症例・治療例紹介
Cases
セラミック治療 → 前歯クラウン(オールセラミック)
16ページ目 / 73
被せ物のやりかえ治療
担当医 青山卓弘


変色した前歯をキレイにしたい ジルコニアクラウンでの修復
担当医 岡田康成


欠けた前歯を綺麗にしたい
担当医 大元洋佑


前歯の審美障害 セラミック治療
担当医 大元洋佑


ラミネートベニヤの破折 ジルコニアクラウンによるやり替え
担当医 大元洋佑


前歯をキレイにしたい ジルコニアクラウンでの治療
担当医 岡田康成


出っ歯を部分矯正で目立たなくする セラミック治療も


【オールセラミッククラウン】前歯の色が気になる! 左右で歯の長さが違う
担当医 河野豊嘉


前歯の隙間をオールセラミッククラウンで自然に


欠損やむし歯の歯をきれいなセラミックに 全顎虫歯治療


中途半端な矯正治療と前歯の欠損 再矯正とオールセラミッククラウンによる補綴治療


前歯のデコボコとむし歯だらけの歯列 矯正治療と虫歯治療


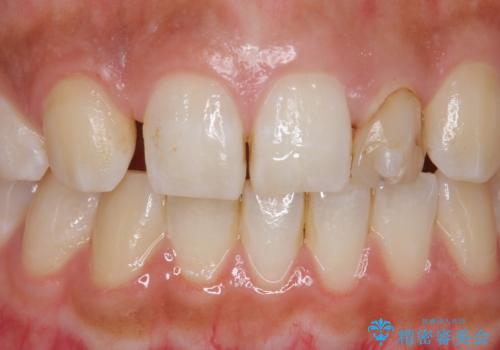
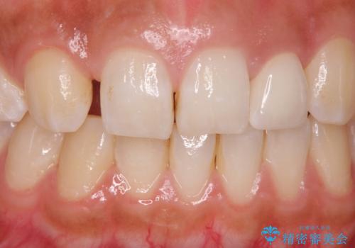
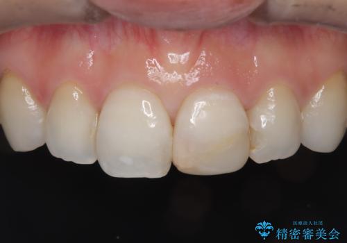
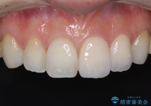
[ オールセラミック治療 ] 前歯の見た目を綺麗にしたい
担当医 大元洋佑
![[ オールセラミック治療 ] 前歯の見た目を綺麗にしたいの症例 治療前](https://seimitsushinbi.jp/wp/wp-content/uploads/2023/06/009c8603ecf43c1c3871eda9ce6b5b6d-500x350.jpg?v=1687402485)
![[ オールセラミック治療 ] 前歯の見た目を綺麗にしたいの症例 治療後](https://seimitsushinbi.jp/wp/wp-content/uploads/2023/06/4277909b78854ab422ee22f567add467-500x350.jpg?v=1687402500)
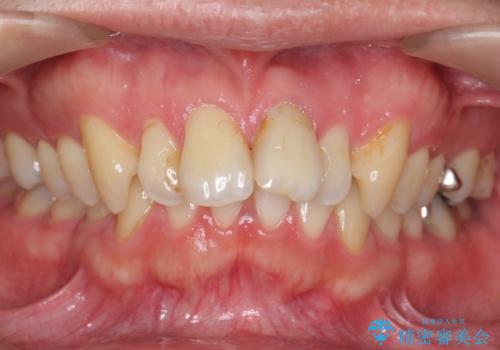
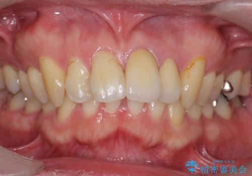
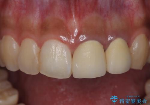
[ セラミック治療 ] 見た目の気になる前歯を綺麗にしたい
担当医 大元洋佑
![[ セラミック治療 ] 見た目の気になる前歯を綺麗にしたいの症例 治療前](https://seimitsushinbi.jp/wp/wp-content/uploads/2023/06/86ac4380ec1294c0ec7f24f559ce1e4b-500x350.jpg?v=1685867154)
![[ セラミック治療 ] 見た目の気になる前歯を綺麗にしたいの症例 治療後](https://seimitsushinbi.jp/wp/wp-content/uploads/2023/06/58259bf6f4cc6b28ef85e6a4fcd5381a-500x350.jpg?v=1685867178)
前歯の歯茎の黒ずみと被せ物の形と色が気になる【オールセラミッククラウン】
担当医 河野豊嘉


セラミック治療の注意事項(リスク・副作用など)
- 天然歯を削ります
- 硬い素材は天然歯を傷つけてしまう場合があります
- かみ合わせや歯ぎしりが強すぎる方はセラミックが割れてしまう可能性があります
- 自費診療(保険適用外治療)となります
