症例詳細
Case detail
気になる所を一気に治療 総合歯科治療
- 患者様
- 50代女性
- 矯正装置
- 審美装置
- 治療期間
- 1年9ヶ月
- 治療回数
- 10-30回
- 治療計画
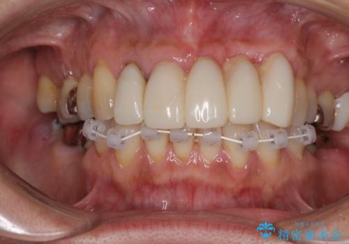
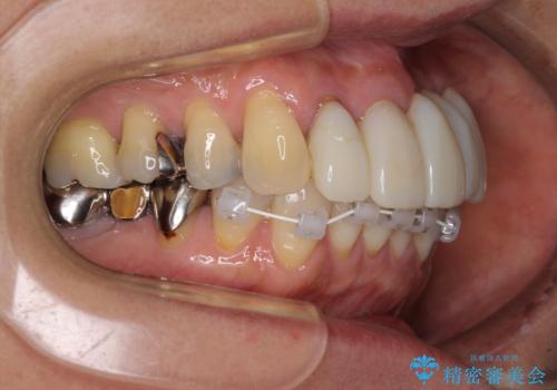
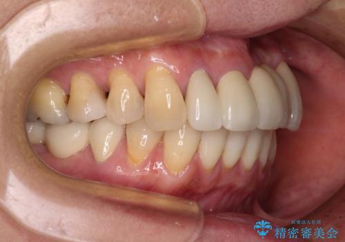
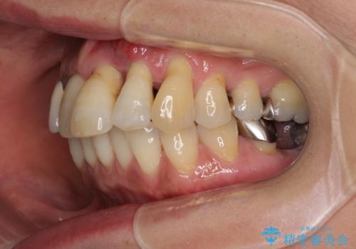
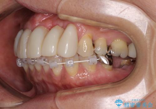
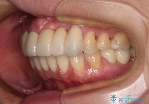
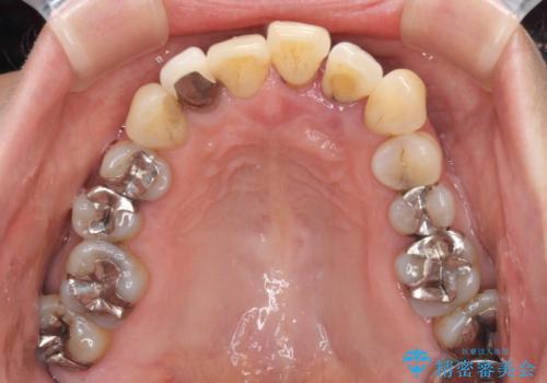
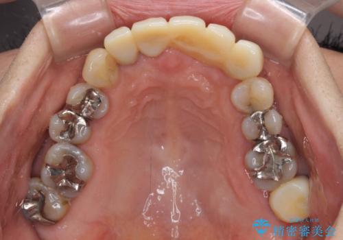
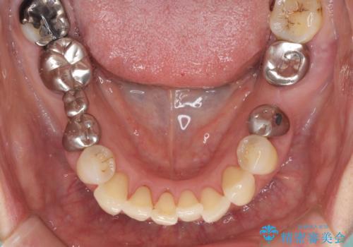
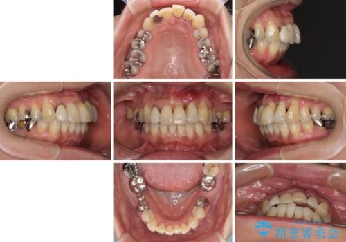
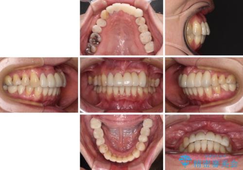
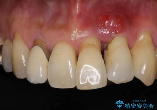
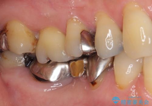
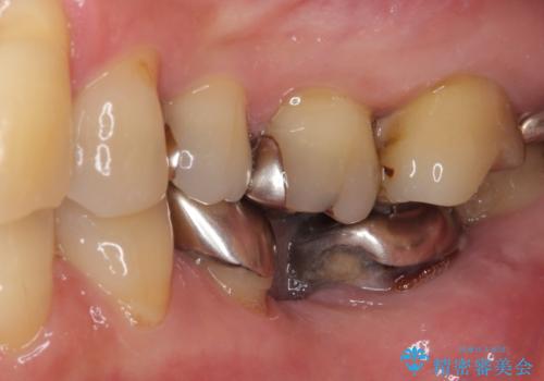
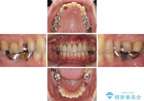
- 前歯の歯肉の腫れを気にして来院された患者様です。
前歯のみならず、奥歯の銀歯や下顎前歯のデコボコなど、色々と気になる部分を治したいとのことでした。
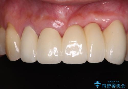
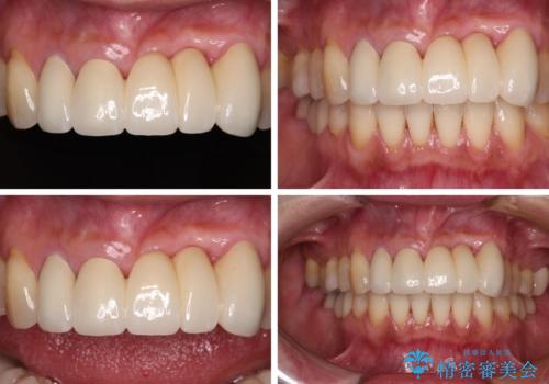
前歯は抜歯が必要であったので、抜歯を行い、その後歯肉移植をおこなった上でオールセラミックブリッジによる補綴治療を行うこととしました。
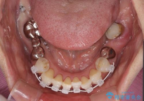
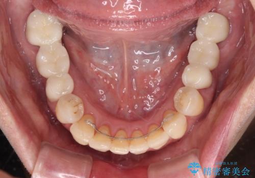
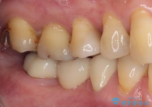
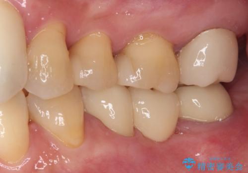
下顎と上顎臼歯部については矯正治療を行い、奥歯の欠損部位はオールセラミックブリッジを、その他の銀歯はセラミックインレーなどにより治療を行うこととしました。
- 費用(概算)
- 治療費の目安: 220万円(税込)費用は治療当時の料金となります
治療について
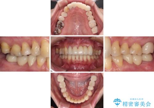
気になっている部分を全て治療したことで、費用はかかりましたが、仕上がりには大変満足していただき、治療をおこなって良かったと仰っていただきました。
セラミック治療の注意事項(リスク・副作用など)
- 天然歯を削ります
- 硬い素材は天然歯を傷つけてしまう場合があります
- かみ合わせや歯ぎしりが強すぎる方はセラミックが割れてしまう可能性があります
- 自費診療(保険適用外治療)となります
ワイヤー矯正の注意事項(リスク・副作用など)
- 治療中は違和感や痛みが起こることがあります
- 症状により、抜歯が必要な場合があります
- 治療中は歯磨きがしにくくなるため、虫歯や歯周病になりやすくなります
- 矯正治療後の保定が不十分だと後戻り(元の位置に戻ろうとする動き)をします
- 自費診療(保険適用外)となります
歯周病治療の注意事項(リスク・副作用など)
- 外科手術のため、術後に痛みや腫れ、違和感を伴います
- 歯周組織再生治療は患者様の状態によって術後の経過が異なります(見た目が改善しない場合もあります)
- 歯周組織再生治療は自費診療(保険適用外)となります
外科処置の注意事項(リスク・副作用など)
- 外科手術のため、術後に出血、痛みや腫れ、違和感を伴います
- 口腔内の状態によっては適応できないことがあります
当サイトの内容、テキスト、画像等の無断転載、複製、複写、盗用を固く禁じます。



































