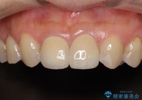
セラミック治療 → 前歯クラウン(オールセラミック)
17ページ目 / 73
【オールセラミッククラウン】前歯を白くきれいにしたい。
担当医 河口智英


虫歯治療ついでに歯並びの後戻りを改善 インビザラインによる矯正治療


放置したインプラントとインビザライン 全顎リカバリー治療


むし歯だらけの前歯をオールセラミッククラウンできれいに


前歯の変色を改善!セラミック治療
担当医 大元洋佑


【オールセラミッククラウン】歯の色が気になる
担当医 河野豊嘉


前歯をきれいにしたい インプラントや部分矯正を用いた総合歯科治療


割れてしまった奥歯とデコボコの前歯 矯正治療とインプラント治療


仮歯のまま放置した前歯 オールセラミッククラウンで自然な前歯に


前歯が欠ける
担当医 河野裕二


前歯をきれいにしたい
担当医 大元洋佑


転んで前歯を折った 歯を抜かない治療
担当医 岡田康成


欠損と虫歯だらけの口の中 真っ白なセラミック治療


つぎはぎだらけの前歯 オールセラミッククラウンで自然な歯に


セラミック治療の注意事項(リスク・副作用など)
- 天然歯を削ります
- 硬い素材は天然歯を傷つけてしまう場合があります
- かみ合わせや歯ぎしりが強すぎる方はセラミックが割れてしまう可能性があります
- 自費診療(保険適用外治療)となります


