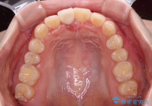
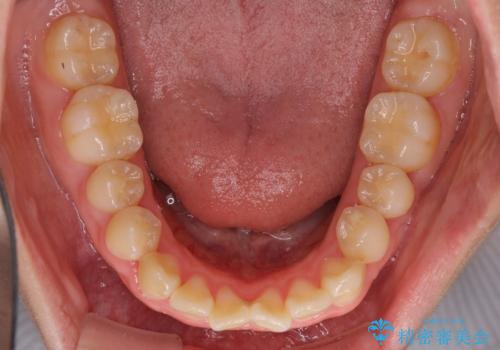
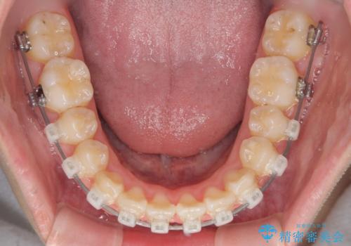
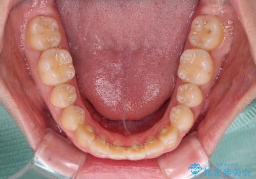
症例詳細
Case detail
怪我をして不格好な前歯 矯正治療とインプラント補綴治療
- 患者様
- 20代女性
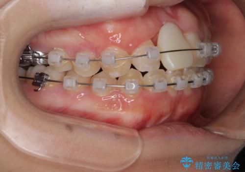
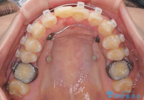
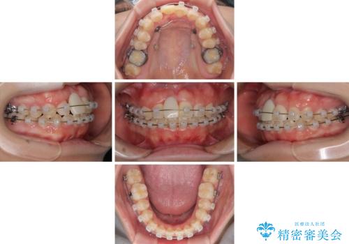
- 矯正装置
- クリアブラケット
- 治療期間
- 2年1ヶ月
- 治療回数
- 10-30回
- 治療計画
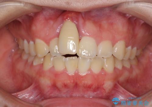
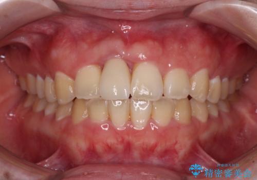
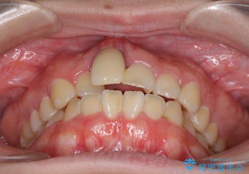
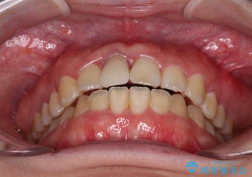
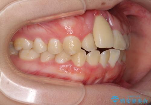
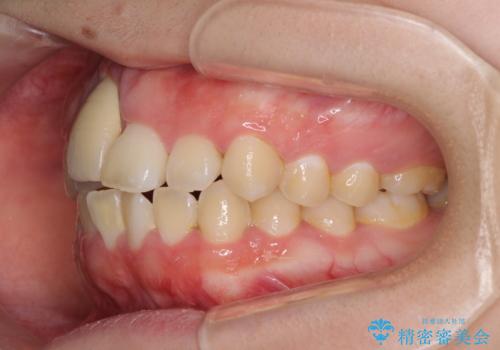
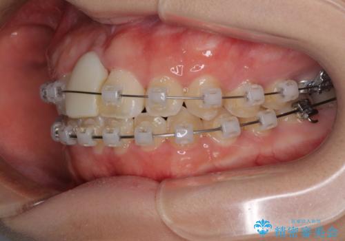
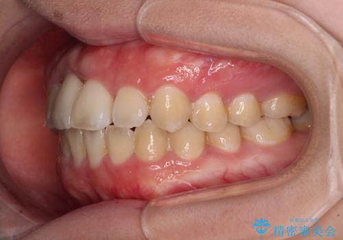
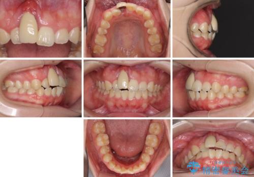
- 中学生の頃にぶつけた前歯に不格好なクラウンが装着されており、出っ歯な印象になっていることを気にして来院された患者様です。
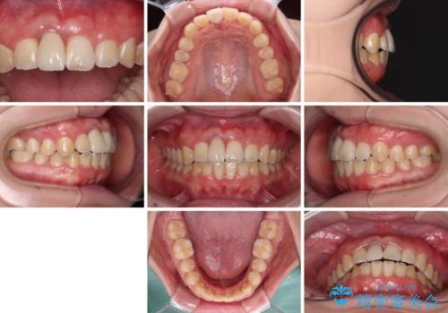
ぶつけてしまった歯は保存が困難な状況であったので抜歯をし、ワイヤー矯正により歯列を整えつつ前歯の突出感を解消することとしました。
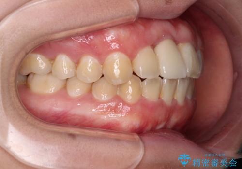
矯正治療後にはインプラント補綴治療を行うこととしました。
- 費用(概算)
- 治療費の目安: 150万円(税込)費用は治療当時の料金となります
治療について
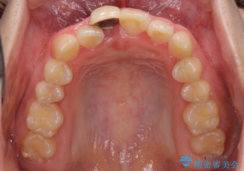
前歯の補綴治療はインプラントかブリッジかで悩んでいました。
周りの歯にむし歯がないため、インプラントがお勧めとなりますが、事故による骨欠損が大きく、歯肉ラインを整えるのが困難という問題がありました。
ワイヤー矯正の注意事項(リスク・副作用など)
- 治療中は違和感や痛みが起こることがあります
- 症状により、抜歯が必要な場合があります
- 治療中は歯磨きがしにくくなるため、虫歯や歯周病になりやすくなります
- 矯正治療後の保定が不十分だと後戻り(元の位置に戻ろうとする動き)をします
- 自費診療(保険適用外)となります
インプラント治療の注意事項(リスク・副作用など)
- 外科手術のため、術後に痛みや腫れ、違和感を伴います
- メンテナンスを怠ったり喫煙により、お口の中に大きな悪影響を及ぼすインプラント周囲炎等にかかる可能性があります
- 糖尿病、肝硬変、心臓病等の場合、インプラント治療ができない可能性があります
- 高血圧、貧血・不整脈等の場合、インプラント治療後に治癒不全を招く可能性があります
- 自費診療(保険適用外治療)となります
セラミック治療の注意事項(リスク・副作用など)
- 天然歯を削ります
- 硬い素材は天然歯を傷つけてしまう場合があります
- かみ合わせや歯ぎしりが強すぎる方はセラミックが割れてしまう可能性があります
- 自費診療(保険適用外治療)となります
当サイトの内容、テキスト、画像等の無断転載、複製、複写、盗用を固く禁じます。





























