症例詳細
Case detail
前歯が折れたついでに歯並びも改善 矯正治療と前歯のセラミック治療
- 患者様
- 40代男性
- 矯正装置
- 審美装置
- 治療期間
- 2年4ヶ月
- 治療回数
- 10-30回
- 治療計画
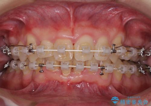
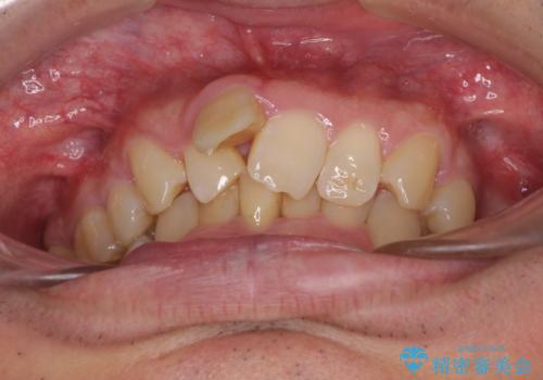
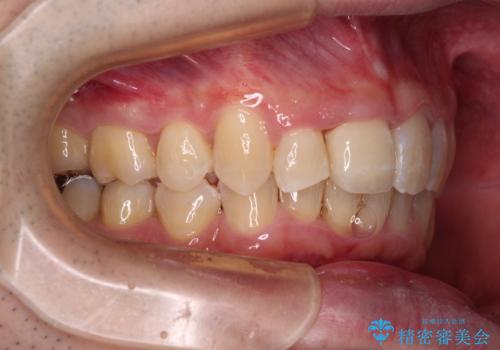
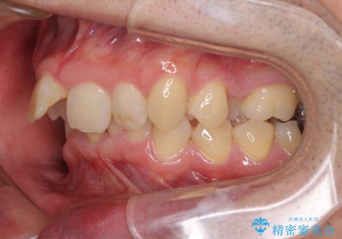
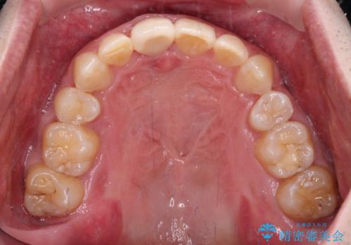
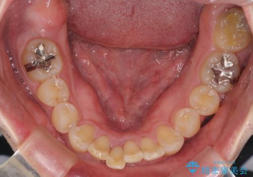
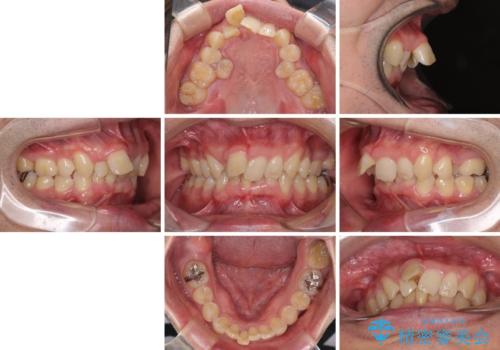
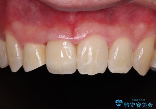
- ぶつけて前歯が折れてしまったとのことで来院された患者様です。
折れてしまった前歯は軽傷であり、歯内の歯髄に影響は及んでいませんでした。
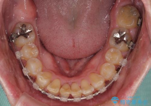
通常では速やかにオールセラミッククラウンにて補綴治療を行うのですが、デコボコしている歯列も気になっていたため、事前に矯正治療を行うこととしました。
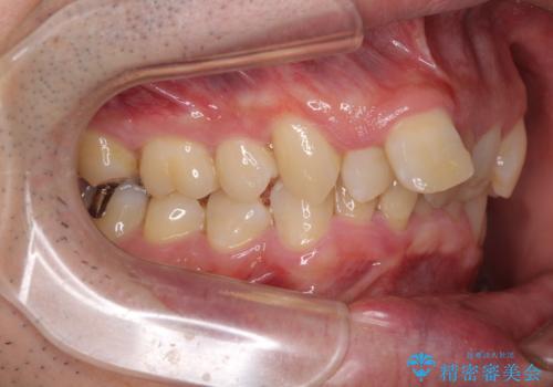
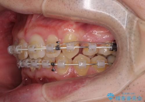
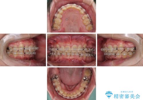
上顎歯列の叢生が著しかったため、上顎左右第一小臼歯2本を抜歯し、目立たないワイヤー装置にて治療を進めることとしました。
- 費用(概算)
- 治療費の目安: 130万円(税込)費用は治療当時の料金となります
治療について
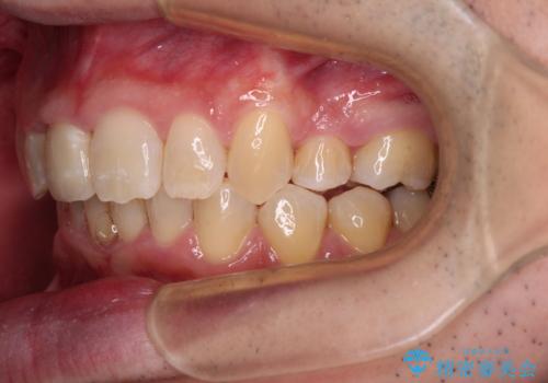
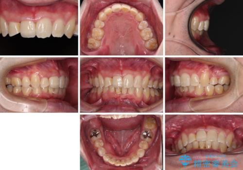
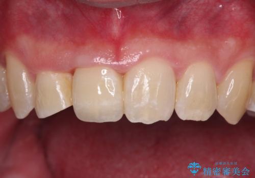
矯正治療後にはオーダーメイドタイプのオールセラミッククラウンを装着し、自然な口元に仕上がりました。
ワイヤー矯正の注意事項(リスク・副作用など)
- 治療中は違和感や痛みが起こることがあります
- 症状により、抜歯が必要な場合があります
- 治療中は歯磨きがしにくくなるため、虫歯や歯周病になりやすくなります
- 矯正治療後の保定が不十分だと後戻り(元の位置に戻ろうとする動き)をします
- 自費診療(保険適用外)となります
セラミック治療の注意事項(リスク・副作用など)
- 天然歯を削ります
- 硬い素材は天然歯を傷つけてしまう場合があります
- かみ合わせや歯ぎしりが強すぎる方はセラミックが割れてしまう可能性があります
- 自費診療(保険適用外治療)となります
当サイトの内容、テキスト、画像等の無断転載、複製、複写、盗用を固く禁じます。
































