症例詳細
Case detail
急速拡大装置で狭い歯列を骨格ごと改善 ワイヤー装置による矯正治療
治療症例の内容
- 診療科目
- 治療カテゴリ
- 担当医
- 藤巻太一朗(ドクタープロフィール)
- 患者様
- 20代女性
- 矯正装置
- 審美装置
- 治療期間
- 1年6ヶ月
- 治療回数
- 10-30回
- 治療計画
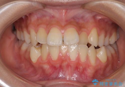
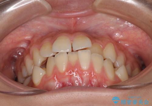
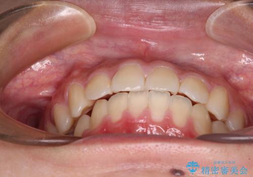
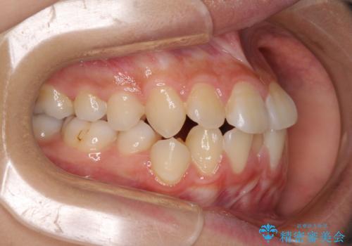
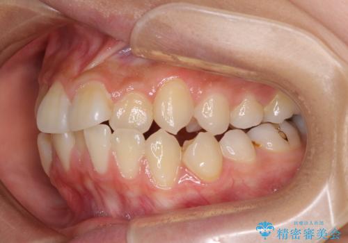
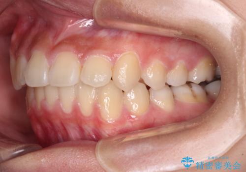
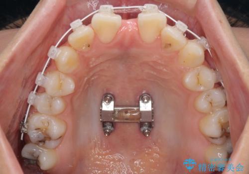
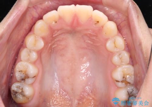
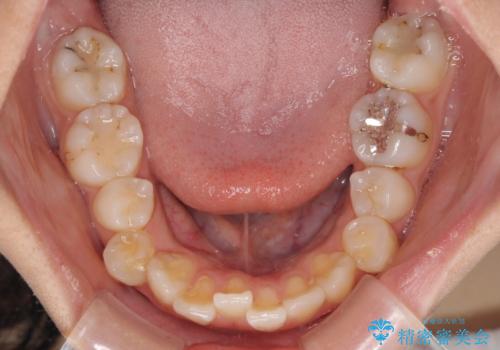
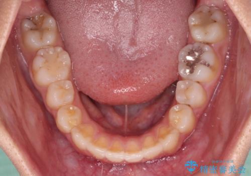
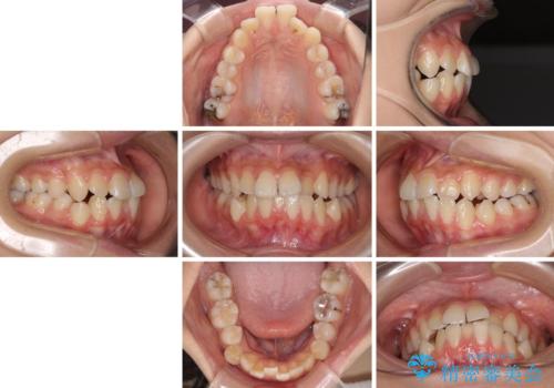
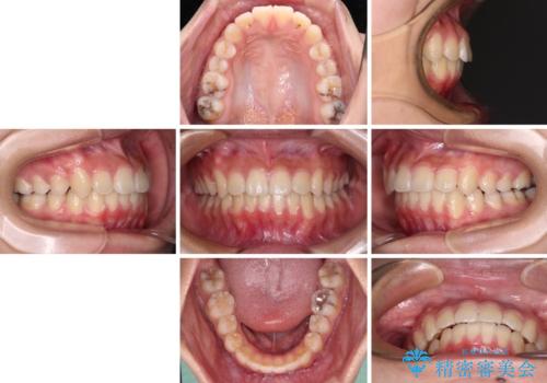
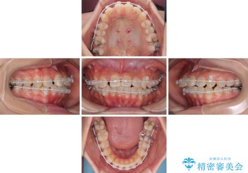
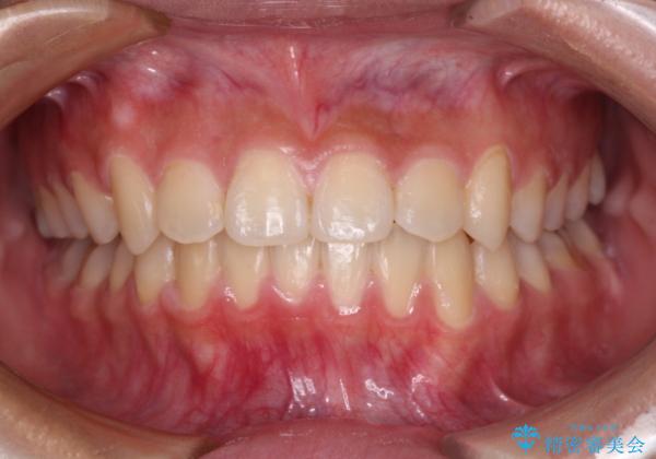
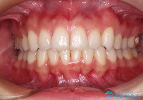
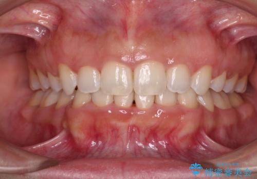
- 下顎の前突感と前歯の叢生を気にして来院された患者様です。
下顎前方位の骨格のため、下顎歯列に対して上顎歯列の幅が狭くなっていました。
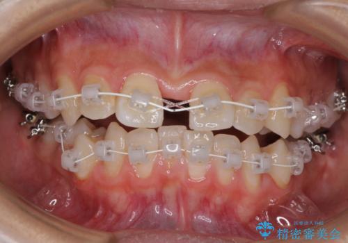
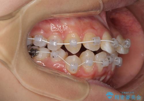
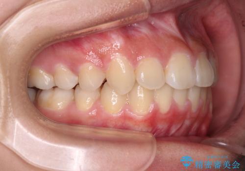
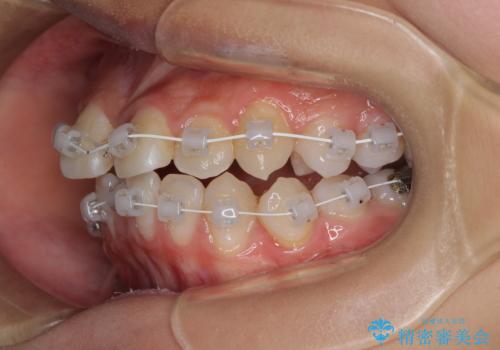
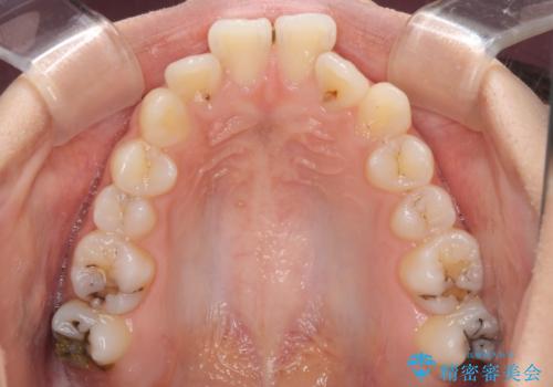
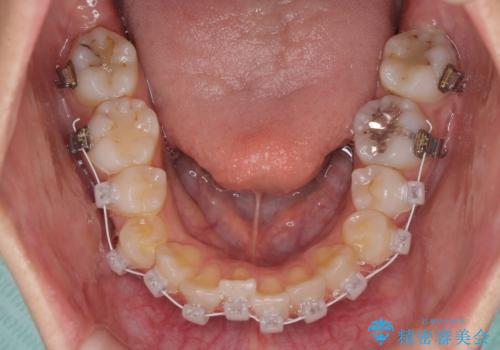
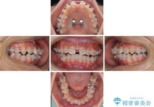
急速拡大装置を用いて上顎骨を側方に拡大し、上顎の叢生を解消するとともに下顎歯列拡大により下顎の叢生も解消することとしました。
急速拡大装置使用直後は著しいスペースが正中に発現するため、ワイヤー矯正を行いますが、今回は治療期間を短くしたいとのことで、上下全体をワイヤー装置にて矯正治療することとしました。
- 費用(概算)
- 治療費の目安: 110万円(税込)費用は治療当時の料金となります
治療について
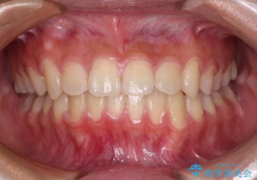
上顎骨を拡大しない場合には、奥歯に咬みにくさが残ったり、下顎前歯の歯肉退縮や口元の突出感などが出たりと、妥協的な仕上がりとなります。
ワイヤー矯正の注意事項(リスク・副作用など)
- 治療中は違和感や痛みが起こることがあります
- 症状により、抜歯が必要な場合があります
- 治療中は歯磨きがしにくくなるため、虫歯や歯周病になりやすくなります
- 矯正治療後の保定が不十分だと後戻り(元の位置に戻ろうとする動き)をします
- 自費診療(保険適用外)となります
当サイトの内容、テキスト、画像等の無断転載、複製、複写、盗用を固く禁じます。



























