症例・治療例紹介
Cases
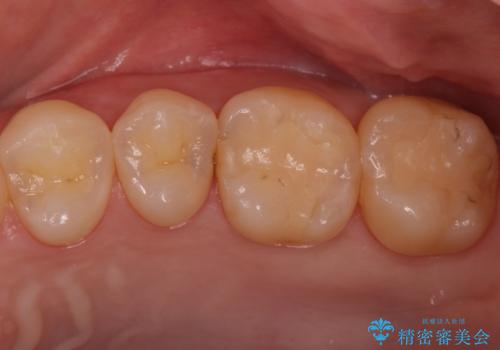
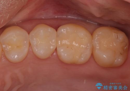
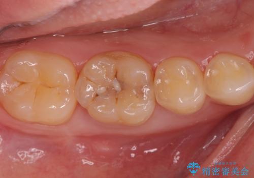
セラミック治療 → セラミックインレー
15ページ目 / 49
目立つ金属をすべてセラミックに 全顎的メタルフリー治療


むし歯と咬み合わせで奥歯に負担がかかる 総合歯科治療で悩みを改善
担当医 藤巻太一朗


欠損やむし歯の歯をきれいなセラミックに 全顎虫歯治療


【セラミッククラウン】メタルフリー治療


奥歯が欠けた セラミックインレーでの修復後、ナイトガード装着


セラミック治療の注意事項(リスク・副作用など)
- 天然歯を削ります
- 硬い素材は天然歯を傷つけてしまう場合があります
- かみ合わせや歯ぎしりが強すぎる方はセラミックが割れてしまう可能性があります
- 自費診療(保険適用外治療)となります







![[e-maxインレー] 矯正治療前の虫歯治療の症例 治療前](https://seimitsushinbi.jp/wp/wp-content/uploads/2023/08/IMG_1022-2-500x350.jpg?v=1691812242)
![[e-maxインレー] 矯正治療前の虫歯治療の症例 治療後](https://seimitsushinbi.jp/wp/wp-content/uploads/2023/08/IMG_2869-1-500x350.jpg?v=1691812292)











