症例詳細
Case detail
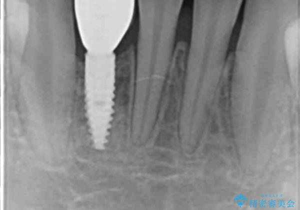
[ 先天性の前歯欠損 ] 矯正とインプラントの包括治療
- 患者様
- 20代男性
- 矯正装置
- インビザライン
- 治療期間
- 1年6ヶ月
- 治療回数
- 10-30回
- 治療計画
- 「全体的な歯並びの矯正治療、もともと前歯がないところに歯を入れたい。」、と総合的な治療を希望され来院されました。
マウスピース矯正インビザラインで全体の歯列矯正を行うと同時に、前歯の欠損部位もインプラントを埋入するのに十分なスペースを確保し、インプラントの埋入手術を行います。
- 費用(概算)
- 55万円(仮歯・ストローマンインプラント・アバットメント・ジルコニアクラウン・骨造成)費用は治療当時の料金となります
治療について
インプラントや矯正治療を一つの医院で行えることで、複数医院の行き来の必要もなく効率よく治療を行うことが可能になります。
インプラント治療の注意事項(リスク・副作用など)
- 外科手術のため、術後に痛みや腫れ、違和感を伴います
- メンテナンスを怠ったり喫煙により、お口の中に大きな悪影響を及ぼすインプラント周囲炎等にかかる可能性があります
- 糖尿病、肝硬変、心臓病等の場合、インプラント治療ができない可能性があります
- 高血圧、貧血・不整脈等の場合、インプラント治療後に治癒不全を招く可能性があります
- 自費診療(保険適用外治療)となります
当サイトの内容、テキスト、画像等の無断転載、複製、複写、盗用を固く禁じます。

![[ 先天性の前歯欠損 ] 矯正とインプラントの包括治療の治療前](https://seimitsushinbi.jp/wp/wp-content/uploads/2022/12/3fbbdf32ff659566fa6c202e2fa05e30-500x350.jpg?v=1671606172)
![[ 先天性の前歯欠損 ] 矯正とインプラントの包括治療の治療中](https://seimitsushinbi.jp/wp/wp-content/uploads/2022/12/1d16a052bf603e2760182e60c7d35730-500x350.jpg?v=1671606179)
![[ 先天性の前歯欠損 ] 矯正とインプラントの包括治療の治療後](https://seimitsushinbi.jp/wp/wp-content/uploads/2022/12/e325c4369c68ab4ded73824110858d06-500x350.jpg?v=1671606193)
![[ 先天性の前歯欠損 ] 矯正とインプラントの包括治療の治療前](https://seimitsushinbi.jp/wp/wp-content/uploads/2022/12/CI4.1-500x350.jpg?v=1671616241)
![[ 先天性の前歯欠損 ] 矯正とインプラントの包括治療の治療中](https://seimitsushinbi.jp/wp/wp-content/uploads/2022/12/CI4-1-500x350.jpg?v=1671606204)
![[ 先天性の前歯欠損 ] 矯正とインプラントの包括治療の治療後](https://seimitsushinbi.jp/wp/wp-content/uploads/2022/12/CI9-500x350.jpg?v=1671606205)
![[ 先天性の前歯欠損 ] 矯正とインプラントの包括治療の治療前](https://seimitsushinbi.jp/wp/wp-content/uploads/2022/12/62ee75a807262e66129aa59e8c69e829-500x350.jpg?v=1671606170)
![[ 先天性の前歯欠損 ] 矯正とインプラントの包括治療の治療中](https://seimitsushinbi.jp/wp/wp-content/uploads/2022/12/151ef0c7dc6842e1c25235642e6785b8-500x350.jpg?v=1671606177)
![[ 先天性の前歯欠損 ] 矯正とインプラントの包括治療の治療後](https://seimitsushinbi.jp/wp/wp-content/uploads/2022/12/5d448f502cd68d9d5395ea258b488f5b-500x350.jpg?v=1671606199)
![[ 先天性の前歯欠損 ] 矯正とインプラントの包括治療の治療前](https://seimitsushinbi.jp/wp/wp-content/uploads/2022/12/7581fa84c7dbd39eba34ecb1d0fea678-500x350.jpg?v=1671606167)
![[ 先天性の前歯欠損 ] 矯正とインプラントの包括治療の治療中](https://seimitsushinbi.jp/wp/wp-content/uploads/2022/12/f6bf2e9059d2483c7ef2f890b314bfca-500x350.jpg?v=1671606181)
![[ 先天性の前歯欠損 ] 矯正とインプラントの包括治療の治療後](https://seimitsushinbi.jp/wp/wp-content/uploads/2022/12/49780474803f3a80bac6edca97f86949-500x350.jpg?v=1671606204)
![[ 先天性の前歯欠損 ] 矯正とインプラントの包括治療の治療前](https://seimitsushinbi.jp/wp/wp-content/uploads/2022/12/edb3421fcdab83343a88d3cdf8494869-500x350.jpg?v=1671606174)
![[ 先天性の前歯欠損 ] 矯正とインプラントの包括治療の治療中](https://seimitsushinbi.jp/wp/wp-content/uploads/2022/12/cf0bfdb27e86d82ba9068e64c553c898-500x350.jpg?v=1671606184)
![[ 先天性の前歯欠損 ] 矯正とインプラントの包括治療の治療後](https://seimitsushinbi.jp/wp/wp-content/uploads/2022/12/6dbf5da0649d021dbc782cbce60a9759-500x350.jpg?v=1671606197)
![[ 先天性の前歯欠損 ] 矯正とインプラントの包括治療の治療前](https://seimitsushinbi.jp/wp/wp-content/uploads/2022/12/IMG_0061-500x350.jpg?v=1671606189)
![[ 先天性の前歯欠損 ] 矯正とインプラントの包括治療の治療中](https://seimitsushinbi.jp/wp/wp-content/uploads/2022/12/83516103f1c4d3f9ca9071b3f7ba7752-500x350.jpg?v=1671606186)
![[ 先天性の前歯欠損 ] 矯正とインプラントの包括治療の治療後](https://seimitsushinbi.jp/wp/wp-content/uploads/2022/12/426430512fc7dfd55c04aca5763bf73e-500x350.jpg?v=1671606202)
![[ 先天性の前歯欠損 ] 矯正とインプラントの包括治療の治療前](https://seimitsushinbi.jp/wp/wp-content/uploads/2022/12/IMG_0060-500x350.jpg?v=1671606191)
![[ 先天性の前歯欠損 ] 矯正とインプラントの包括治療の治療中](https://seimitsushinbi.jp/wp/wp-content/uploads/2022/12/aaee2b49537352d145489f983403f7a2-500x350.jpg?v=1671606188)