症例・治療例紹介
Cases
セラミック治療 → 前歯ブリッジ
10ページ目 / 17
咬合性外傷による歯槽骨吸収 ブリッジ補綴
担当医 大元洋佑


前歯ブリッジのやりかえ
担当医 大元洋佑


歯が折れた どうしても抜きたくない 歯の牽引で保存可能に


歯肉移植を用いた前歯のオールセラミックブリッジ
担当医 藤巻太一朗


オールセラミッククラウン 変色した前歯を白く綺麗な歯へ


歯周病におかされた前歯の再建治療


空気が抜けて話しにくい前歯のブリッジの作り直し オールセラミックブリッジにて審美的に仕上げる


虫歯だらけ、歯周病 崩壊した口腔の再建 フルマウスリコンストラクション


前歯のブリッジの見栄えが悪い→見えないところからしっかりとやり直しを


前歯がぐらぐらする 抜歯→ブリッジへ


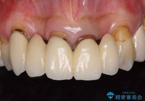
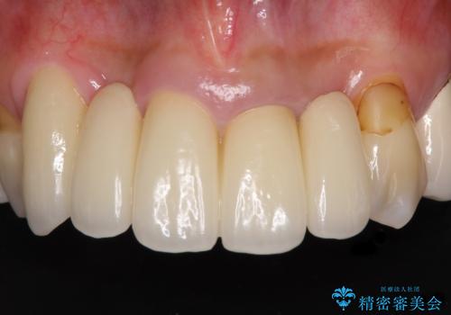
[ 前歯が割れた ] ブリッジによる審美回復治療
担当医 大元洋佑
![[ 前歯が割れた ] ブリッジによる審美回復治療の症例 治療前](https://seimitsushinbi.jp/wp/wp-content/uploads/2019/11/603d9508dc3fe40b5437057dd45cc165-500x350.jpg?v=1574859330)
![[ 前歯が割れた ] ブリッジによる審美回復治療の症例 治療後](https://seimitsushinbi.jp/wp/wp-content/uploads/2019/11/486ebd7e0fd0fbcf4a4611c722fe431f-500x350.jpg?v=1574859391)
気になる前歯を審美歯科治療と矯正歯科治療で美しく


セラミック治療の注意事項(リスク・副作用など)
- 天然歯を削ります
- 硬い素材は天然歯を傷つけてしまう場合があります
- かみ合わせや歯ぎしりが強すぎる方はセラミックが割れてしまう可能性があります
- 自費診療(保険適用外治療)となります






