症例・治療例紹介
Cases
セラミック治療 → 前歯クラウン(オールセラミック)
13ページ目 / 73
デコボコと変色した前歯 抜歯矯正と審美歯科治療


抜歯と言われた前歯 牽引してセラミッククラウンで保存する


【変色歯】コンポジットレジンからセラミックへ
担当医 河口智英


変色した歯を綺麗にしたい 根管治療からジルコニアクラウンでの修復


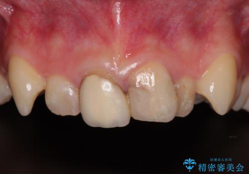
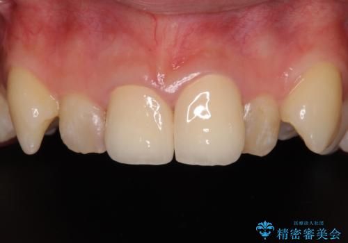
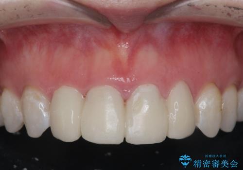
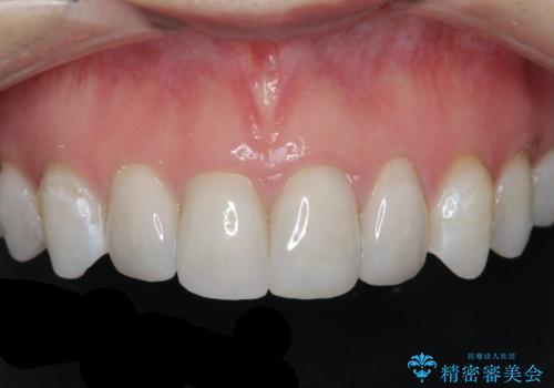
[ セラミック治療 ] 前歯の変色をきれいにしたい
担当医 大元洋佑
![[ セラミック治療 ] 前歯の変色をきれいにしたいの症例 治療前](https://seimitsushinbi.jp/wp/wp-content/uploads/2023/12/8095b301c8ea19cbf7179d372450bebf-500x350.jpg?v=1703129532)
![[ セラミック治療 ] 前歯の変色をきれいにしたいの症例 治療後](https://seimitsushinbi.jp/wp/wp-content/uploads/2023/12/528aed1286d6fd20e773cd5dfb0c7971-500x350.jpg?v=1703129602)
前歯の変色と隙間を治したい 前歯の審美歯科治療


変色した前歯をきれいにしたい 部分矯正を併用した前歯の審美歯科治療


モザイク模様の前歯 オールセラミッククラウンで整った印象に


黒ずんだ見栄えの悪い前歯をきれいにしたい
担当医 大元洋佑


詰め物が突然とれた
担当医 河野裕二


前歯を綺麗にしたい ジルコニアクラウンでの治療
担当医 岡田康成


変色したバランスの悪い前歯をオールセラミッククラウンで自然な口元に


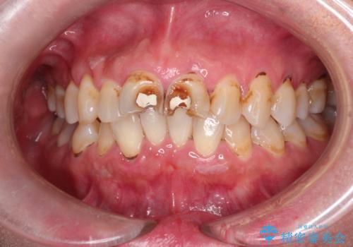
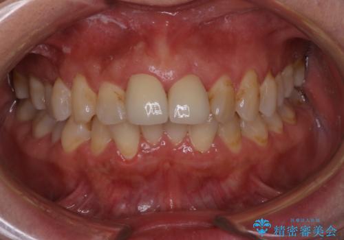
[ セラミック治療 ] 虫歯でつぎはぎになってしまった歯をきれいにしたい
担当医 大元洋佑
![[ セラミック治療 ] 虫歯でつぎはぎになってしまった歯をきれいにしたいの症例 治療前](https://seimitsushinbi.jp/wp/wp-content/uploads/2023/11/97b046ffd9b5b3b60d51f437c4943149-500x350.jpg?v=1700791880)
![[ セラミック治療 ] 虫歯でつぎはぎになってしまった歯をきれいにしたいの症例 治療後](https://seimitsushinbi.jp/wp/wp-content/uploads/2023/11/e5fb48a77a0a81d51a52e838569890a9-500x350.jpg?v=1700791903)
仮歯のまま放置していた前歯をセラミックに
担当医 大元洋佑


変色している歯をとにかく白く 全顎セラミック治療


セラミック治療の注意事項(リスク・副作用など)
- 天然歯を削ります
- 硬い素材は天然歯を傷つけてしまう場合があります
- かみ合わせや歯ぎしりが強すぎる方はセラミックが割れてしまう可能性があります
- 自費診療(保険適用外治療)となります
