症例詳細
Case detail
欠損歯列の矯正治療とインプラント治療
- 患者様
- 50代男性
- 矯正装置
- インビザライン・審美装置
- 治療期間
- 4年4ヶ月
- 治療回数
- 10-30回
- 治療計画
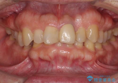
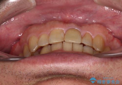
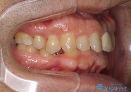
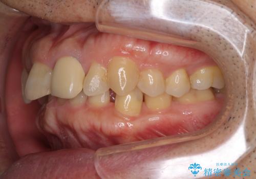
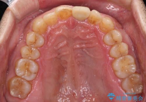
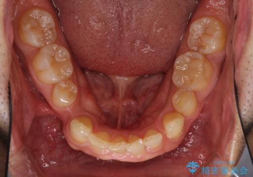
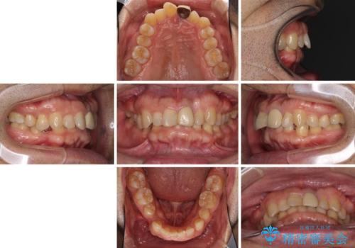
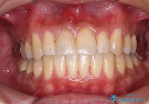
- 上下前歯のデコボコと下顎小臼歯の欠損によるスペースを気にして来院された患者様です。
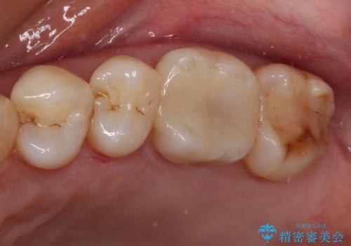
下顎は左右1本ずつ小臼歯が欠損しており、右側にはやや大きな欠損がありました。
欠損により下顎歯列は相対的に小さく、上顎に深く咬みこんでしまうディープバイトとなっていました。
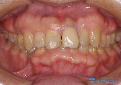
インビザラインによる治療を希望されたため、左側のスペースは閉じ、右側はスペースをより拡大し、インプラント補綴を行うこととしました。
- 費用(概算)
- 治療費の目安: 160万円(税込)費用は治療当時の料金となります
治療について
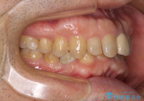
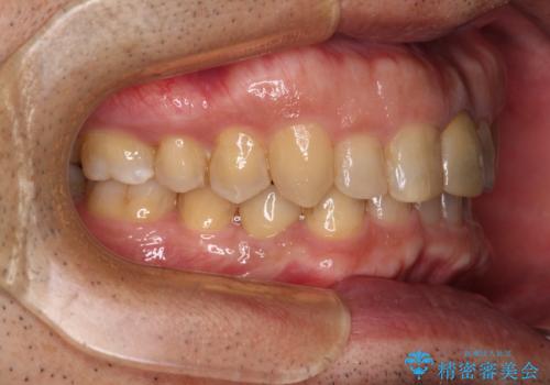
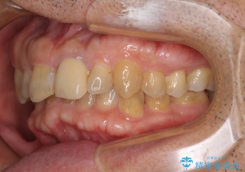
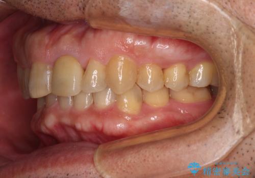
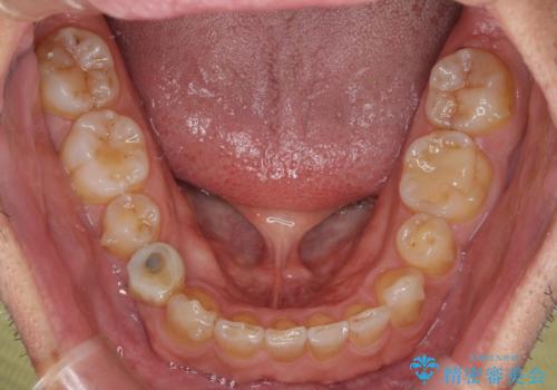
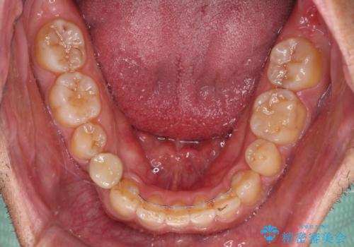
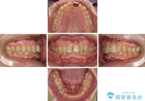
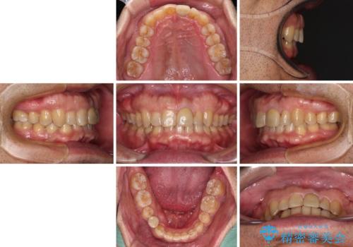
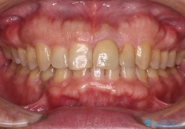
咬合力が強く、インビザラインのみではディープバイトを改善することができず、半年間ほどワイヤー装置による矯正治療を行いました。
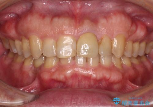
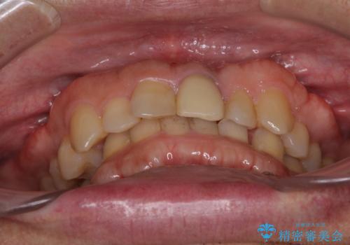
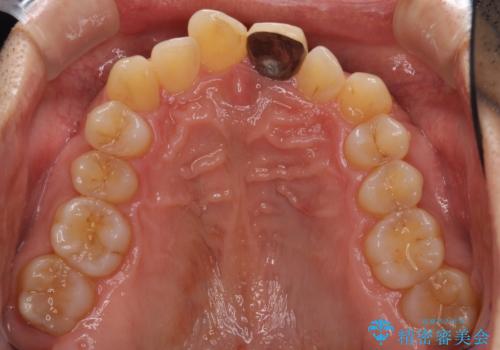
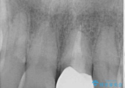
インプラントの埋入は矯正治療中に行い、矯正治療後はインプラント上補綴および、前歯のセラミック治療を行いました。
マウスピース矯正の注意事項(リスク・副作用など)
- 口腔内・歯並びの状態によっては対応できない場合があります
- マウスピース型矯正装置の長時間装着(1日20時間以上)が必須です
- 治療計画通りに進めるためには、患者様の意志が重要になります
- 矯正治療後の保定が不十分だと後戻り(元の位置に戻ろうとする動き)をします
- 薬機法対象外の矯正歯科装置のため医薬品副作用被害救済制度の対象外となる場合があります
- 自費診療(保険適用外)となります
ワイヤー矯正の注意事項(リスク・副作用など)
- 治療中は違和感や痛みが起こることがあります
- 症状により、抜歯が必要な場合があります
- 治療中は歯磨きがしにくくなるため、虫歯や歯周病になりやすくなります
- 矯正治療後の保定が不十分だと後戻り(元の位置に戻ろうとする動き)をします
- 自費診療(保険適用外)となります
インプラント治療の注意事項(リスク・副作用など)
- 外科手術のため、術後に痛みや腫れ、違和感を伴います
- メンテナンスを怠ったり喫煙により、お口の中に大きな悪影響を及ぼすインプラント周囲炎等にかかる可能性があります
- 糖尿病、肝硬変、心臓病等の場合、インプラント治療ができない可能性があります
- 高血圧、貧血・不整脈等の場合、インプラント治療後に治癒不全を招く可能性があります
- 自費診療(保険適用外治療)となります
セラミック治療の注意事項(リスク・副作用など)
- 天然歯を削ります
- 硬い素材は天然歯を傷つけてしまう場合があります
- かみ合わせや歯ぎしりが強すぎる方はセラミックが割れてしまう可能性があります
- 自費診療(保険適用外治療)となります
当サイトの内容、テキスト、画像等の無断転載、複製、複写、盗用を固く禁じます。





























